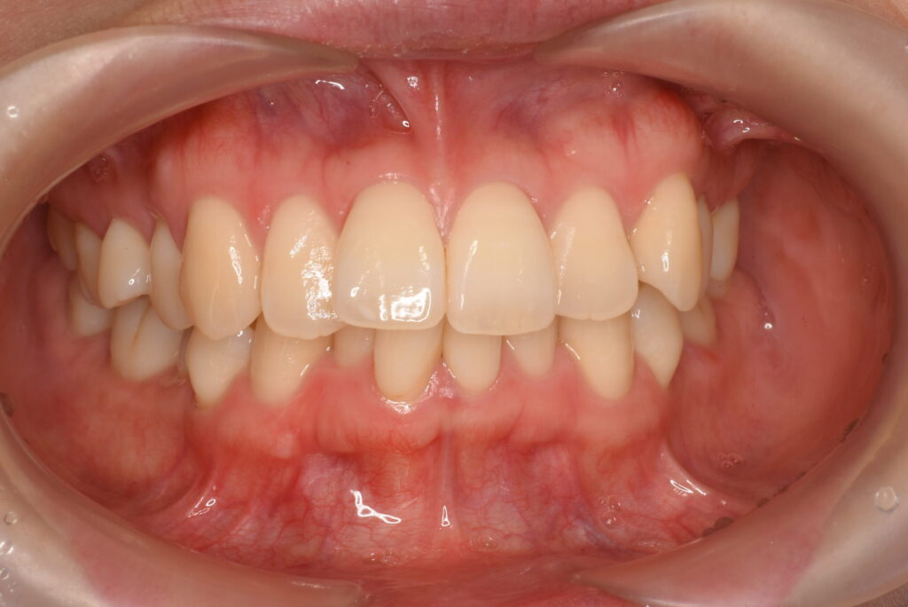
患者様は、歯のガタつきやデコボコした不揃いな歯並び、歯に汚れがつきやすく磨きにくいことを主訴に来院されました。10年以上 …続きを見る
患者様は、歯のガタつきや歯に汚れがつきやすいこと、顎のずれやお顔のゆがみ、歯と歯の間に隙間があること、そして食べ物が詰ま …続きを見る
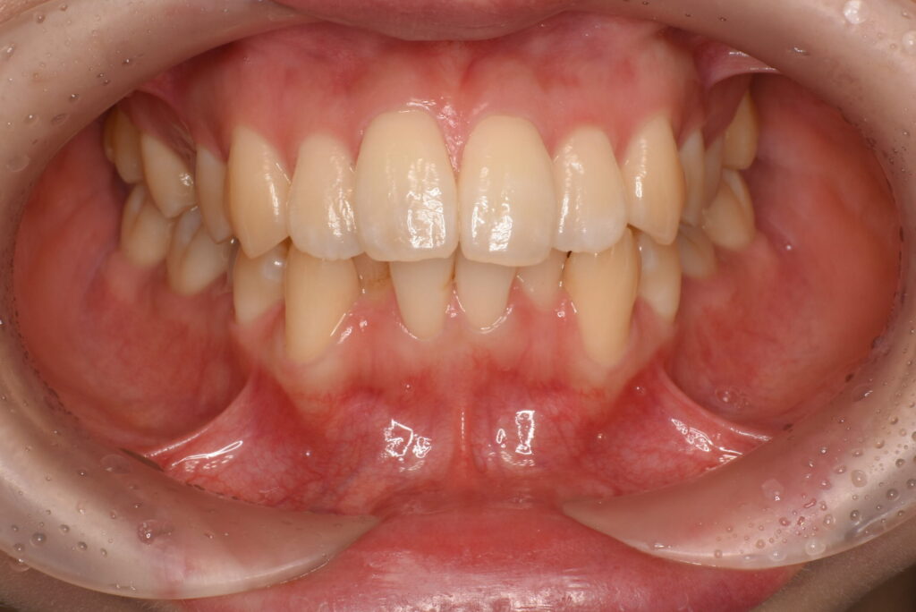
患者様は、歯のガタつきやすきっ歯、デコボコした不揃いな歯並び、そして歯と歯の間に隙間があることを主訴に来院されました。診 …続きを見る
患者様は、上下のデコボコした不揃いな歯並びを主訴に来院されました。見た目の改善と、目立ちにくい装置で治療したいというご希 …続きを見る
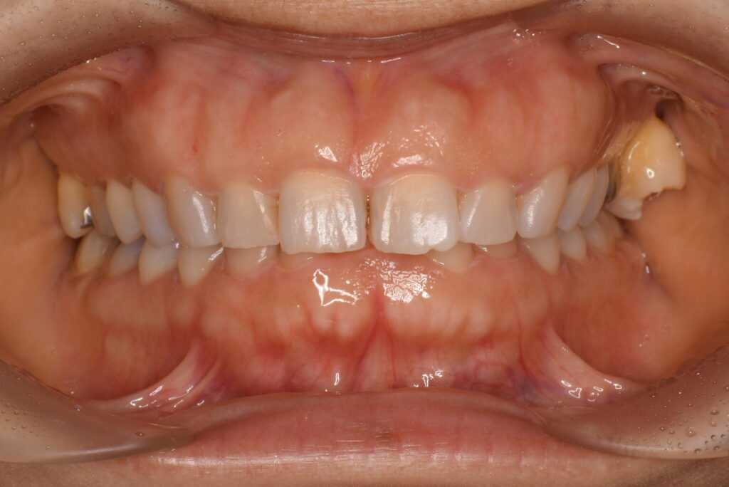
患者様は、歯のガタつきや上の前歯の突出、前歯でうまく噛めないこと、そしてデコボコした不揃いな歯並びを主訴に来院されました …続きを見る
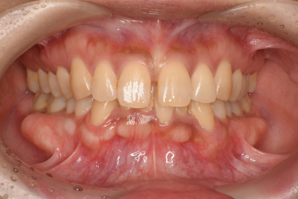
患者様は、上下のデコボコした不揃いな歯並び(叢生)と、歯と歯の間に隙間があることを気にされて来院されました。また、人前で …続きを見る