患者様は、上下前歯の叢生(歯のガタつき)やデコボコした不揃いな歯並びに加え、「歯が大きい」「食べ物が挟まりやすい」といっ …続きを見る
患者様は、上下前歯の叢生(歯のガタつき)やデコボコの不揃いな歯並びに加え、「食べ物が詰まりやすい」「下の前歯が磨きにくい …続きを見る
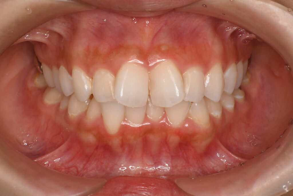
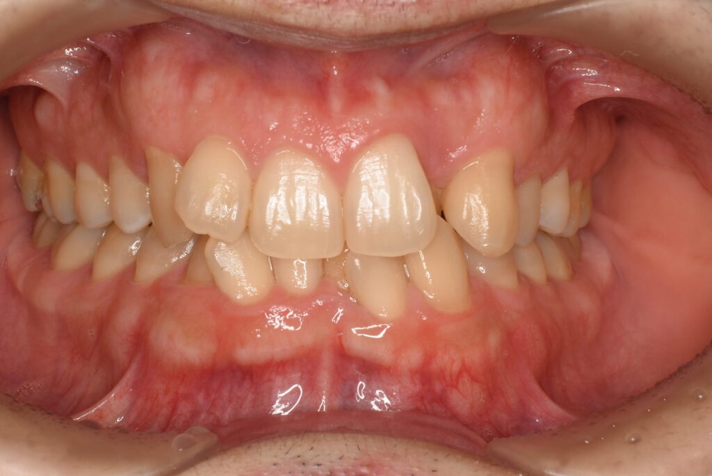
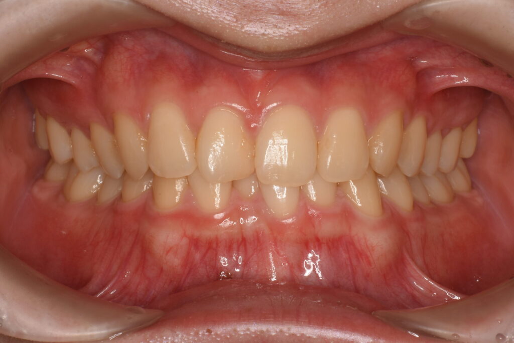
患者様は、上下前歯の叢生(歯のガタつき)や上顎前歯の前突(出っ歯)、不揃いな歯並びに加えて、歯に汚れが付着しやすく磨きに …続きを見る
患者様は、歯列の叢生(ガタつき)を主訴に来院され、「人前で大きく笑えない」と審美面の改善も希望されていました。 目立ちに …続きを見る
患者様は、上下前歯の叢生(歯のガタつき)や歯間空隙(歯と歯のすき間)を主訴に来院されました。 見た目の改善と噛み合わせの …続きを見る
患者様は、上下顎前歯部の叢生(歯のガタつき)や歯間空隙(すきっ歯)、前歯の唇側傾斜(前突/出っ歯)を主訴に来院されました …続きを見る