












SCROLL

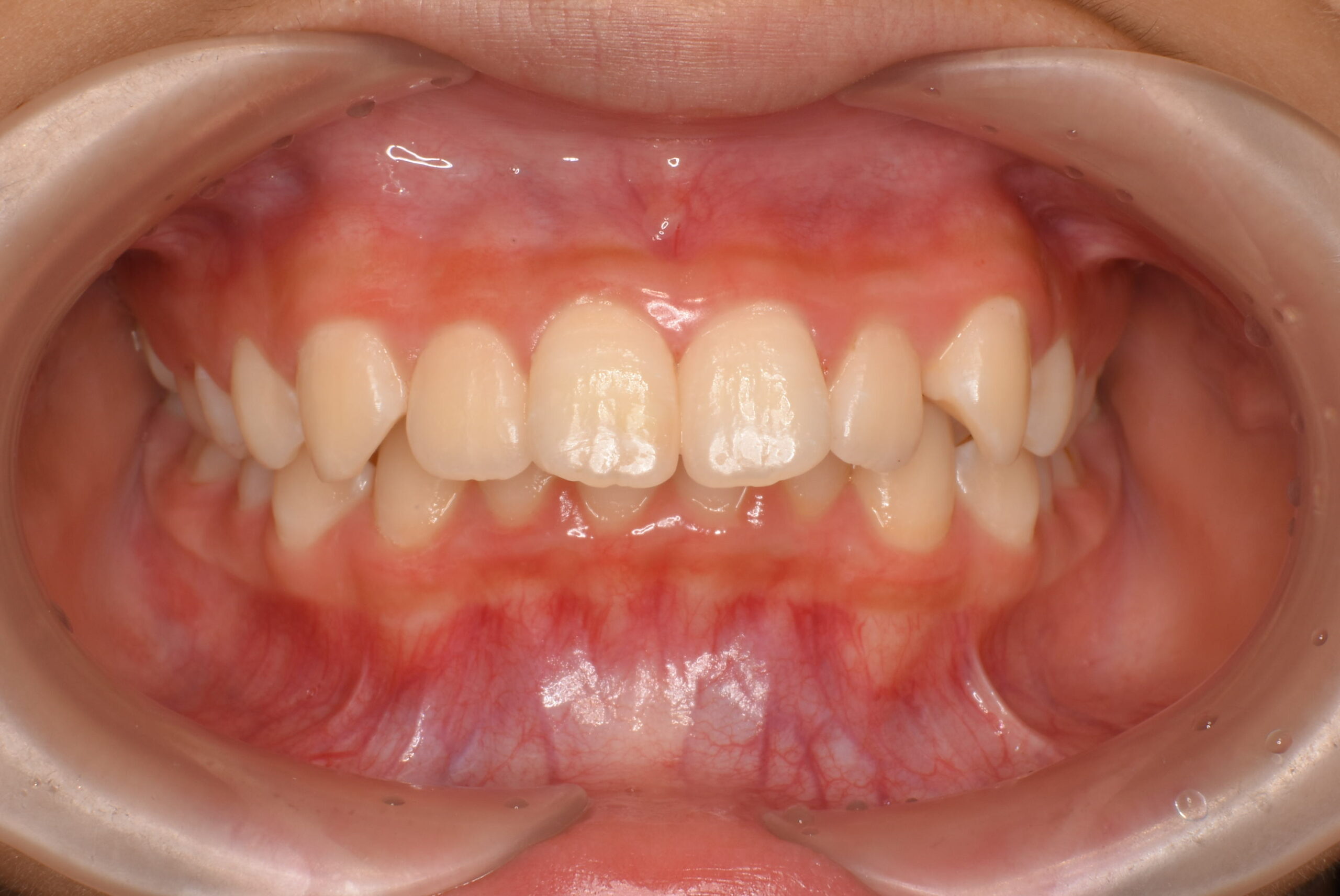
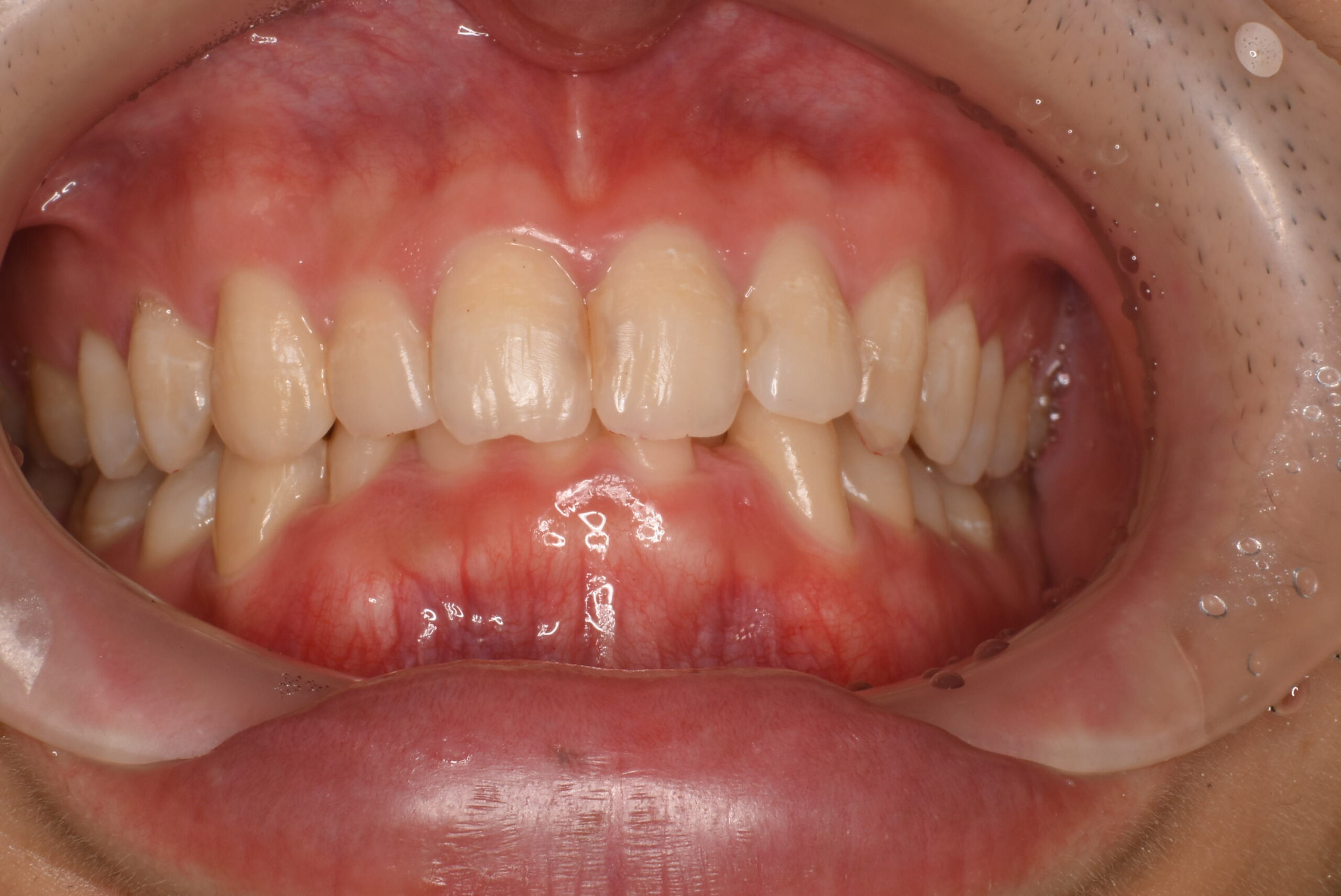
