インビザライン_10代女性
-

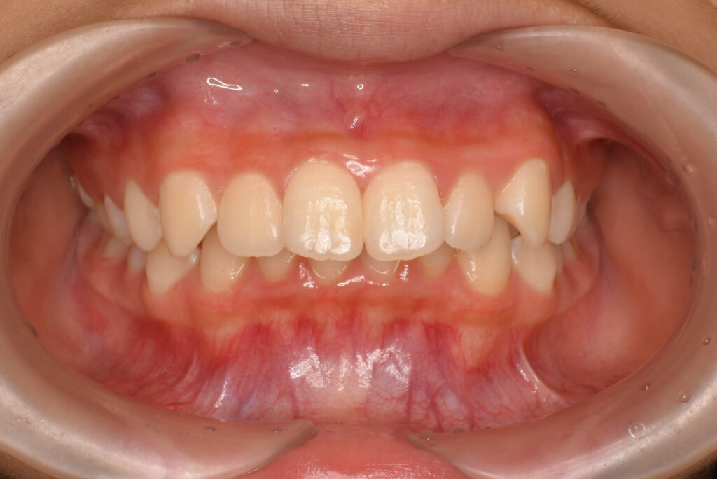
- BEFORE

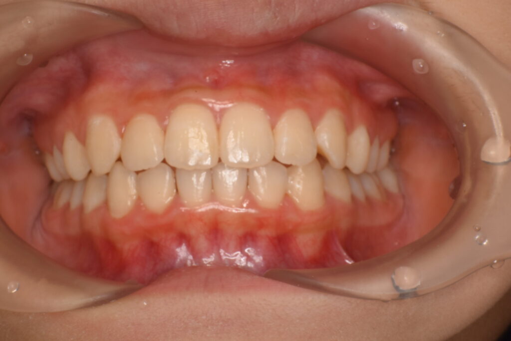
- AFTER
-

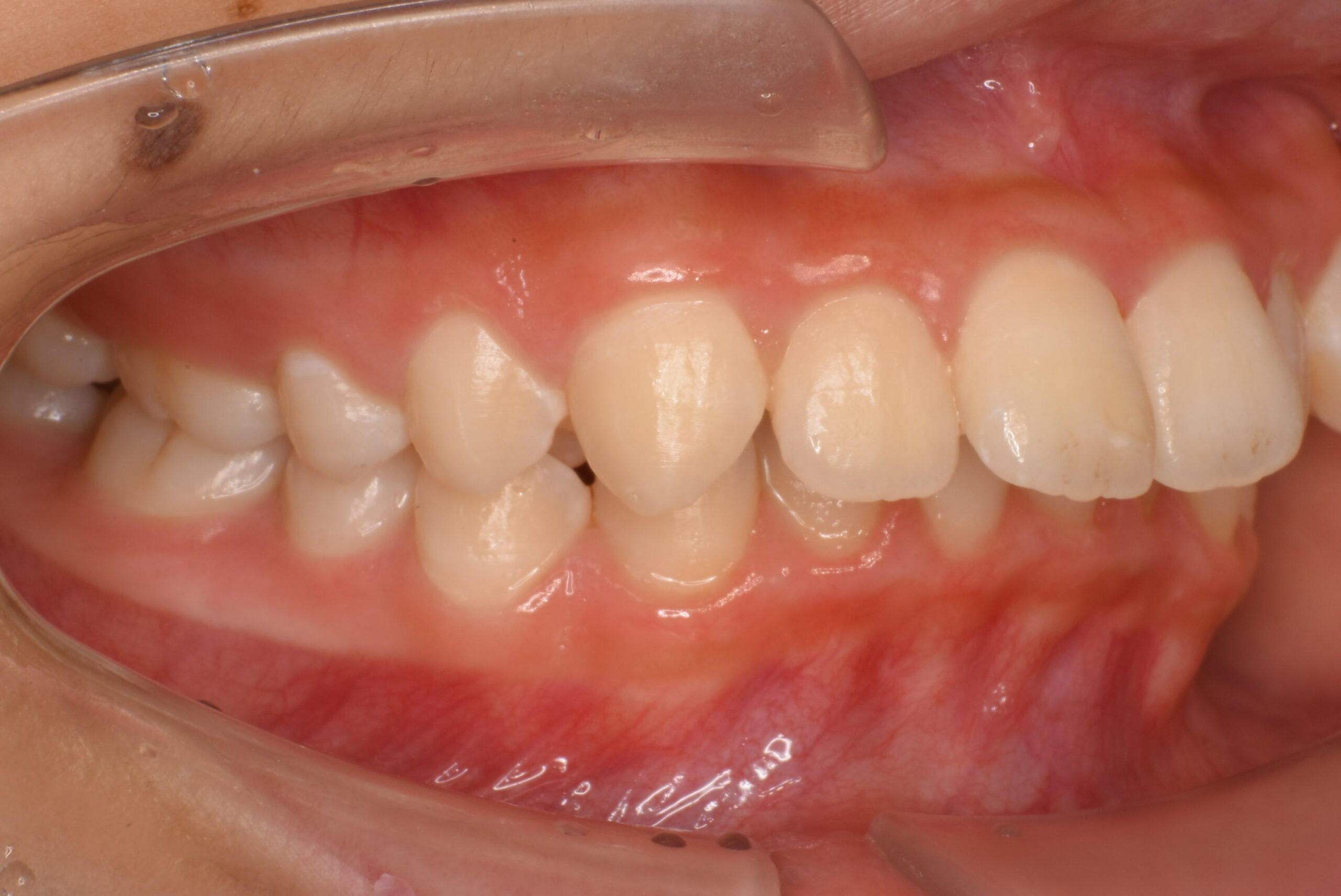
治療前_右側方
-

治療後_右側方
| 年齢 | 10代女性 |
|---|---|
| 治療内容 | 患者様は前歯の突出を気にされて来院されました。マウスピース型矯正(インビザライン)での治療を希望され、診査の結果、非抜歯での矯正治療を計画しました。 初診時はCO(初期むし歯)が多く、C(虫歯)リスクが高めで、プラークコントロール(PC)も良好ではなかったため、まずブラッシング指導から開始しました。 その後、インビザラインによる矯正治療を実施し、IPR(歯と歯の間をわずかに削る処置)を行いながら歯列の整直を図りました。 |
| 治療期間/通院回数 | 9ヶ月
|
| 費用 | 税抜698,000円税込み767,800円 検査料11,000円 再診料税込み5,500円×5=27,500円 3,300円×4=13,200円
総額819,500円 |
- リスク・副作用
-
- ・清掃不良による虫歯・歯肉炎の発生リスク ・アライナーの装着時間不足による歯の移動不良 ・歯の移動に伴う一時的な歯の痛みや動揺 ・矯正後の後戻りの可能性(保定管理が重要)

