-

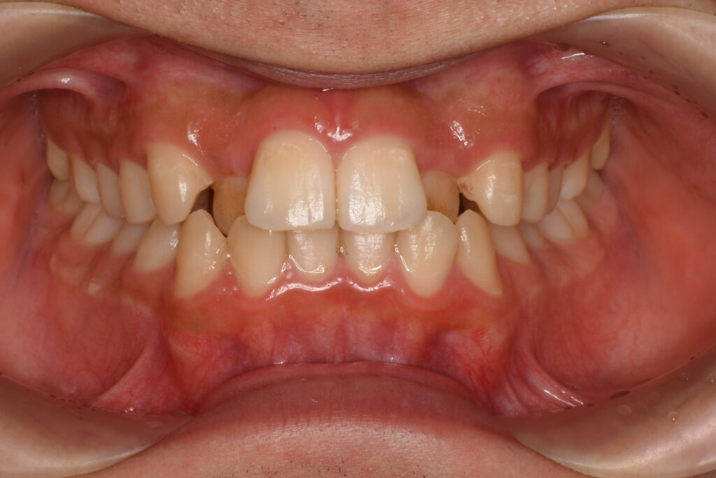
- BEFORE

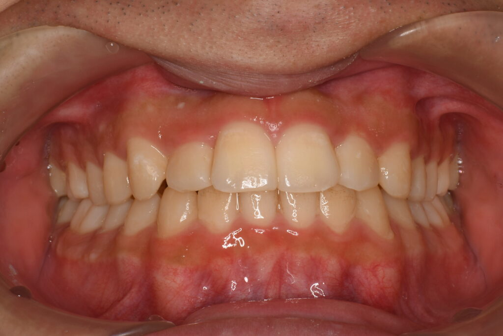
- AFTER
-

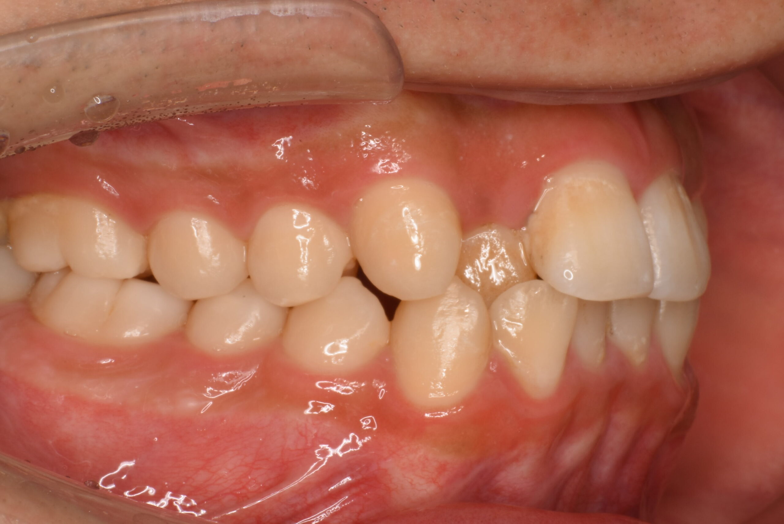
治療前_右側方
-

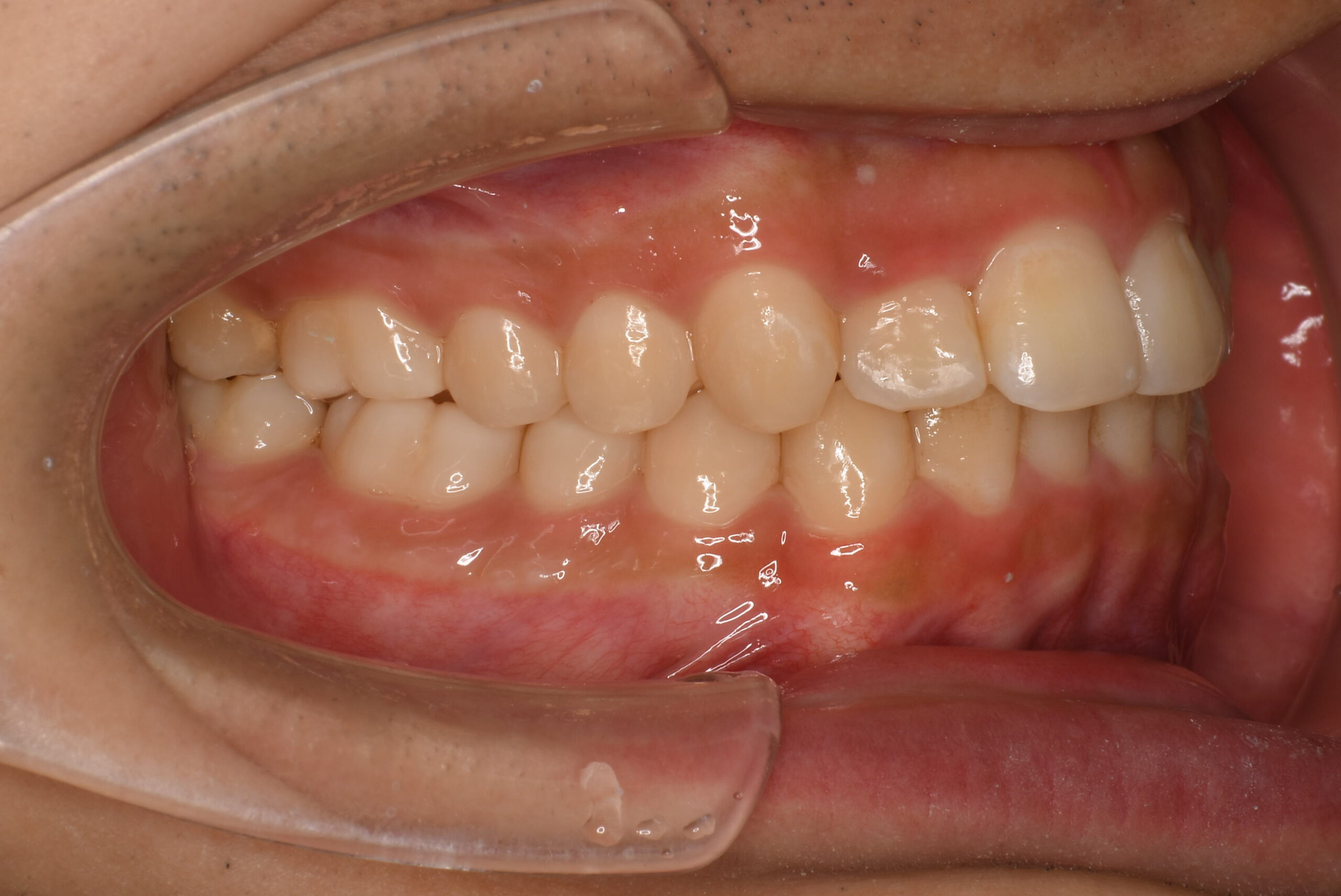
治療後_右側方
| 年齢 | 10代男性 |
|---|---|
| 治療内容 | 患者様は、上下のデコボコした不揃いな歯並び(叢生)と、歯と歯の間に隙間があることを気にされて来院されました。また、人前で大きく笑えないという審美的な悩みもあり、大学在学中に矯正治療を終えたいというご希望がありました。診査の結果、目立ちにくい装置での治療を希望されたため、マウスピース型矯正(インビザライン)による治療を計画しました。 抜歯は行わず、非抜歯矯正で歯列を整える方針とし、歯の移動に必要なスペースを確保するために、必要に応じて IPR(歯と歯の間をわずかに削ってスペースを作る処置)を行いながら治療を進めました。アライナー交換を段階的に行い、叢生の改善と隙間の閉鎖を同時に図りました。 |
| 治療期間/通院回数 | 21ヶ月 |
| 費用 | インビザライン:716,000円(税抜)/787,600円(税込) 検査料:11,000円(税込) リテーナー代:55,000円(税込) 再診料:5,500円 × 10回 = 55,000円 再診料:3,300円 × 2回 = 6,600円 総額:915,200円(税込) |
- リスク・副作用
-
- 矯正治療中はアライナー装着によりプラークが停滞しやすく、虫歯や歯肉炎(歯周病)のリスクが高まる可能性があります。 特に10代は生活習慣の影響を受けやすく、間食やブラッシング不足により初期う蝕が進行することがあります。 また、IPRを行った部位では一時的に知覚過敏が生じる場合があります。 アライナー装着初期には圧迫感や軽度の痛み、違和感を感じることがありますが、多くは数日〜数週間で軽減します。

