-

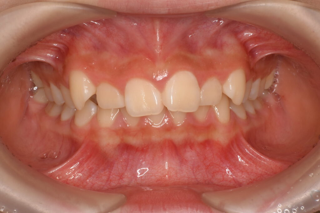
- BEFORE

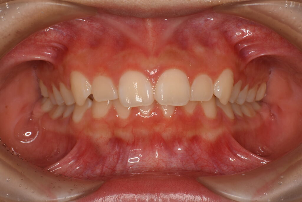
- AFTER
-

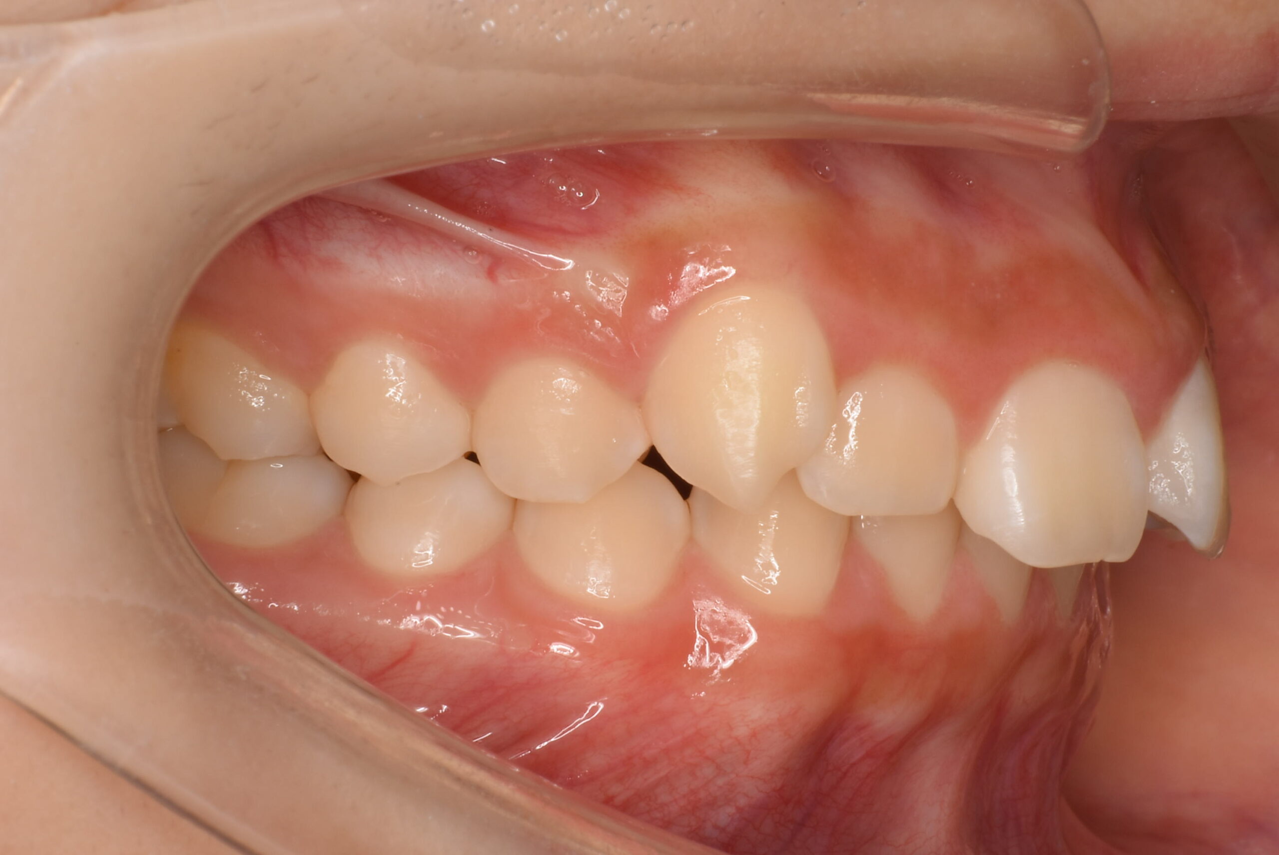
治療前_右側方
-

治療後_右側方
| 年齢 | 10代女性 |
|---|---|
| 治療内容 | 患者様は、上下のデコボコした不揃いな歯並びを主訴に来院されました。見た目の改善と、目立ちにくい装置で治療したいというご希望があり、マウスピース型矯正(インビザライン)を選択されました。 診査の結果、抜歯は行わずに歯列を整える非抜歯矯正とし、歯の移動に必要なスペースを確保するためにIPR(歯と歯の間をわずかに削ってスペースを作る処置)を行いながら治療を進めました。アライナー交換を段階的に行い、叢生の改善を図りました。 |
| 治療期間/通院回数 | 26ヶ月 |
| 費用 | インビザライン:716,000円(税抜)/787,600円(税込) 検査料:11,000円(税込) 再診料:5,500円 × 9回 = 49,500円 再診料:3,300円 × 10回 = 33,000円 総額:881,100円(税込) |
- リスク・副作用
-
- 10代は歯肉が炎症を起こしやすく、アライナー装着によりプラークが停滞すると歯肉炎や初期むし歯のリスクが高まることがあります。また、IPRを行った部位では一時的に知覚過敏が生じる場合があります。アライナー装着初期には圧迫感や軽度の痛みを感じることがありますが、多くは数日で軽減します。装着時間が不足すると歯の移動が計画通りに進まず、治療期間が延びる可能性があります。

