-

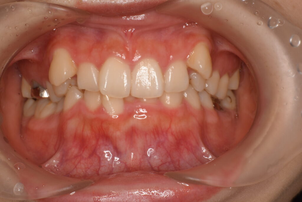
- BEFORE

- AFTER
-

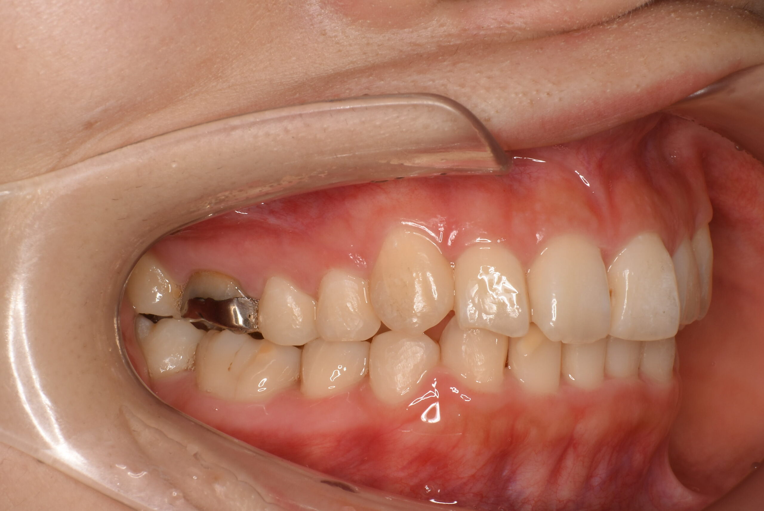
治療前_右側方
-

治療後_右側方
| 年齢 | 20代女性 |
|---|---|
| 治療内容 | 患者様は、歯のガタガタやデコボコした不揃いな歯並び(叢生)を主訴に来院されました。 矯正治療に先立ち、左上および左右下の親知らず(8番)を口腔外科にて抜歯し、歯列への影響を考慮したうえで、その他の歯は抜歯を行わない非抜歯矯正で治療を実施しました。 治療中は、アライナー装着に慣れるまで頭痛や違和感、装置が引っかかるような痛みを感じることがありましたが、経過とともに順応がみられ、治療継続が可能でした。 |
| 治療期間/通院回数 | 16ヶ月 |
| 費用 | マウスピース型矯正(インビザライン):698,000円(税抜)/767,800円(税込) 検査料:11,000円(税込) 再診料:5,500円(税込)×10回=55,000円 再診料(軽度処置):3,300円(税込)×1回=3,300円
総額:837,100円(税込) |
- リスク・副作用
-
- 矯正治療中はプラークコントロールが不良になりやすく、虫歯や歯肉炎(歯周病)のリスクが高まります。 アライナーの装着時間が不足すると、歯の移動精度や治療期間に影響が出る可能性があります。 IPR(歯間削合)を行った部位では、一時的に知覚過敏を生じる場合があります。 アライナー装着初期には、違和感や頭痛、圧迫感を感じることがありますが、多くは経過とともに軽減します。

