-

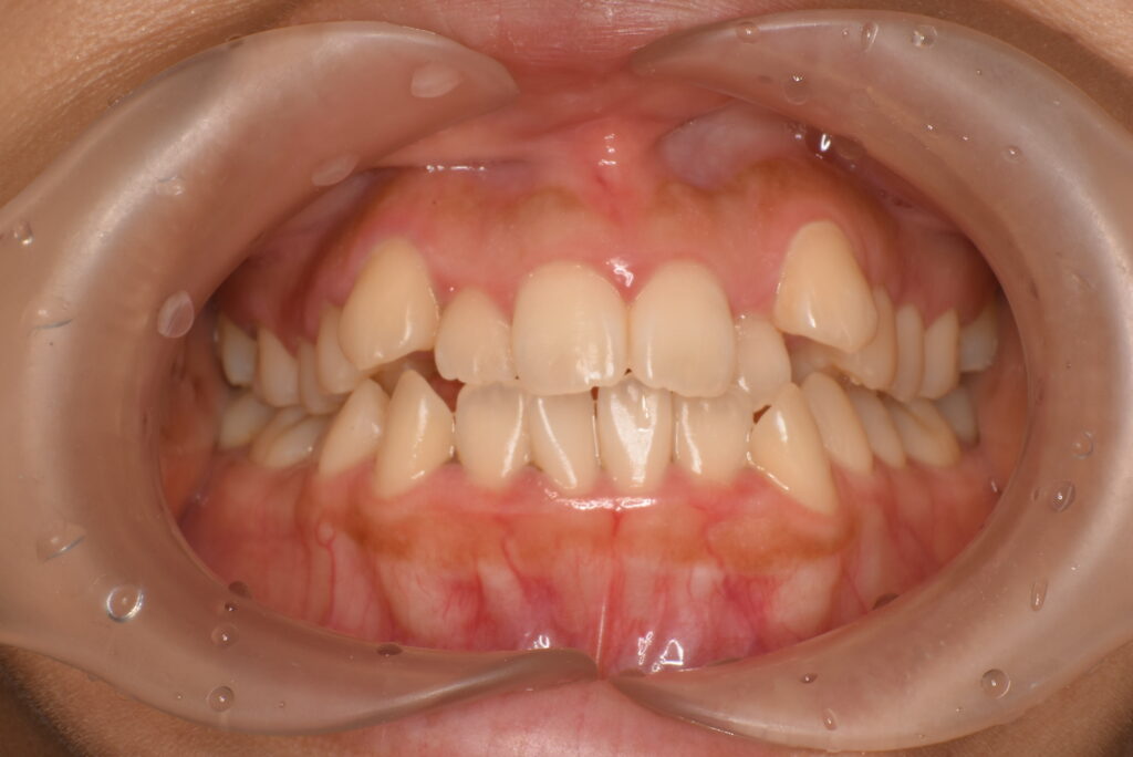
- BEFORE

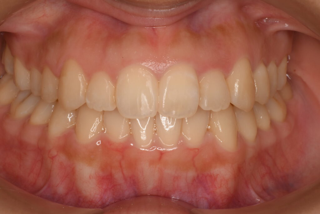
- AFTER
-

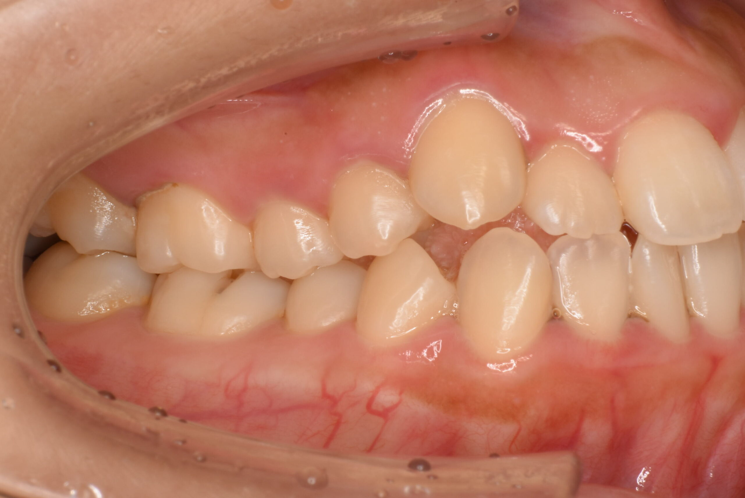
治療前_右側方
-

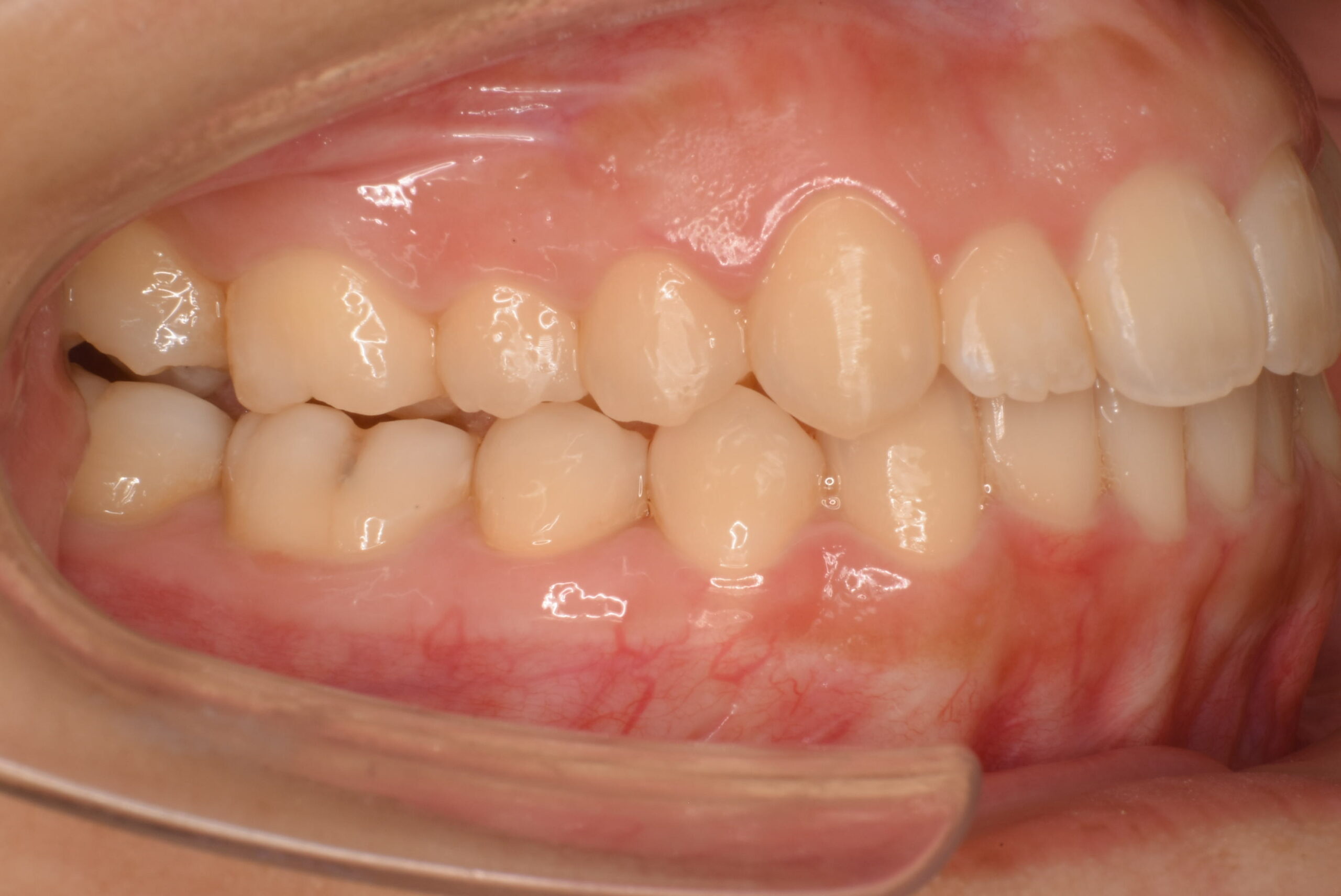
治療後_右側方
| 年齢 | 20代女性 |
|---|---|
| 治療内容 | 患者様は、歯のガタつきやデコボコした不揃いな歯並び、歯に汚れがつきやすく磨きにくいことを主訴に来院されました。10年以上ぶりの歯科受診で、歯ぐきからの出血(歯肉炎:歯肉病の初期症状)が多く見られたため、インビザライン治療に入る前にブラッシング指導(TBI)や歯周病治療を行い、口腔内環境を整えてから矯正治療を開始しました。 治療開始前には左上の歯の虫歯治療を行い、その後インビザライン治療をスタートしました。抜歯は行わず、非抜歯矯正で歯列を整える方針とし、歯の移動に必要なスペースを確保するために IPR を行いながら治療を進めました。インビザライン治療と並行して歯周病治療も継続し、歯列の改善と口腔内の健康維持の両方を図りました。 |
| 治療期間/通院回数 | 19ヶ月 |
| 費用 | インビザライン:716,000円(税抜)/787,600円(税込) 検査料:11,000円(税込) 再診料:5,500円 × 5回 = 27,500円 再診料:3,300円 × 4回 = 13,200円 総額:839,300円(税込) |
- リスク・副作用
-
- アライナー装着によりプラークが停滞しやすく、虫歯や歯肉炎のリスクが高まることがあります。 歯ぐきの炎症がある状態では治療の進行に影響が出ることがあるため、初期治療やクリーニングが重要になります。 IPRを行った部位では一時的に知覚過敏が生じることがあります。 アライナー装着初期には圧迫感や軽度の痛みを感じることがありますが、多くは数日で軽減します。 装着時間が不足すると歯の移動が計画通りに進まず、治療期間が延びる可能性があります。

