-

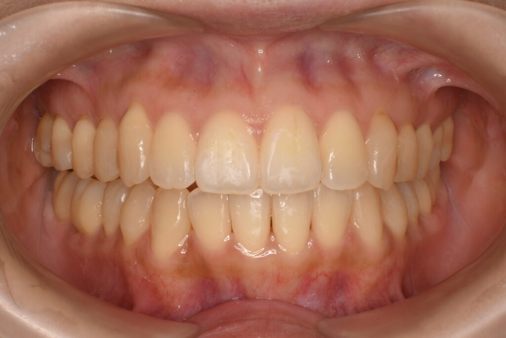
- BEFORE

- AFTER
-

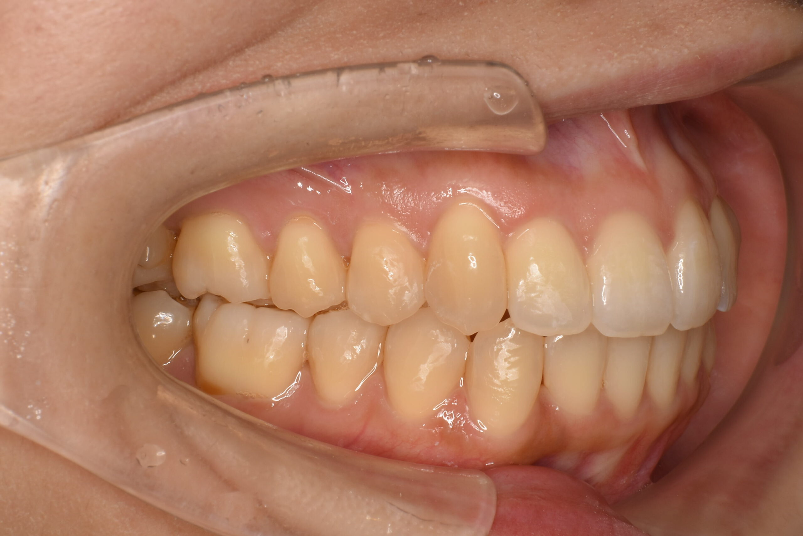
治療前_右側方
-

治療後_右側方
| 年齢 | 30代女性 |
|---|---|
| 治療内容 | 患者様は、歯のガタつきや上の前歯の突出、前歯でうまく噛めないこと、そしてデコボコした不揃いな歯並びを主訴に来院されました。見た目と機能の両方に悩みがあり、目立ちにくい装置で治療したいというご希望から、マウスピース型矯正(インビザライン)を選択されました。 診査の結果、抜歯は行わずに歯列を整える非抜歯矯正とし、歯の移動に必要なスペースを確保するためにIPR(歯と歯の間をわずかに削ってスペースを作る処置)を行いながら治療を進めました。治療中はインビザラインと並行して、クリーニングによるメンテナンスも継続して行い、口腔内環境を整えながら歯列の改善を図りました。治療後も安定を保つため、2年10ヶ月後には患者様の希望によりリテーナー(後戻りを防ぐためのマウスピース)の追加作製を行っています。 |
| 治療期間/通院回数 | 15ヶ月 |
| 費用 | インビザライン:716,000円(税抜)/787,600円(税込) 検査料:11,000円(税込) 再診料:5,500円 × 7回 = 38,500円 再診料:3,300円 × 3回 = 9,900円 追加リテーナー代:22,000円(税込) 追加検査代:5,500円(税込) 総額:874,500円(税込) |
- リスク・副作用
-
- マウスピース矯正では、装着時間が不足すると歯の移動が計画通りに進まず、治療期間が延びる可能性があります。 また、IPRを行った部位では一時的に知覚過敏が生じることがあります。 30代は歯周組織の状態が治療に影響しやすく、プラークが停滞すると歯肉炎や歯周病のリスクが高まるため、定期的なクリーニングや丁寧なブラッシングが重要です。 アライナー装着初期には圧迫感や軽度の痛みを感じることがありますが、多くは数日で軽減します。

