-

- BEFORE

- AFTER
-

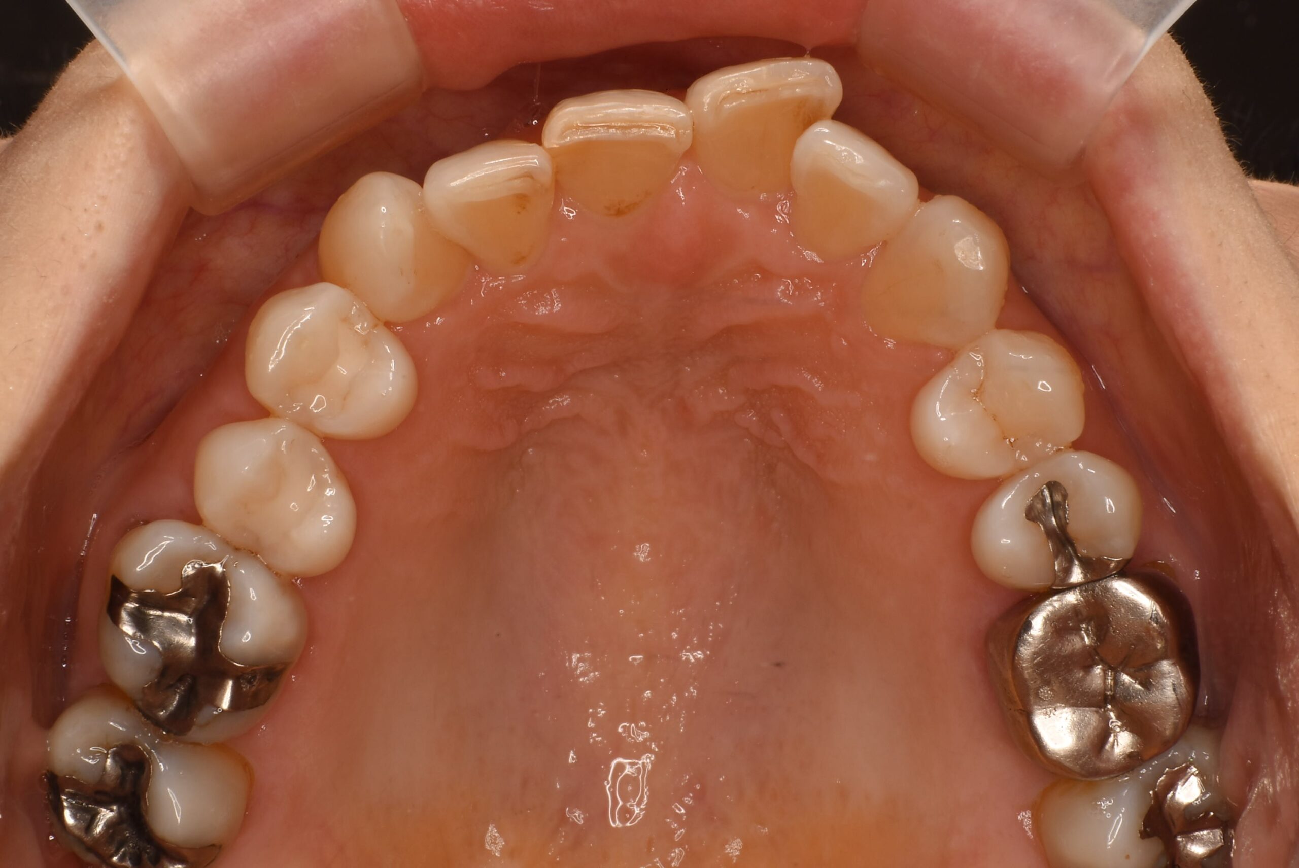
治療前上咬合面
-

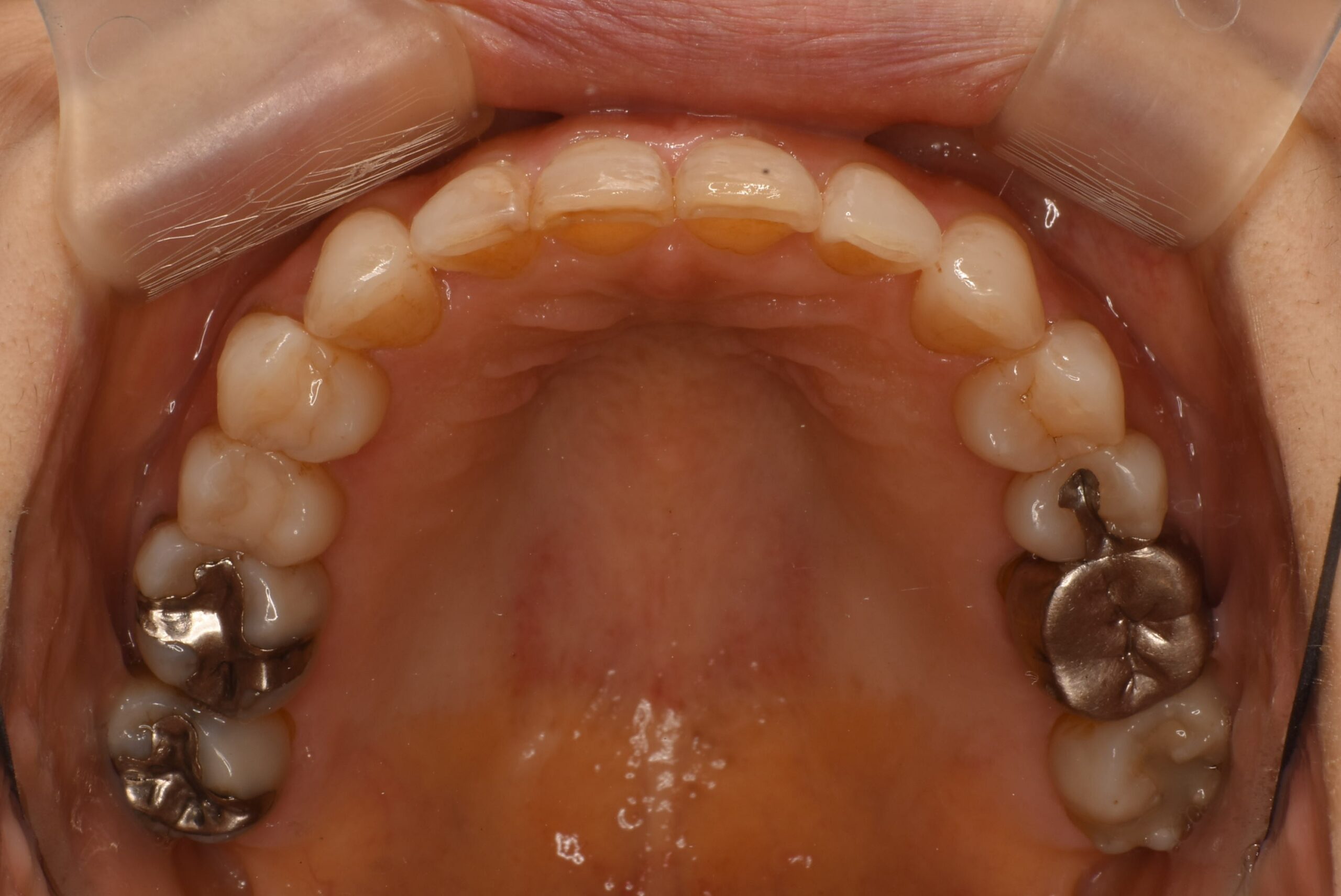
治療後上咬合面
| 年齢 | 50代女性 |
|---|---|
| 治療内容 | 患者様は、上の前歯が1本だけ突出していることを気にされて来院された。口元の見た目にコンプレックスを感じており、人前で大きく笑うことに抵抗があるとのことであった。さらに、口が開きにくい・顎が鳴る・動かしづらいといった顎関節症の症状に加え、慢性的な首・肩のこりや頻繁な頭痛も訴えられていた。 目立たない矯正をご希望されたため、マウスピース型矯正装置「インビザライン」による治療を選択しました。前歯の1本だけが前方に突出していることに対し、全体の歯列バランスを考慮しながら、段階的に歯を移動させて整える治療。必要に応じて歯と歯の間のわずかな削合を行い、歯を並べるスペースを確保した。 |
| 治療期間/通院回数 | 23ヶ月 |
| 費用 | 税抜き698,000円 税込767,800円 別途検査料 税込11,000円 再診料 税込5,500円×9回=49,500円 税込3,300円×3回=9,900円
総額 税込み838,200円 |
- リスク・副作用
-
- 矯正による歯の移動は歯周組織に負荷がかかるため、事前に歯周病の有無や進行度を正確に把握し、必要な治療を済ませてから矯正を始める必要があります。 歯を動かすことでまれに起こる「歯根吸収(歯の根が短くなる現象)」は、年齢が上がるにつれてリスクが増加する傾向にあります。 装着時間が短いと、計画通りに歯が動かず、治療期間の延長や再治療が必要になることがあります。

