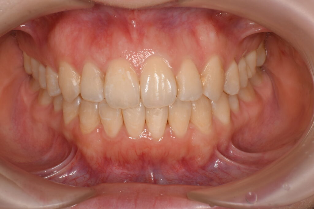
インビザライン_20代女性
-

- BEFORE

- AFTER
-

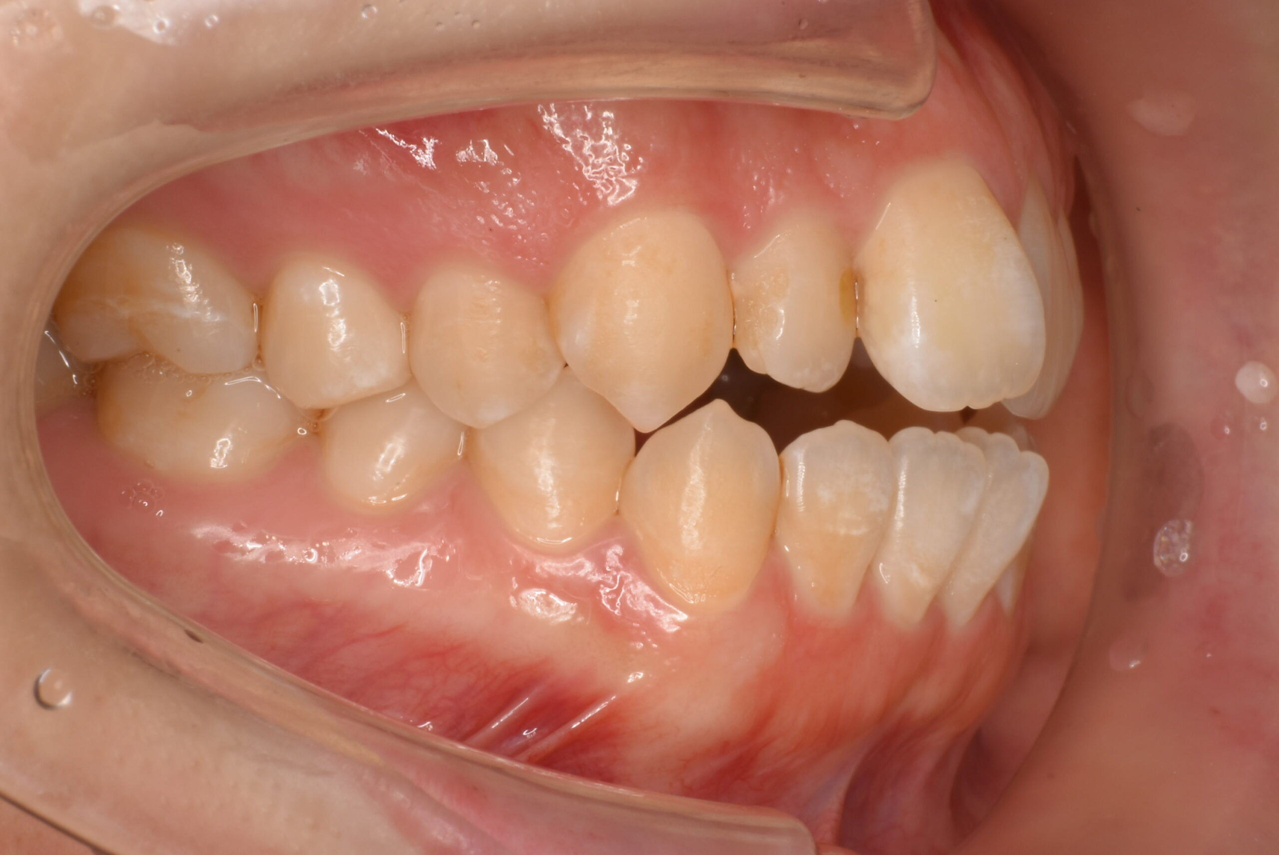
治療前_右側方
-

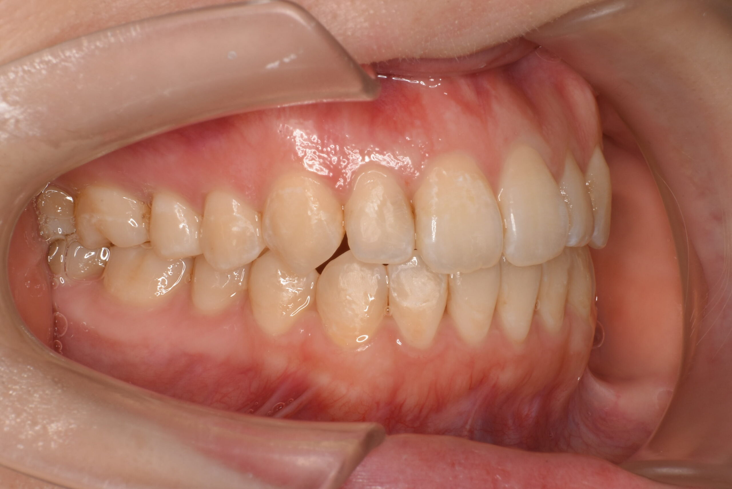
治療後_右側方
| 年齢 | 20代女性 |
|---|---|
| 治療内容 | 患者様は、上の前歯の突出(上顎前突)と不揃いな歯並び(叢生)を気にされて来院されました。また、歯に汚れがつきやすく磨きにくいこともお悩みでした。抜歯はできるだけ避けたいとのご希望があり、目立ちにくい装置を希望されたため、マウスピース型矯正(インビザライン)を選択しました。歯列全体を整えるにあたり、必要に応じてIPR(歯と歯の間をわずかに削る処置)を行い、スペースを確保して叢生の改善と口元のバランス回復を図りました。 |
| 治療期間/通院回数 | 19ヶ月 |
| 費用 | 税抜698,000円税込み767,800円 検査料11,000円 再診料税込み5,500円×10=55,000円 3,300円×2=6,600円
総額840,400円 |
- リスク・副作用
-
- 矯正中は虫歯や歯肉炎のリスクが高まります。 患者様はもともと虫歯リスクが高く、インビザライン治療中に二次虫歯が発生しました。そのため、矯正終了後に虫歯治療を行いました。 矯正中は口腔衛生管理を徹底し、定期的なチェックが必要です。

