-

- BEFORE

- AFTER
-

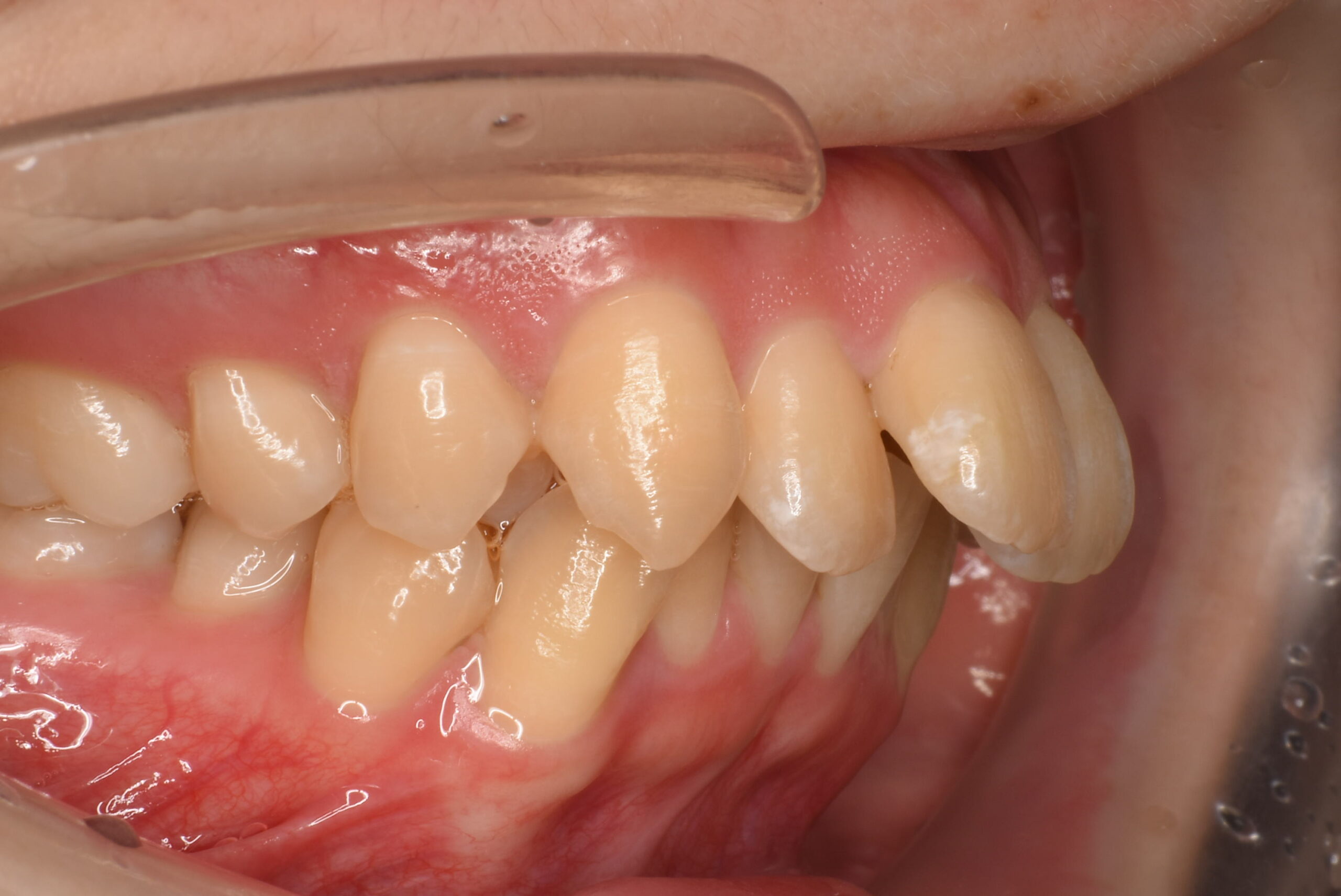
治療前右側面
-

治療後右側面
| 年齢 | 20代女性 |
|---|---|
| 治療内容 | 患者様は、上の前歯の突出と歯並びのガタつきにより、人前で笑うことに抵抗があることや、横顔の印象を改善したいとのご希望で来院された。上顎前突および軽度叢生を認め、小臼歯の抜歯を伴わない非抜歯矯正が適応可能と判断。矯正治療を円滑に進めるため、インビザライン開始前に当院にて右下の親知らず(第3大臼歯)を抜歯し、歯列の後方移動を行いやすい状態を整えた。インビザライン矯正により、歯列全体を整えながら、前歯の配列と角度を調整した。歯の移動に必要なスペースを確保するため、歯と歯の間をわずかに削る処置を必要最小限で実施。前歯の突出感を軽減し、横顔の印象改善と自然なスマイルラインの獲得を目指した。 |
| 治療期間/通院回数 | 32ヶ月 |
| 費用 | 税抜698,000円 税込767,800円 別途検査料 税込11,000円 再診料 税込5,500円×18回=99,000円
総額 税込877,800円 |
- リスク・副作用
-
- 非抜歯矯正のため、前歯の突出感改善には限界があり、思い通りの歯の移動が難しい場合があります。 マウスピース型矯正は、1日20時間以上の装着が求められ、守られないと治療期間の延長や治療効果の低下が生じる可能性があります。 必要最小限の削合とはいえ、歯のエナメル質を削るため、処置部位における虫歯や知覚過敏のリスクがわずかに増加します。

