患者様は、上顎前歯の突出や歯列の叢生(ガタつき)、笑った際に歯ぐきが見えすぎること(ガミースマイル)を主訴に来院されまし …続きを見る
患者様は前歯の突出を気にされて来院されました。マウスピース型矯正(インビザライン)での治療を希望され、診査の結果、非抜歯 …続きを見る
患者様は、上下前歯の前突感(上顎前突)いわゆる口ゴボ、と歯の隙間(空隙歯列)を主訴に来院されました。 目立ちにくい装置で …続きを見る
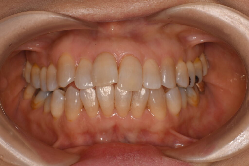
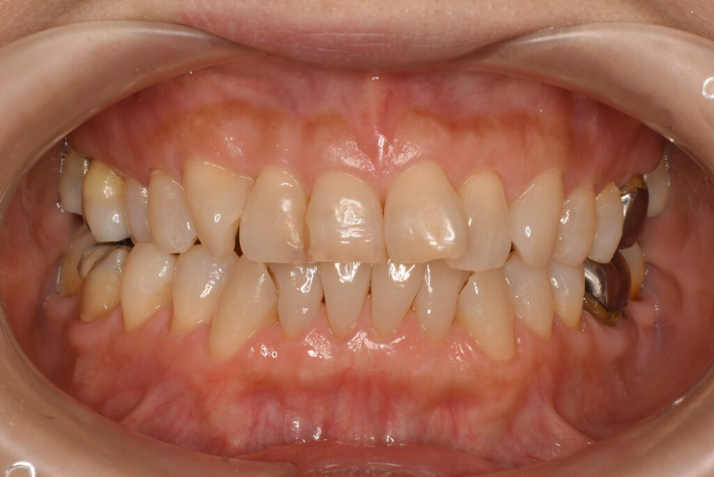
患者様は、歯のガタつき(叢生)、上の前歯の突出(上顎前突)、不揃いな歯並びを気にされて来院されました。また、歯に汚れがつ …続きを見る
患者様は、上の前歯の突出(上顎前突)と不揃いな歯並び(叢生)を気にされて来院されました。また、歯に汚れがつきやすく磨きに …続きを見る
患者様は、歯のガタつき(叢生)や不揃いな歯並びを気にされて来院されました。 また、食べ物が歯の間によく詰まることも不快感 …続きを見る