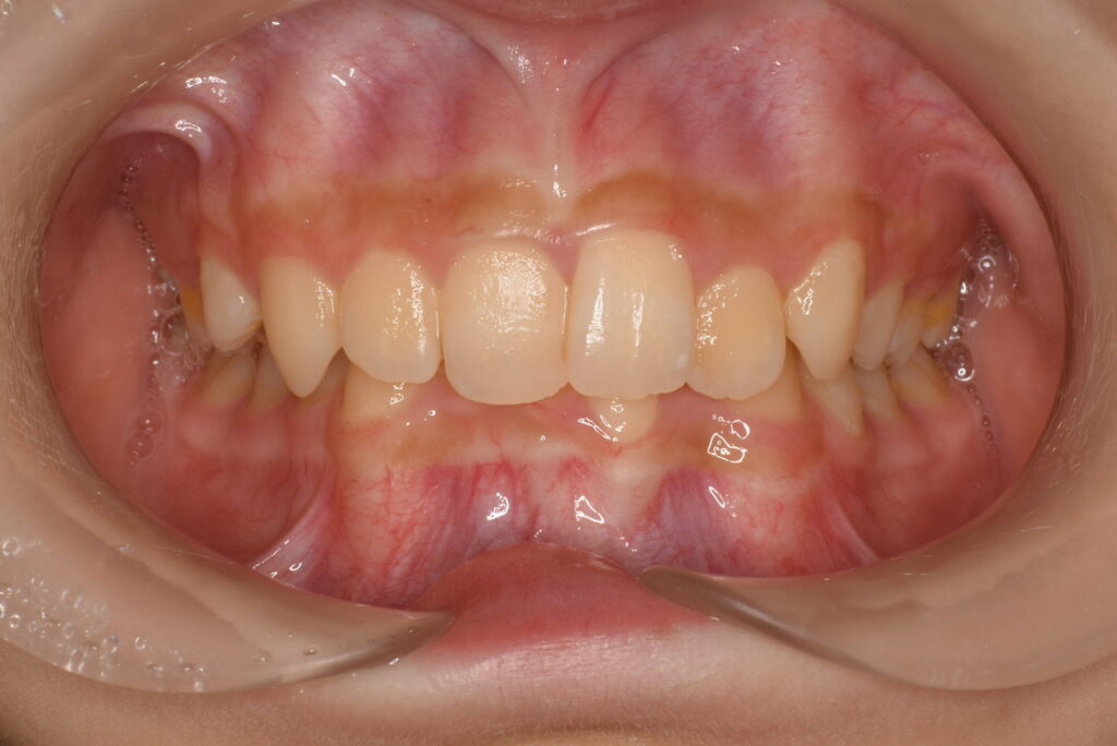
患者様は、上下のデコボコした不揃いな歯並びを主訴に来院されました。見た目の改善と、目立ちにくい装置で治療したいというご希 …続きを見る
患者様は、下の前歯のガタガタした歯並び(叢生)と、歯と歯の間に食べ物が挟まりやすいこと、汚れがたまりやすいことを主訴とし …続きを見る
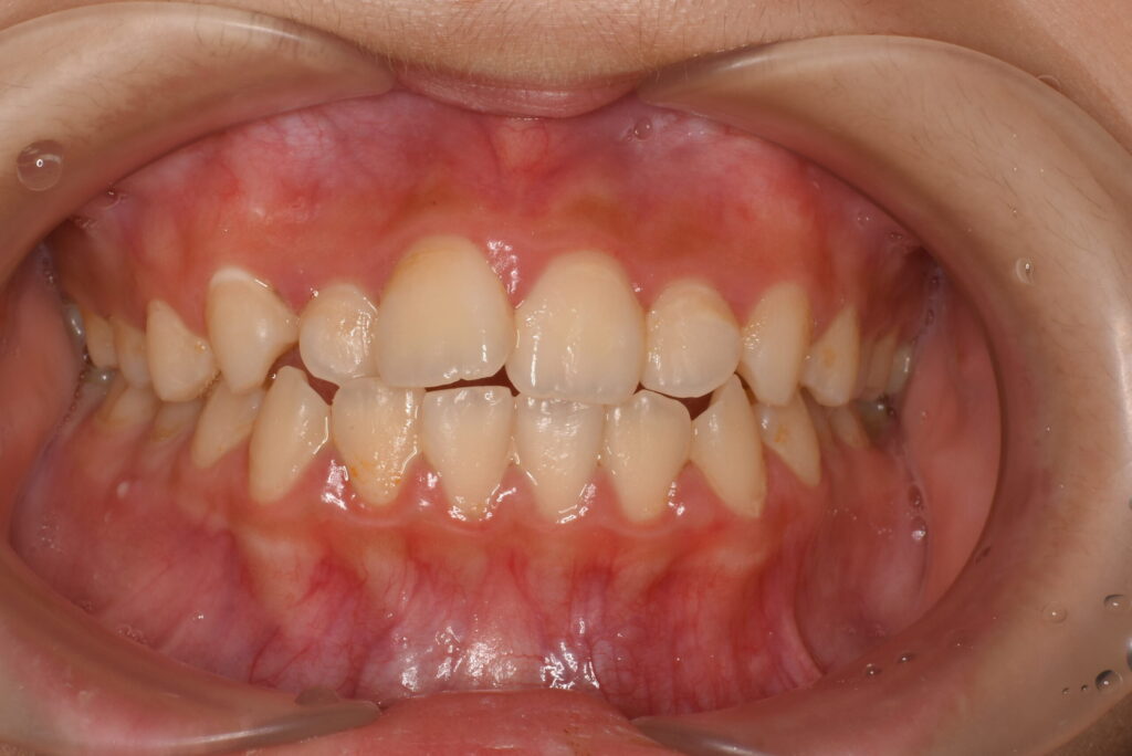
患者様は、上の前歯の突出や不揃いな歯並びに加え、咬みにくさや歯のサイズ感にも悩まれており、目立たない方法での矯正治療をご …続きを見る
「目立たない装置で矯正したい」とのご希望で来院されました。主訴は、上下のデコボコした歯並び(叢生)、歯ぐきの腫れ・出血、 …続きを見る