-

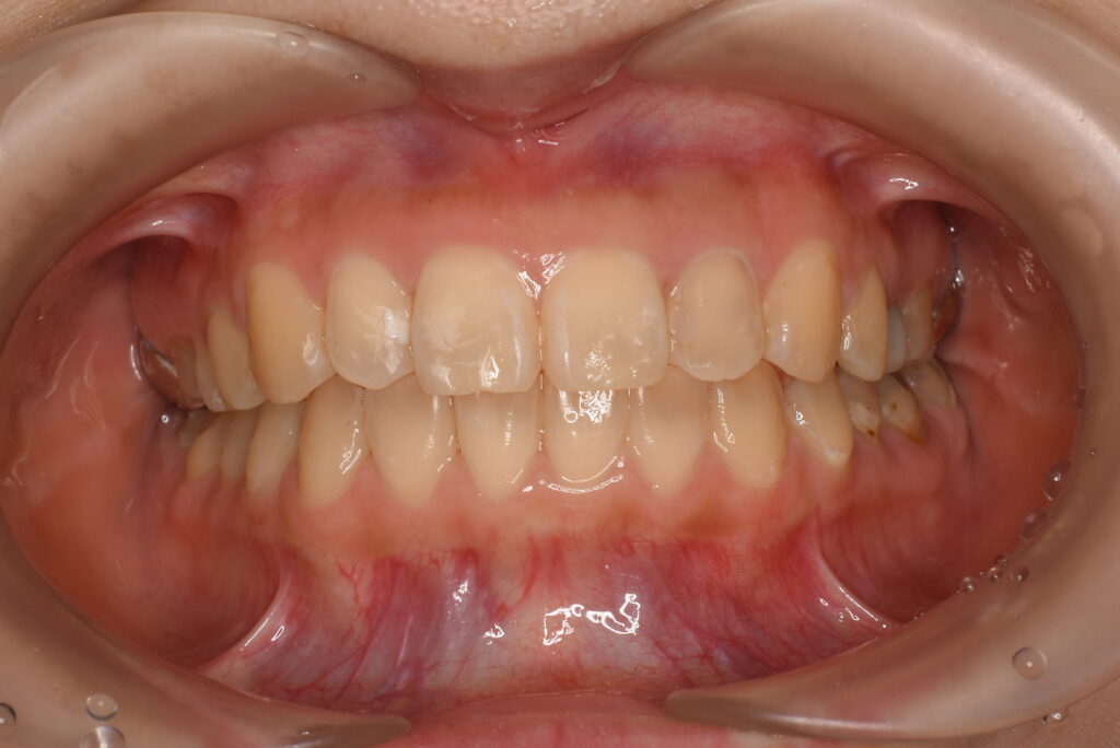
- BEFORE

- AFTER
-

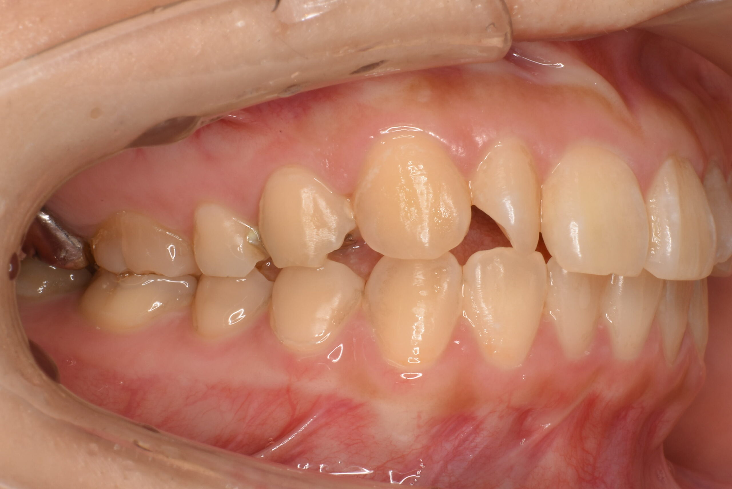
治療前_右側方
-

治療後_右側方
| 年齢 | 20代女性 |
|---|---|
| 治療内容 | 不揃いな歯並び(叢生)や、歯のガタガタ・デコボコが気になることを主訴に来院されました。 目立ちにくい装置での治療をご希望されたため、マウスピース型矯正(インビザライン)による矯正治療を行いました。 治療途中、上顎左右にカリエスが認められたため、矯正治療と並行してCR修復(コンポジットレジンによる虫歯治療)を行いました。 2021年12月にお引っ越しのご予定があり、2022年3月までの治療終了を希望されていたため、治療計画を調整しながら進行管理を行い、予定期間内での治療完了を目指しました。 |
| 治療期間/通院回数 | 14ヶ月 |
| 費用 | マウスピース型矯正(インビザライン):698,000円(税抜)/767,800円(税込) 検査料:11,000円(税込) 再診料:5,500円(税込)×7回=38,500円 再診料(軽度処置):3,300円(税込)×2回=6,600円
総額:823,900円(税込) |
- リスク・副作用
-
- 矯正治療中はプラークコントロールが不十分になると、カリエス(虫歯)や歯肉炎、歯周病のリスクが高まります。 IPR処置部位では、一時的な知覚過敏が生じることがあります。 短期間での治療完了を希望される場合、歯の移動量や仕上がりの精度に影響が出る可能性があります。 アライナーの装着時間が不足すると、治療期間の延長や計画修正が必要となる場合があります。 矯正治療後は、後戻り防止のための保定管理(リテーナー使用)が重要です。

