インビザライン_20代男性
-

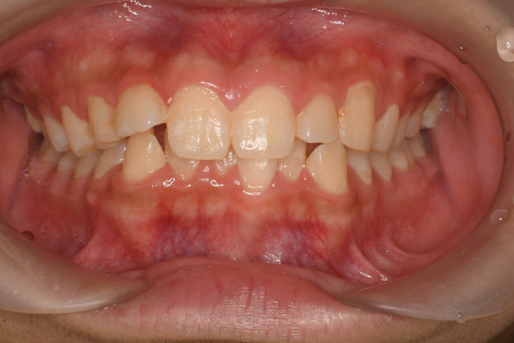
- BEFORE

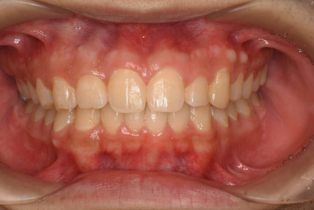
- AFTER
-

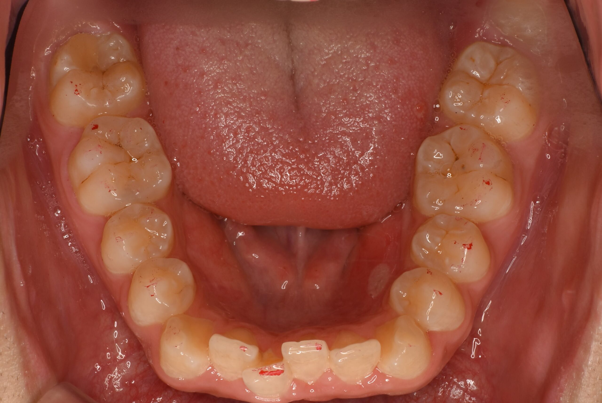
治療前_下顎咬合面
-

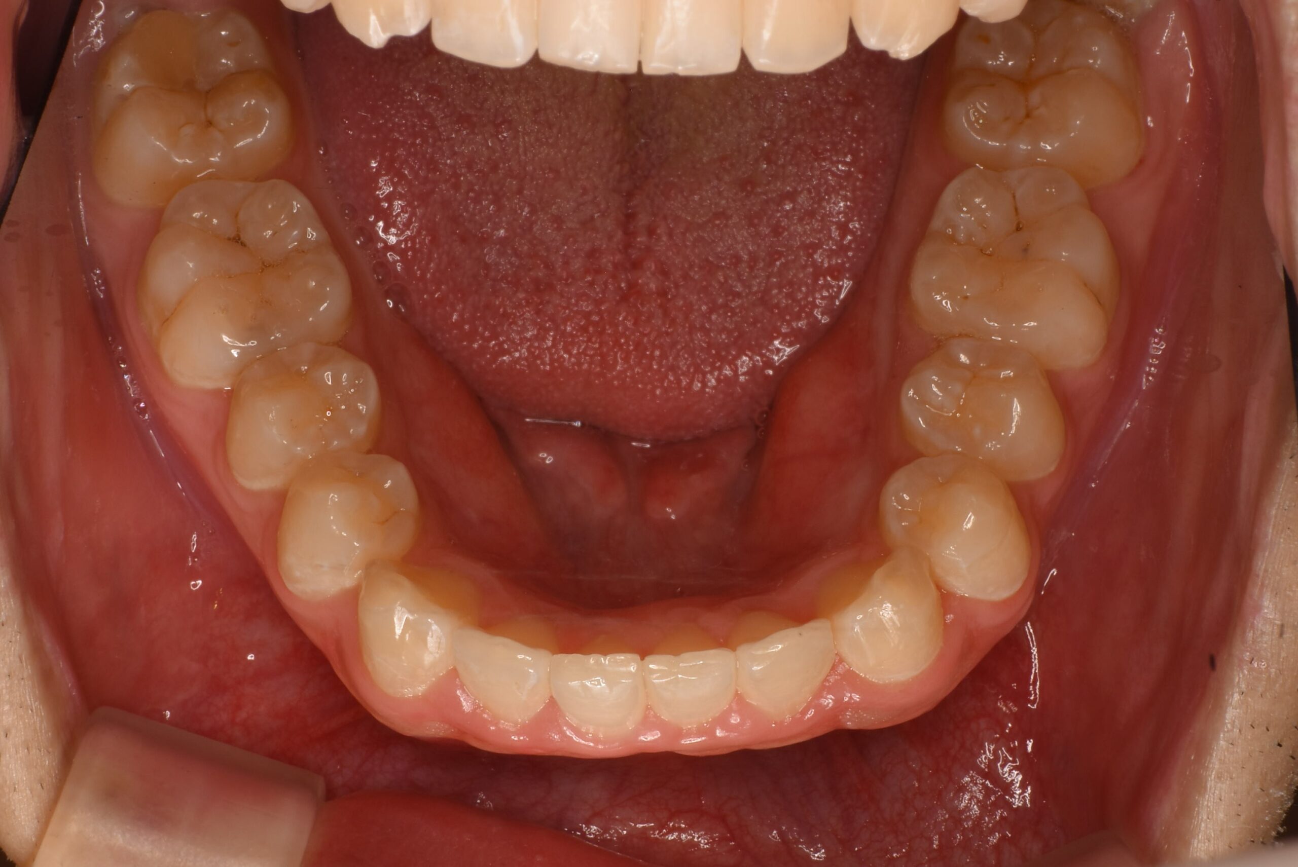
治療後_下顎咬合面
| 年齢 | 20代男性 |
|---|---|
| 治療内容 | 患者様は、歯のガタつき(叢生)、上の前歯の突出(上顎前突)、不揃いな歯並びを気にされて来院されました。また、歯に汚れがつきやすく磨きにくいこともお悩みでした。留学前に矯正治療を終えたいとのご希望があり、最適な治療方法を希望されたため、マウスピース型矯正(インビザライン)を選択しました。歯列全体を整える過程で、IPR(歯と歯の間をわずかに削る処置)を行い、スペースを確保して歯並びの改善を図りました。 |
| 治療期間/通院回数 | 12ヶ月 |
| 費用 | 税抜698,000円税込み767,800円 検査料11,000円 再診料税込み5,500円×5=27,500円 3,300円×4=13,200円
総額819,500円 |
- リスク・副作用
-
- 矯正中はプラークコントロール(PC)が不良になりやすく、虫歯や歯肉炎のリスクが高まります。 治療期間中はTBI(歯磨き指導)を適宜行い、口腔衛生管理を徹底しました。 アライナー装着時間が不足すると治療期間の延長や仕上がりに影響が出る可能性があります。