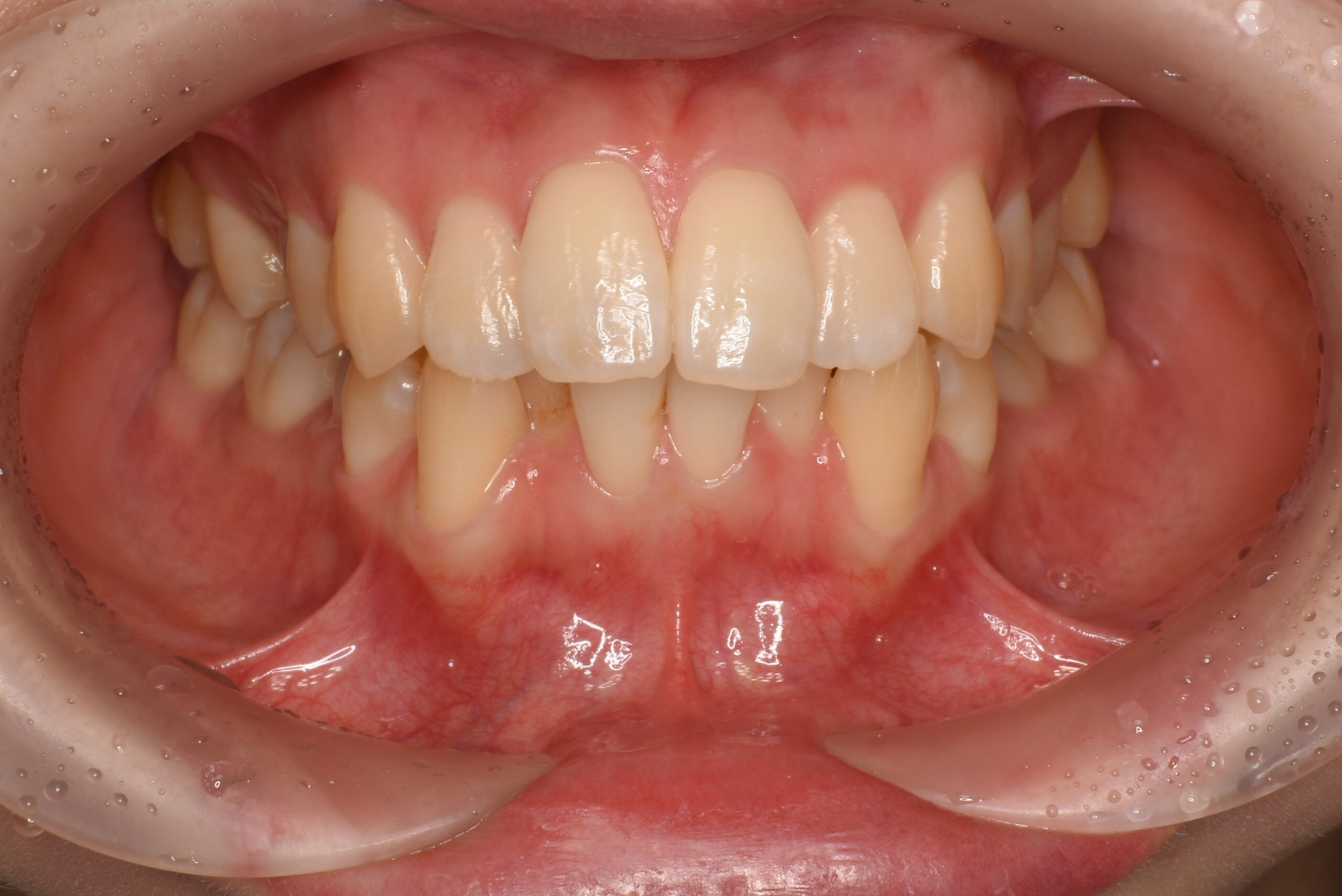
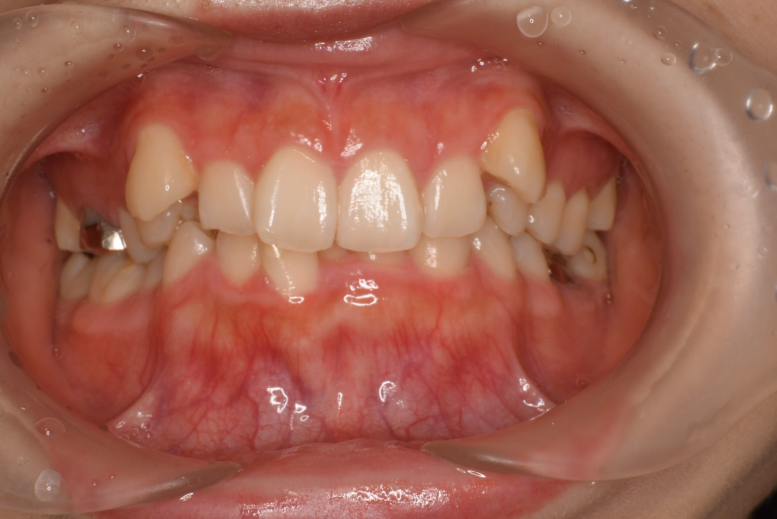
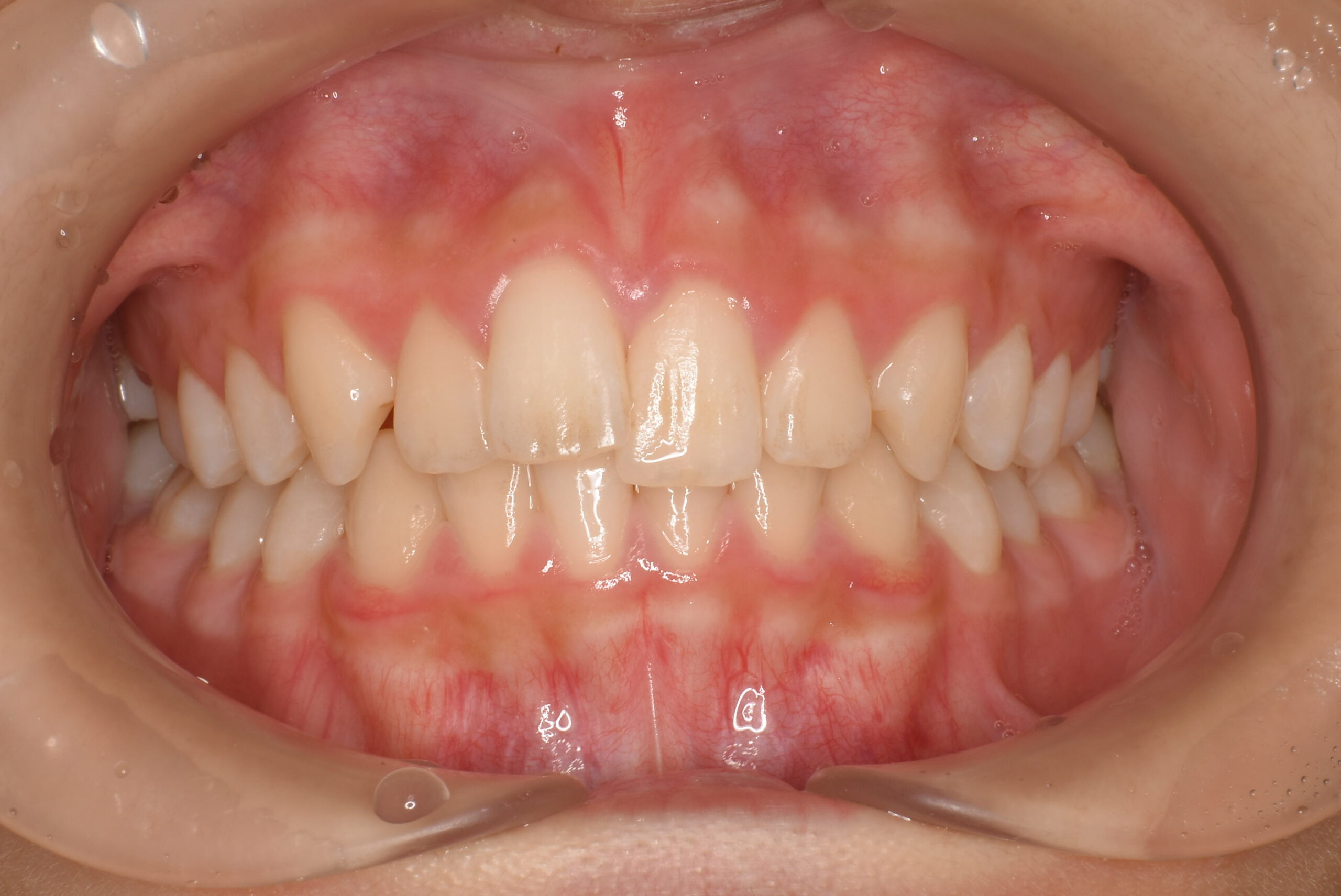
