-

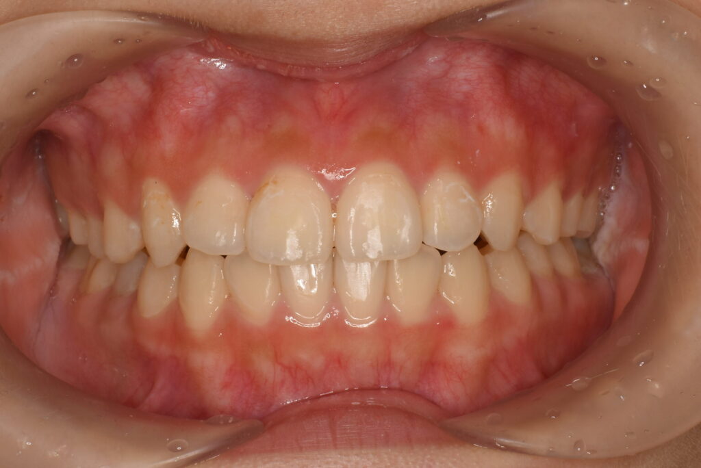
- BEFORE

- AFTER
-

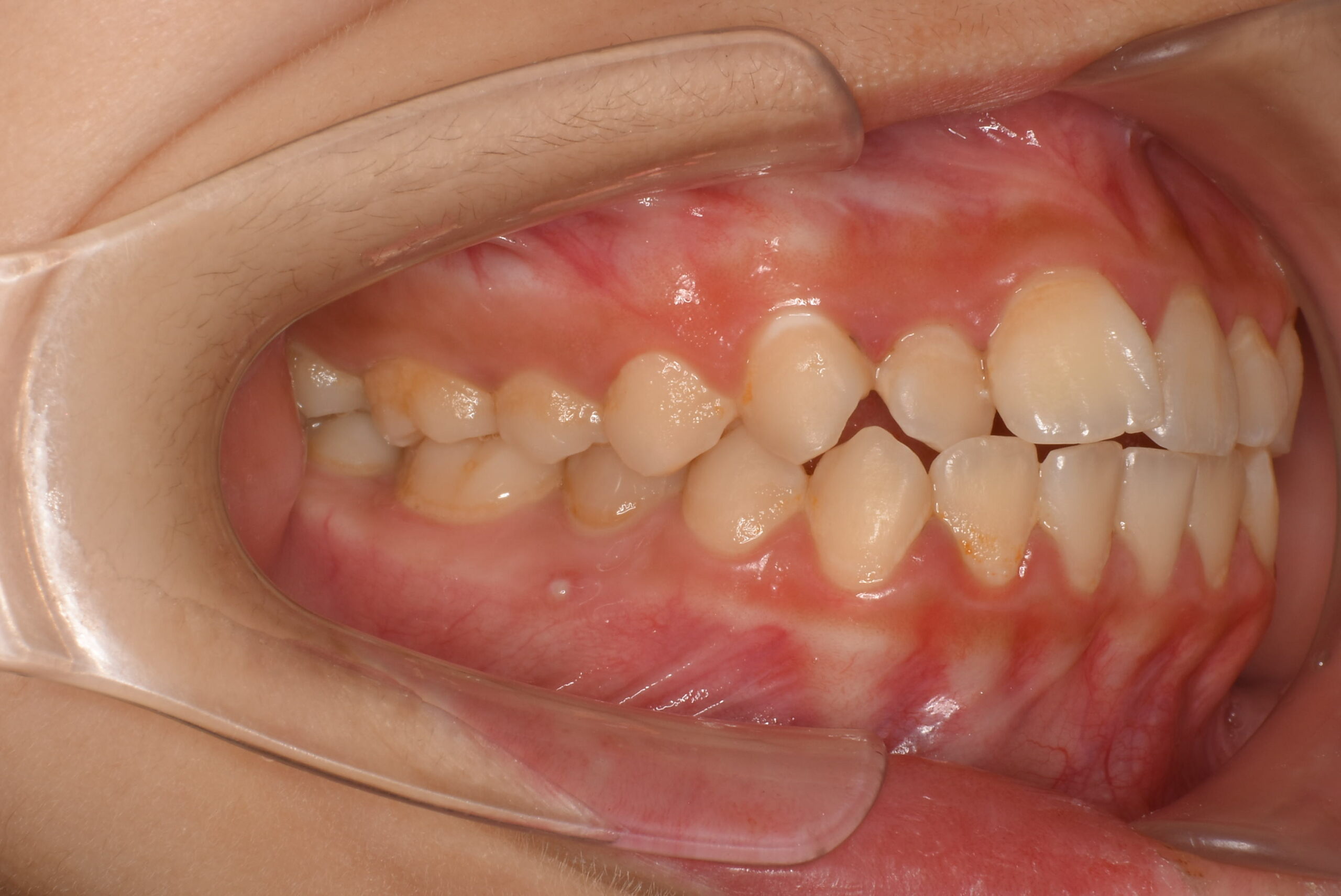
治療前右側面
-

治療後右側面
| 年齢 | 10代女性 |
|---|---|
| 治療内容 | 「目立たない装置で矯正したい」とのご希望で来院されました。主訴は、上下のデコボコした歯並び(叢生)、歯ぐきの腫れ・出血、常に口が開いてしまうことへの自覚でした。 目立ちにくいマウスピース型矯正装置「インビザライン」を用いて、ガタついた歯並びをきれいに並べるとともに、しっかり噛めるようにすることを目的に治療を進める方針としました。必要に応じて、歯と歯の間をわずかに削る処置を必要最小限で実施し、歯の移動に必要なスペースを確保しました。 |
| 治療期間/通院回数 | 24ヶ月 |
| 費用 | 税抜698,000円 税込767,800円 別途検査料 税込11,000円 再診料 税込5,500円×8回=44,000円 税込3,300円×10回=33,000円
総額税込 855,800円 |
- リスク・副作用
-
- アライナー装着によってプラークが停滞しやすくなるため、歯肉炎が進行する可能性があります。矯正中は特にセルフケアの徹底と、定期的な歯科管理が必要です。 初期う蝕が進行する可能性があります。矯正治療中はフッ素塗布や定期的なクリーニングを推奨します。

