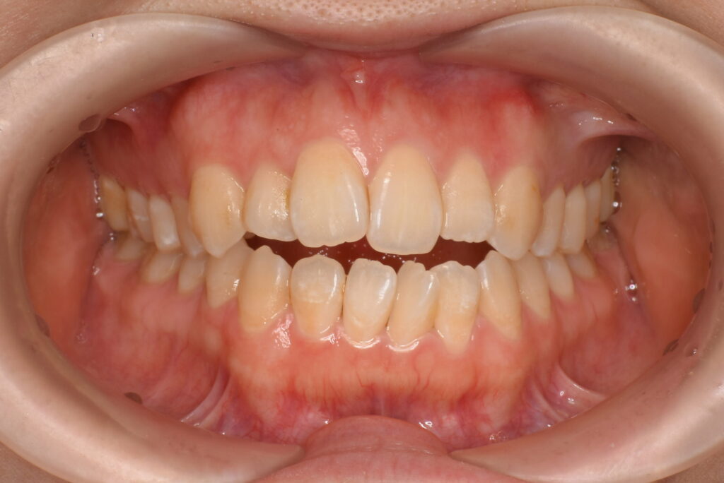
患者様は、歯のガタガタやデコボコした不揃いな歯並び(叢生)を主訴に来院されました。 診査の結果、目立ちにくい装置での治療 …続きを見る
不揃いな歯並び(叢生)や、歯のガタガタ・デコボコが気になることを主訴に来院されました。 目立ちにくい装置での治療をご希望 …続きを見る
Warning: foreach() argument must be of type array|object, false given in
/home/dentalweb/takenoko-shika.com/public_html/case/wp-content/themes/takenoko_temp/archive-case.php on line
115
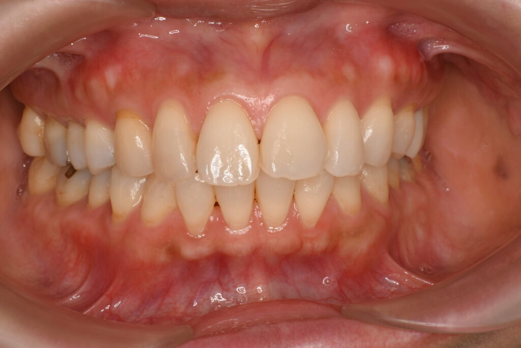
歯のガタガタやデコボコした不揃いな歯並び(叢生)、上の前歯1本が前方に出ていること、歯が大きく感じることを主訴に来院され …続きを見る
上の前歯が出ていることによる口元の突出感(いわゆる「バイマキ/口ゴボ」:上下の前歯が前方に出て、口元がもっこりと見える状 …続きを見る
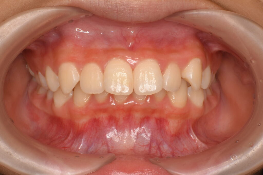
歯のガタガタやデコボコした不揃いな歯並び(叢生)に加え、下顎前歯が前に出て見える(切端咬合)ことを主訴に来院されました。 …続きを見る
患者様は、前歯でうまく噛めない、上下の歯が十分に接触しないことを主訴に来院されました。診査の結果、オープンバイト(開咬) …続きを見る