インビザライン_40代女性
-

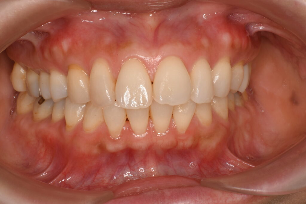
- BEFORE

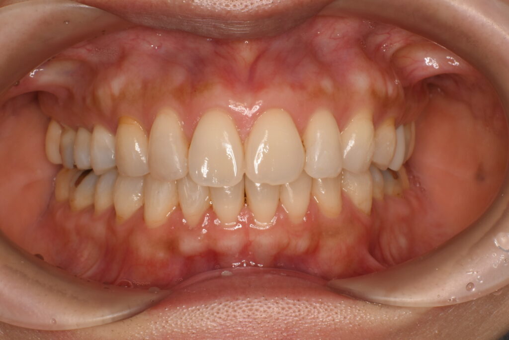
- AFTER
-

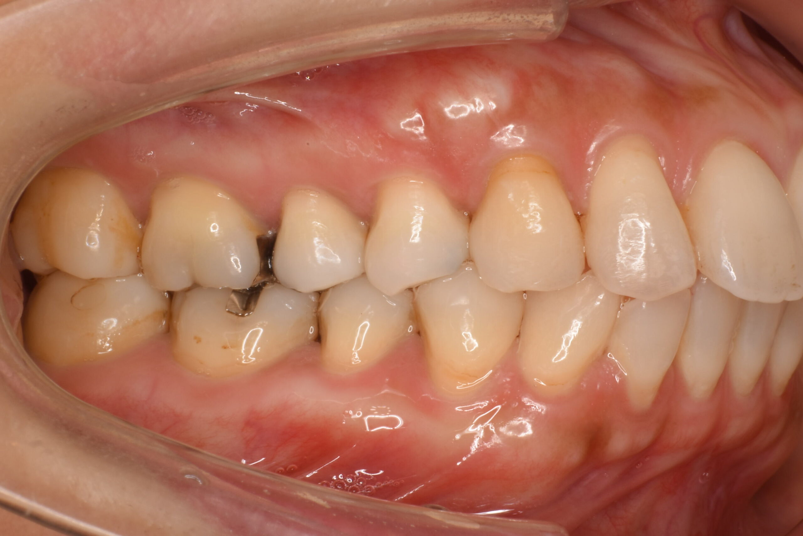
治療前_右側方
-

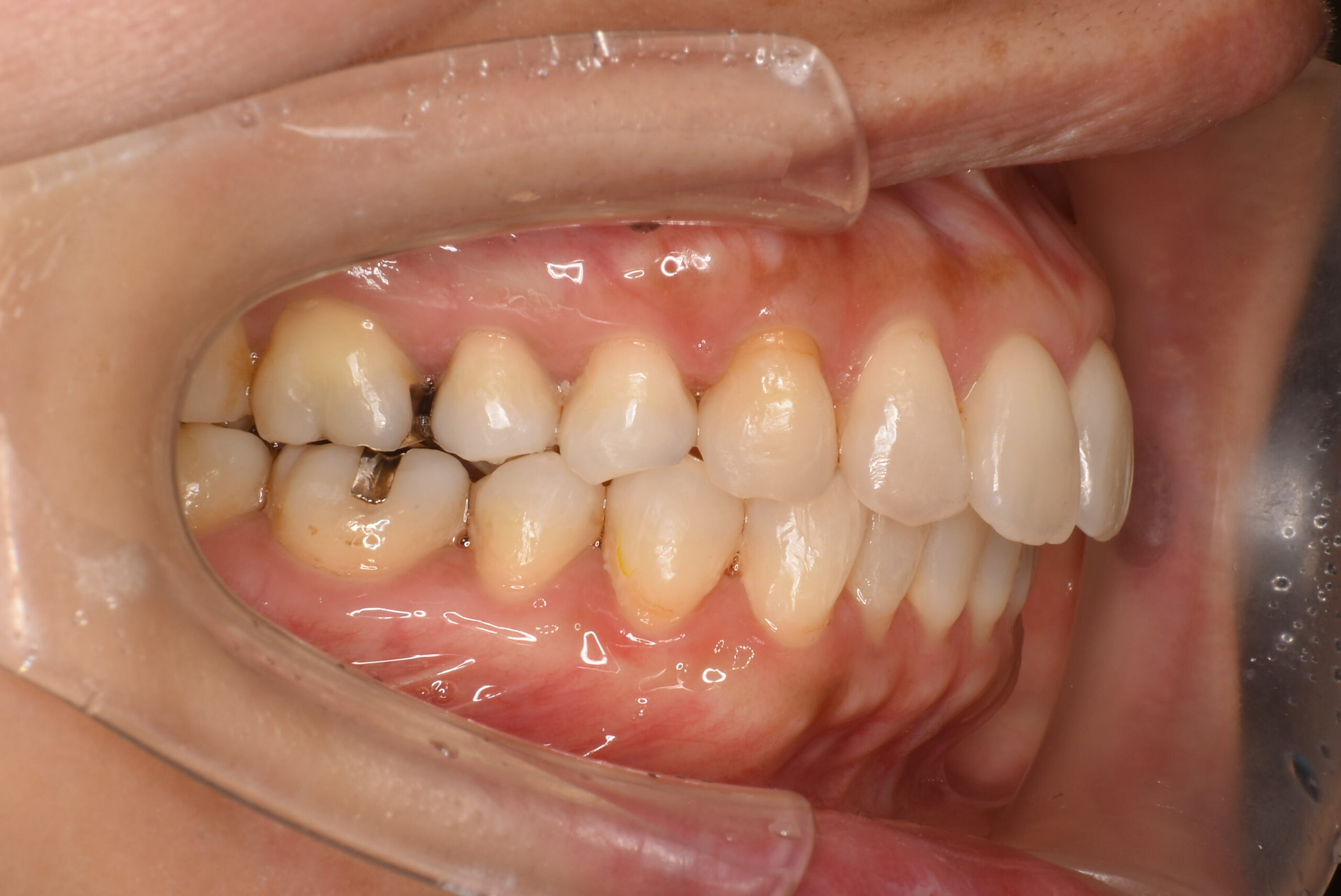
治療後_右側方
| 年齢 | 40代女性 |
|---|---|
| 治療内容 | 患者様は、上下前歯の前突感(上顎前突)いわゆる口ゴボ、と歯の隙間(空隙歯列)を主訴に来院されました。 目立ちにくい装置での治療を希望され、マウスピース型矯正(インビザライン)を選択されました。 非抜歯で治療を行い、歯と歯の間をわずかに削ってスペースを調整する(IPR)を適宜実施しました。 歯列全体のバランスを整えながら、前歯の突出感と隙間を改善しました。 |
| 治療期間/通院回数 | 12ヶ月 |
| 費用 | 税抜698,000円税込み767,800円 検査料11,000円 再診料税込み5,500円×5=27,500円 3,300円×3=9,900円
総額816,200円 |
- リスク・副作用
-
- ・矯正中はプラークコントロール(PC)が不良になりやすく、虫歯や歯肉炎のリスクが高まります。 ・歯周組織や骨吸収の状態により、歯の動きや歯茎の下がり、見た目に影響する可能性があります。 ・アライナー装着時間が不足すると、治療期間の延長や仕上がりに影響が出る可能性があります。 ・IPR(歯と歯の間をわずかに削ってスペースを調整する)により、一時的な知覚過敏を生じる場合があります。