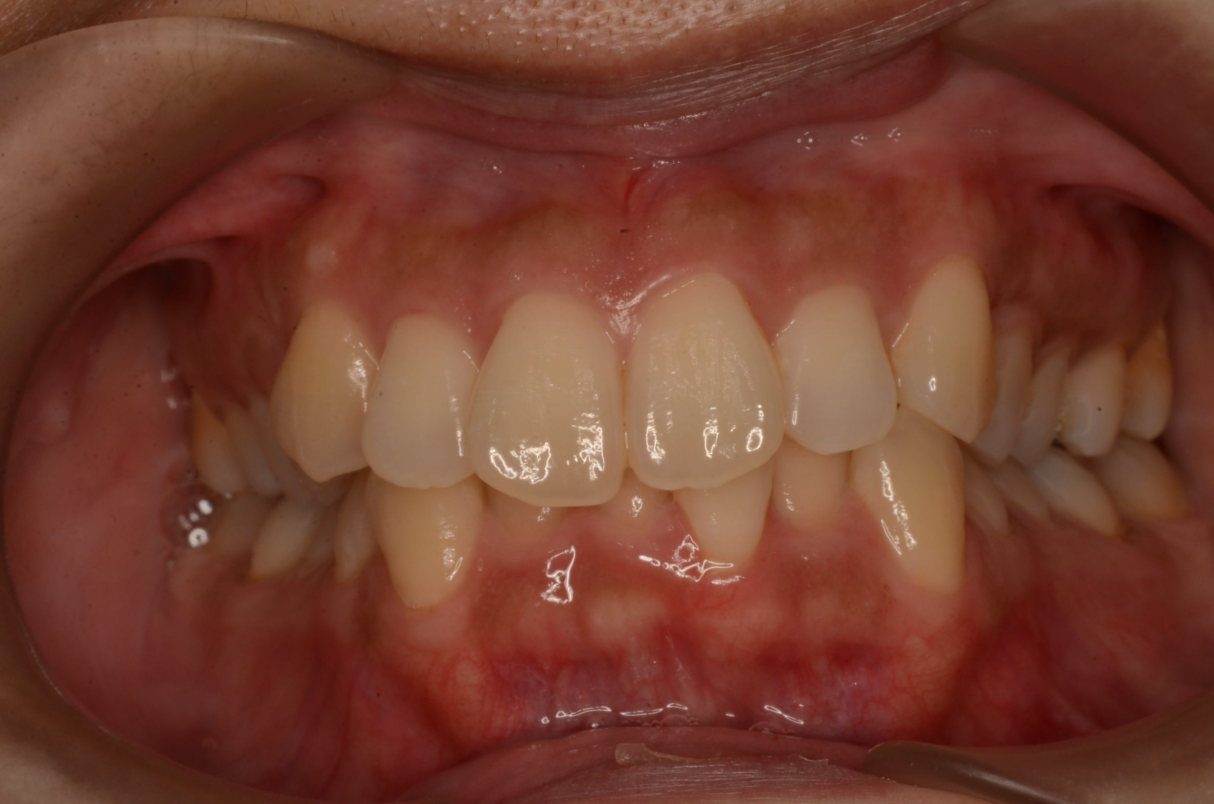
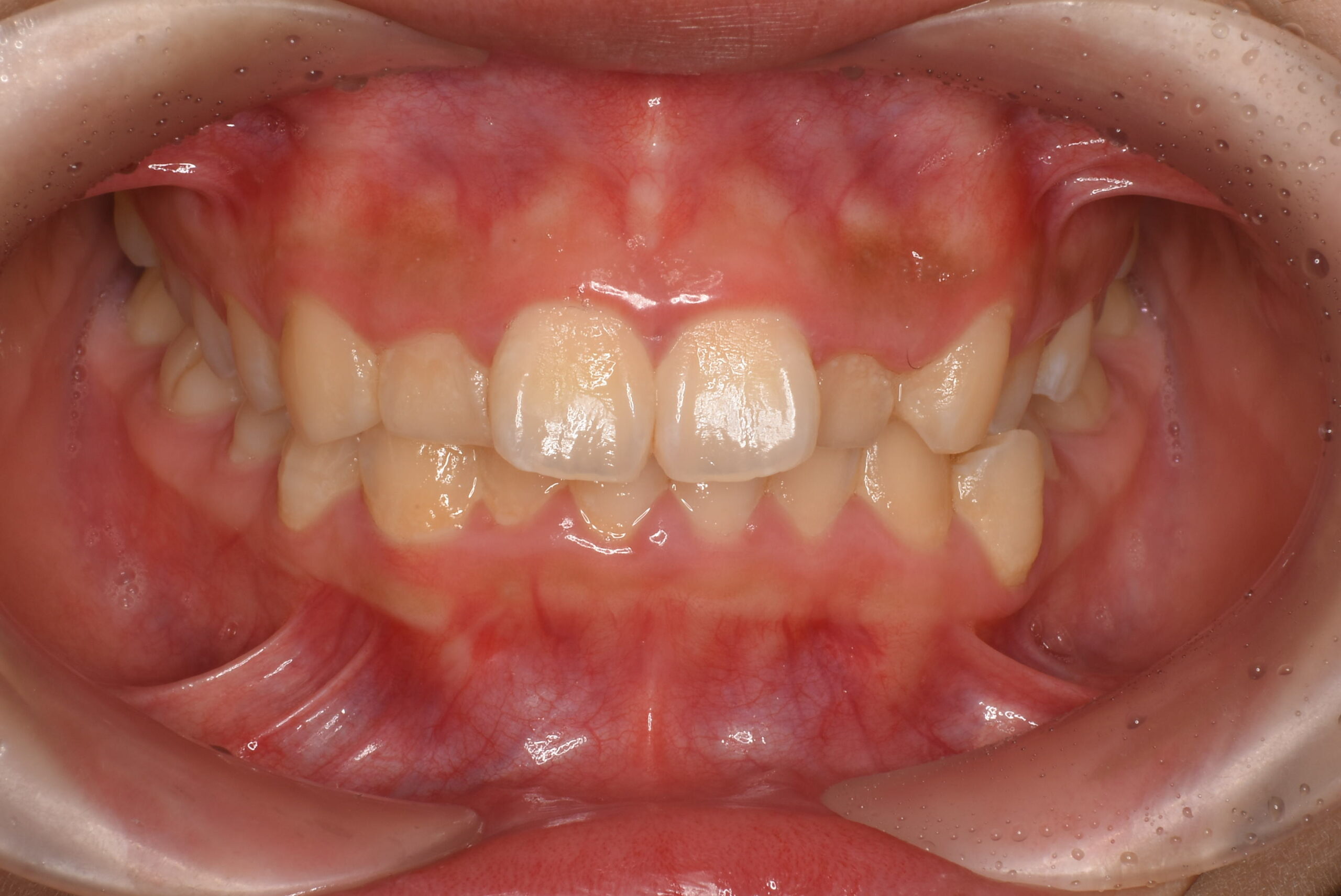
