タケノコ歯科・矯正歯科クリニックの症例集

ご予約
お問い合わせ
  • 電話予約・お問い合わせ番号:0120-26-4618
草加市の歯医者のWEB予約
CASE

症例集

草加市青柳の歯医者 タケノコ歯科・矯正歯科クリニックの症例集です。
さまざまなお口のお悩み、症状に対応しています。

おとなの矯正

インビザライン_10代女性

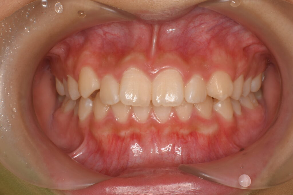
  • BEFORE
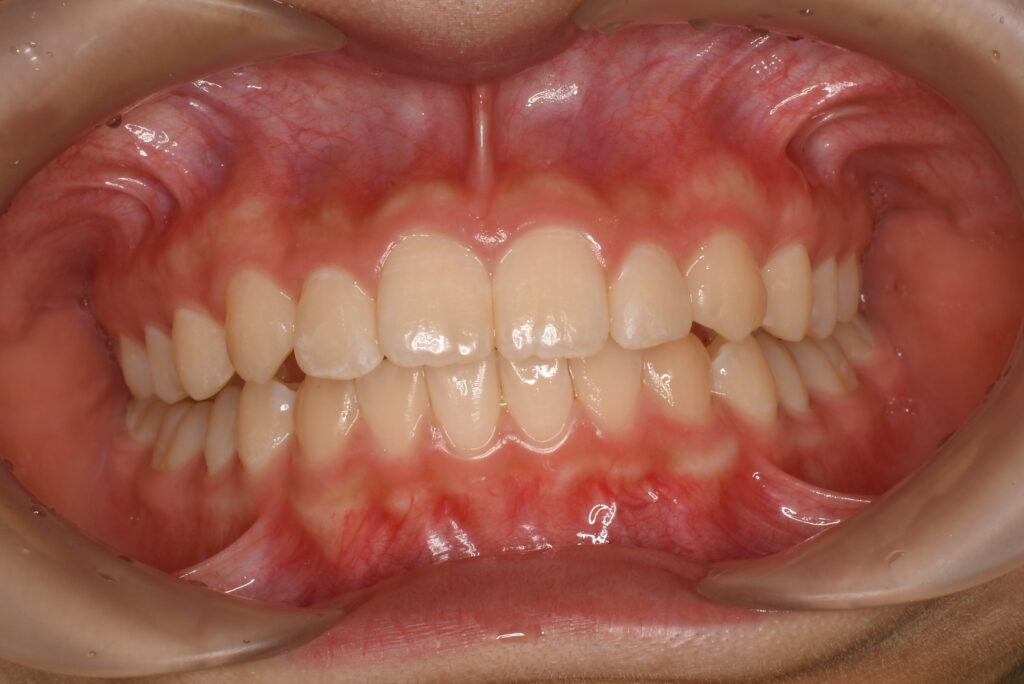
    AFTER
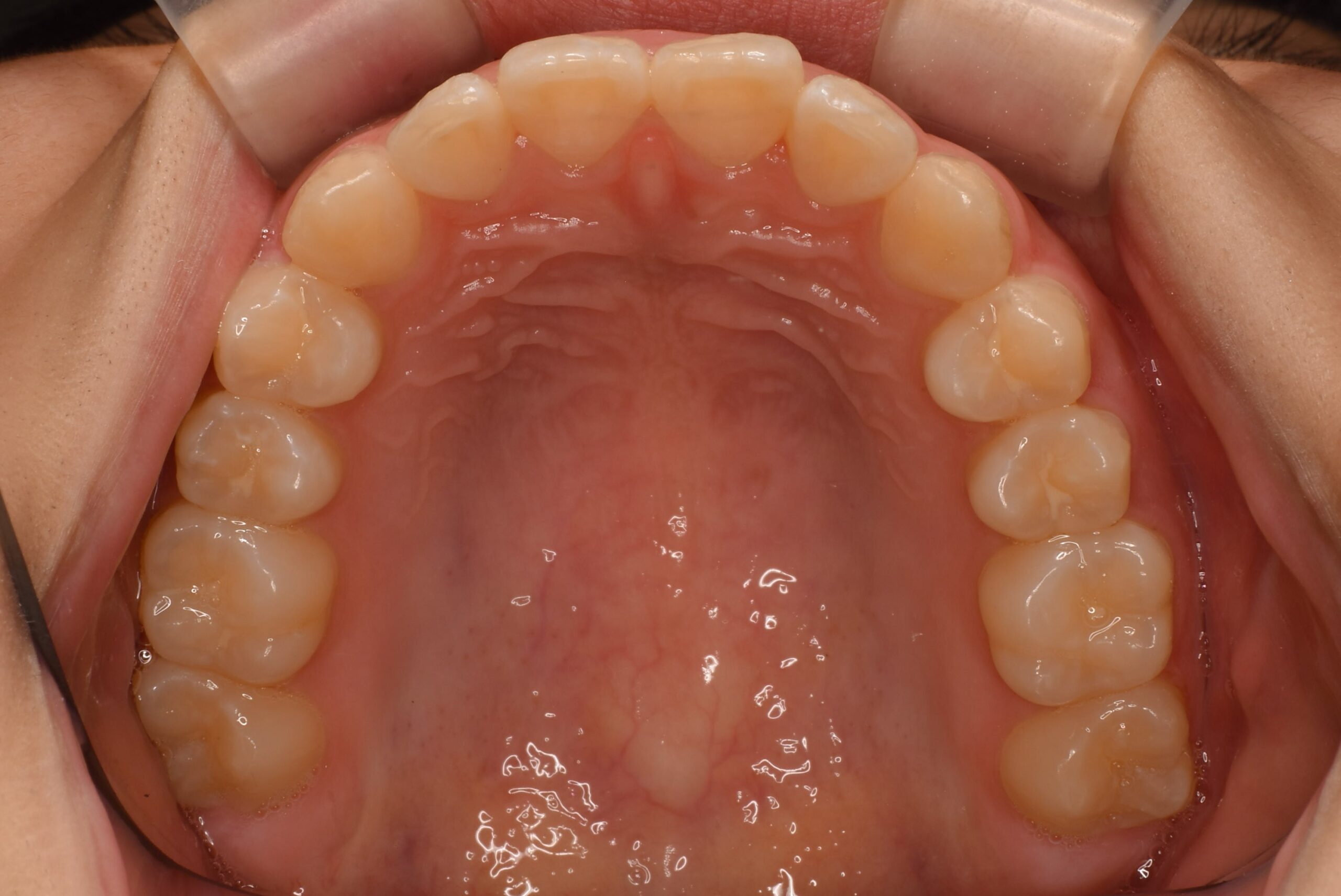
  • 治療前_上顎咬合面

