-

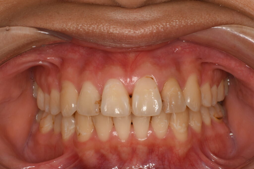
- BEFORE

- AFTER
-

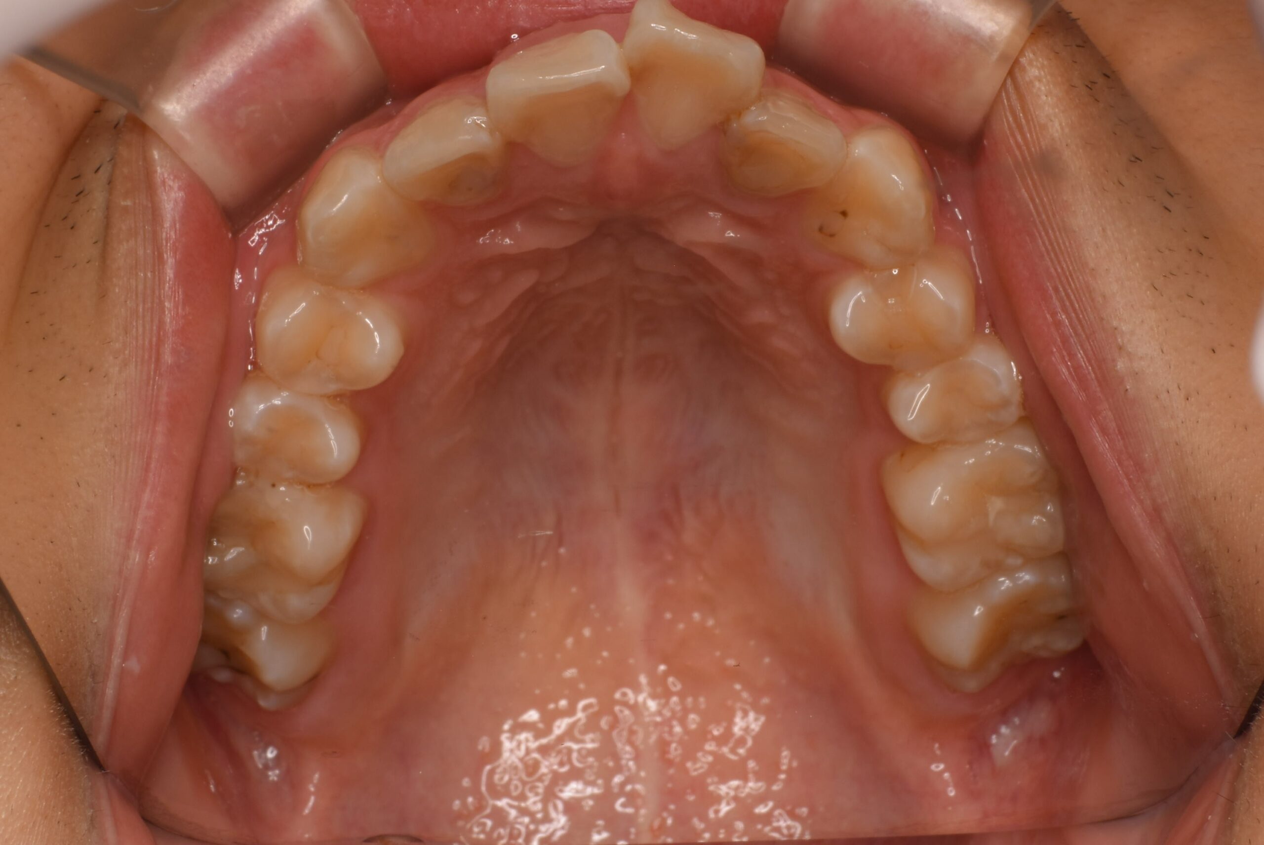
治療前_上顎咬合面
-

治療後_上顎咬合面
| 年齢 | 10代男性 |
|---|---|
| 治療内容 | 患者様は、上の前歯の突出や不揃いな歯並びに加え、咬みにくさや歯のサイズ感にも悩まれており、目立たない方法での矯正治療をご希望され来院された。 診査の結果、前歯部の叢生と上顎前突を認めたが、骨格的には非抜歯での矯正が適応可能と判断した。永久歯列期でのインビザラインによる非抜歯矯正を計画した。 治療は、マウスピース型矯正装置「インビザライン」を使用した。歯の移動スペースを確保するため、必要最小限の歯間削合(歯と歯の間をわずかに削る処置)を行い、歯列全体を整えながら、前歯の位置・傾斜を調整した。 また、診査時に歯の表面に脱灰(初期の虫歯)を認めたため、セルフケア指導などの予防処置も並行して実施。歯列の改善とともに、口腔内の健康維持にも配慮した治療を行った。 |
| 治療期間/通院回数 | 9ヶ月半 |
| 費用 | 税抜698,000円 税込み767,800円 別途検査料11,000円 再診料税込み5,500円×4回=22,000円 3,300円×5回=16,500円
総額817,300円 |
- リスク・副作用
-
- 装置の装着時間が不十分な場合、予定通り歯が動かず治療期間が延びる可能性があります。1日20時間以上の装着が必要です。 歯と歯の間を削る処置後は、歯間部にプラークがたまりやすくなるため、虫歯や歯肉炎のリスクが高まります。丁寧な歯磨きと定期的な歯科管理が必要です。 脱灰部位の進行リスクがあるため、矯正中は特に予防管理とセルフケアの徹底が重要です。 非抜歯矯正ではスペースが限られるため、前歯の突出感改善には限界がある場合があります。