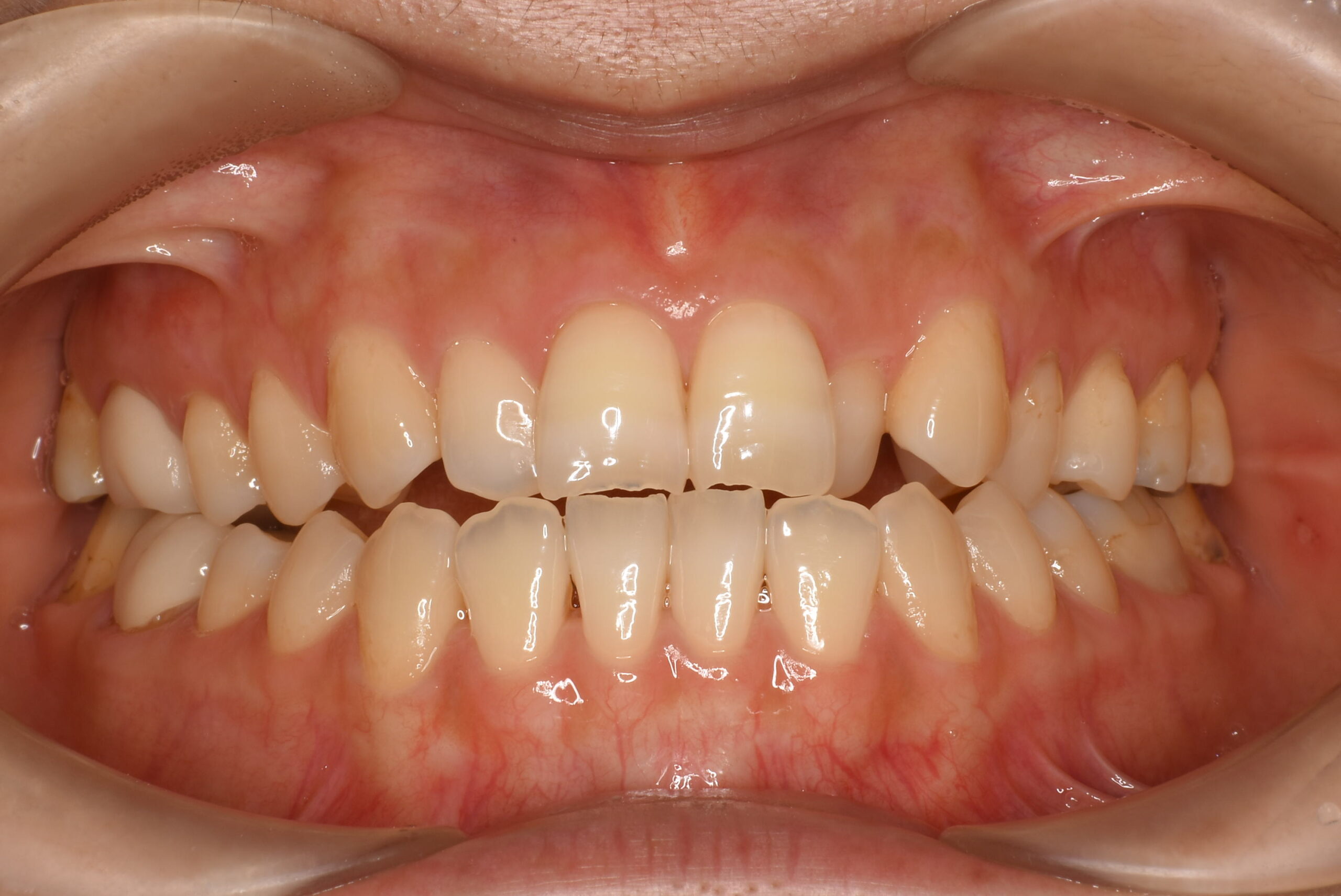
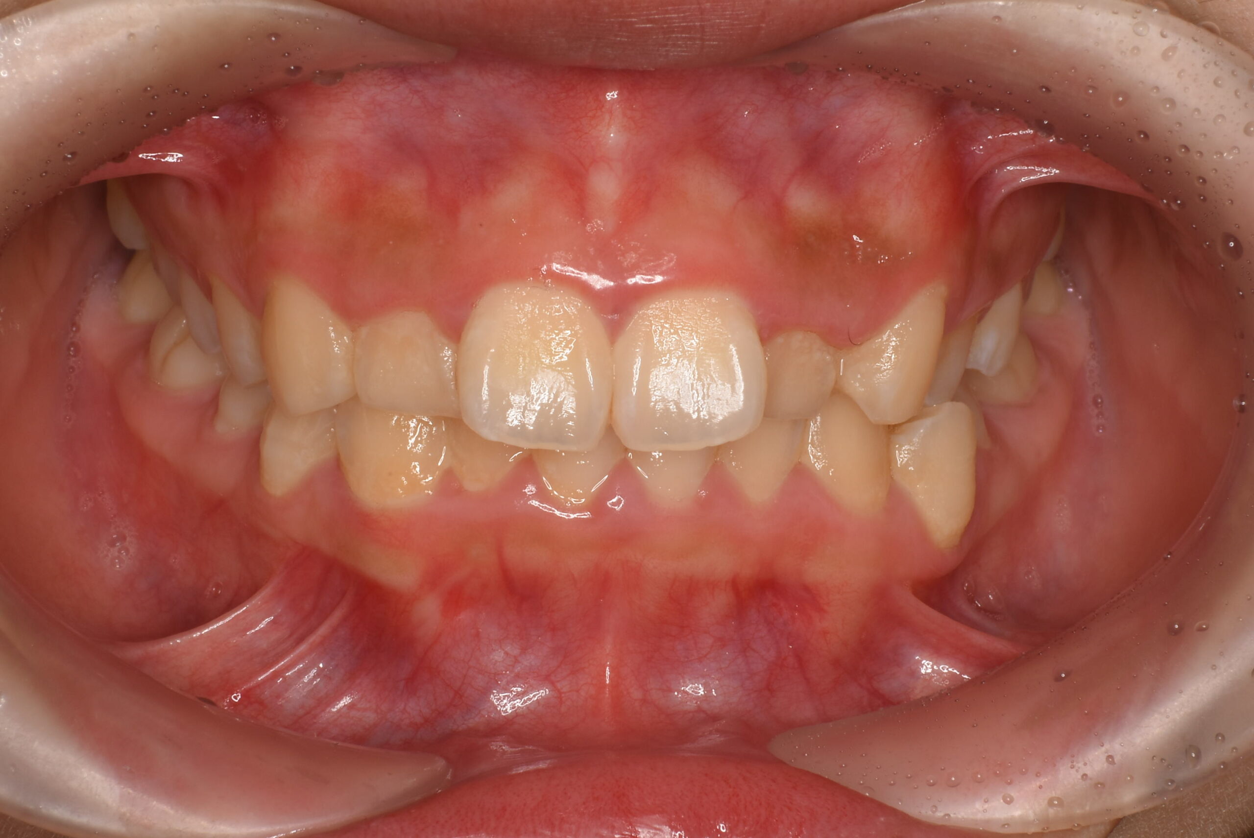
草加の歯医者 タケノコ歯科・矯正歯科クリニックでは、むし歯や歯周病に負けない健康な歯を維持するため、患者様一人ひとりの口腔環境に最適な予防ケアの提案・処置を行います。治療が終わったあとも定期メインテナンスを続けることで、再治療のリスクを軽減できます。

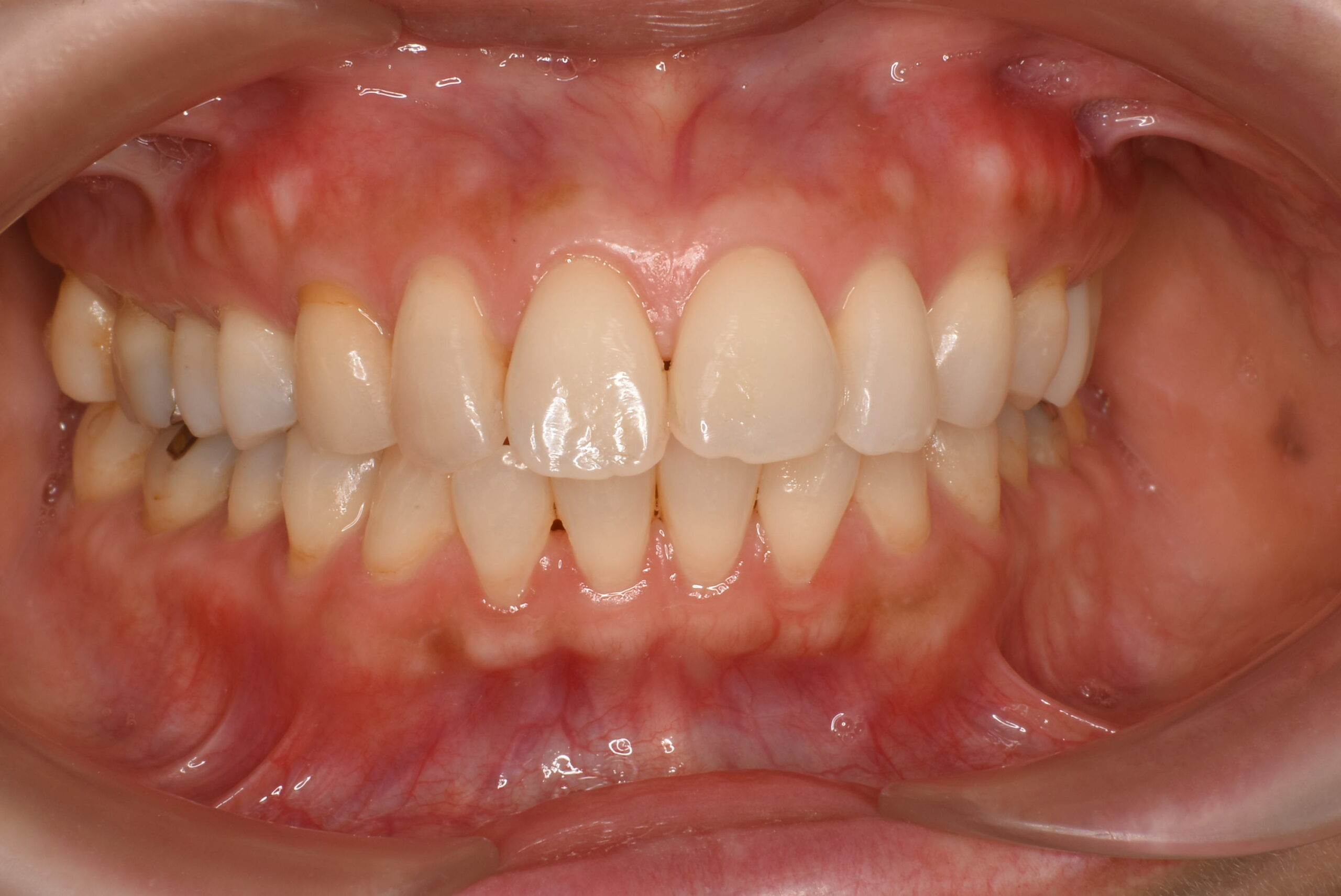
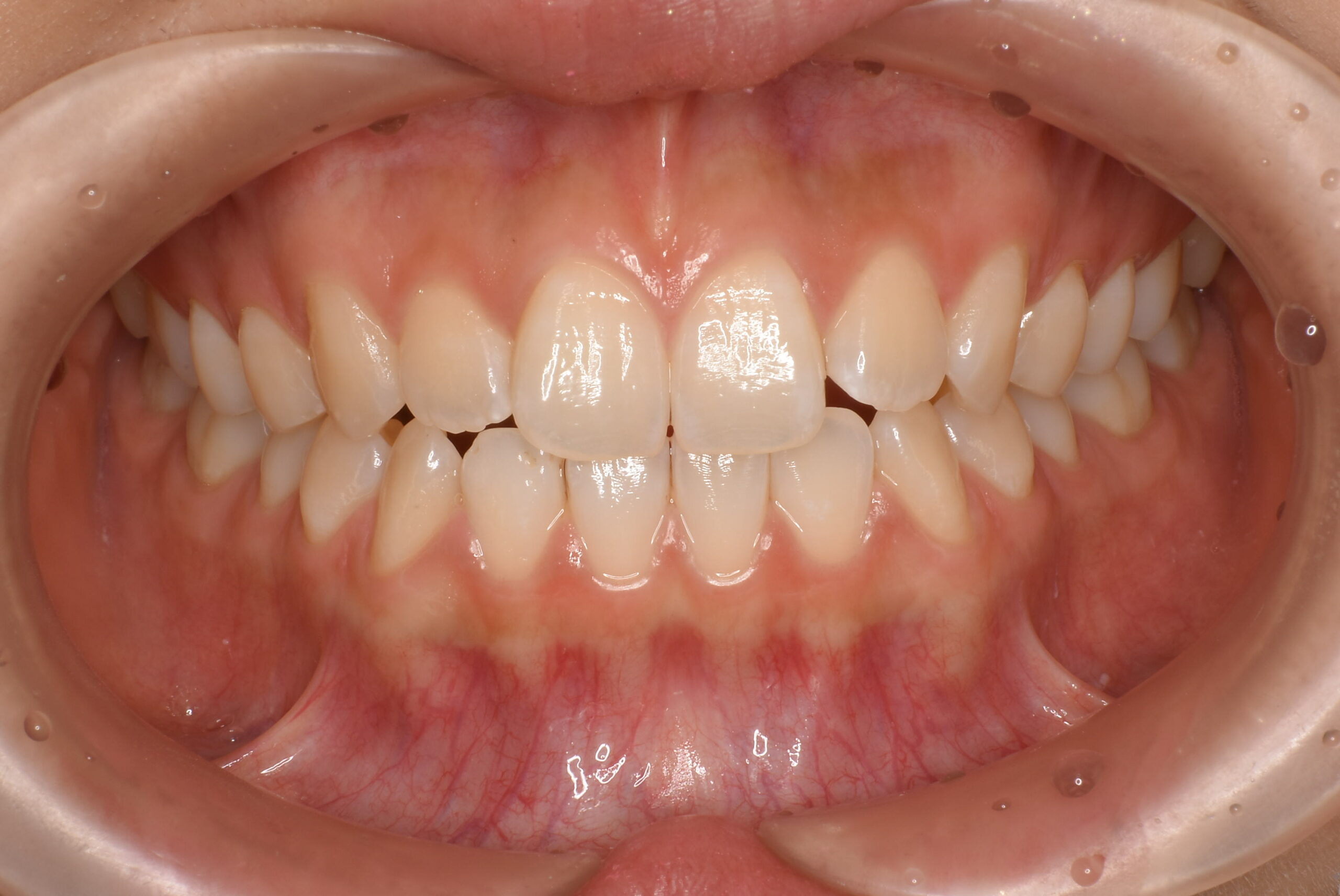
ホワイトエッセンス加盟院である、草加の歯医者 タケノコ歯科・矯正歯科クリニックでは、ホワイトニング・クリーニングを専門とするスタッフが在籍しています。
エステ感覚の心地よい施術で、健康的で美しい口内へと導きます。

徹底した衛生管理のもと、これまでの経験で培った豊富な技術で安全に配慮され、かつ精度の高いインプラント治療を行います。入れ歯に不満がある方やインプラントにお悩みの方は、草加市の歯医者 タケノコ歯科・矯正歯科クリニックにまずはご相談を。