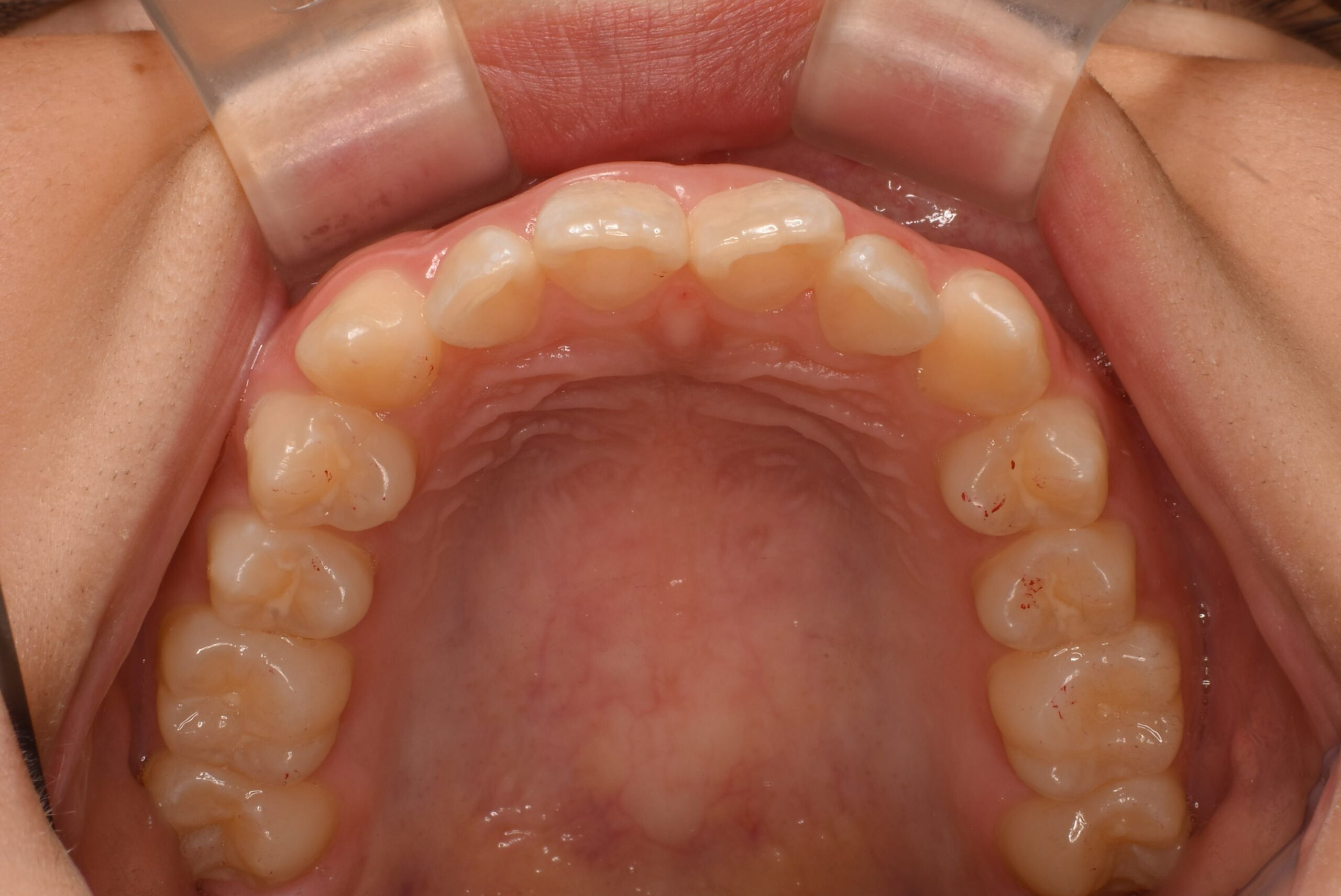
  • 治療後_上顎咬合面

年齢

10代女性

治療内容

患者様は、歯のガタつき(叢生)や不揃いな歯並びを気にされて来院されました。
また、食べ物が歯の間によく詰まることも不快感につながっており、改善を希望されました。
目立ちにくい装置での治療を希望され、マウスピース型矯正(インビザライン)を選択されました。診査の結果、インビザラインによるマウスピース矯正を実施しました。
歯列全体を整えることで、叢生(歯のガタつき)の改善と咬合のバランス回復を図りました。
必要に応じて、IPR(歯と歯の間をわずかに削る処置)でスペースを確保し、歯の移動をスムーズに進めました。

治療期間/通院回数

約11ヶ月間

費用

税抜698,000円税込み767,800円

検査料11,000円

再診料税込み5,500円×1=5,500円

      3,300円×3=9,900円

 

総額794,200円

リスク・副作用
  • 矯正中に歯の間に食べ物が詰まりやすくなる場合があります。 歯の移動に伴い、一時的に歯が揺れる感覚や知覚過敏が出ることがあります。 装置の装着時間が不足すると、治療計画通りに進まず治療期間が延長する可能性があります。 歯列矯正中は清掃が不十分になりやすいため、虫歯(う蝕)や歯肉炎のリスクがあり、日常のブラッシングと定期的なチェックが重要です。