インビザライン_40代女性
-

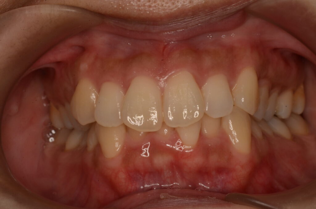
- BEFORE

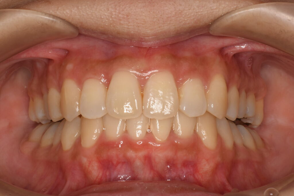
- AFTER
-

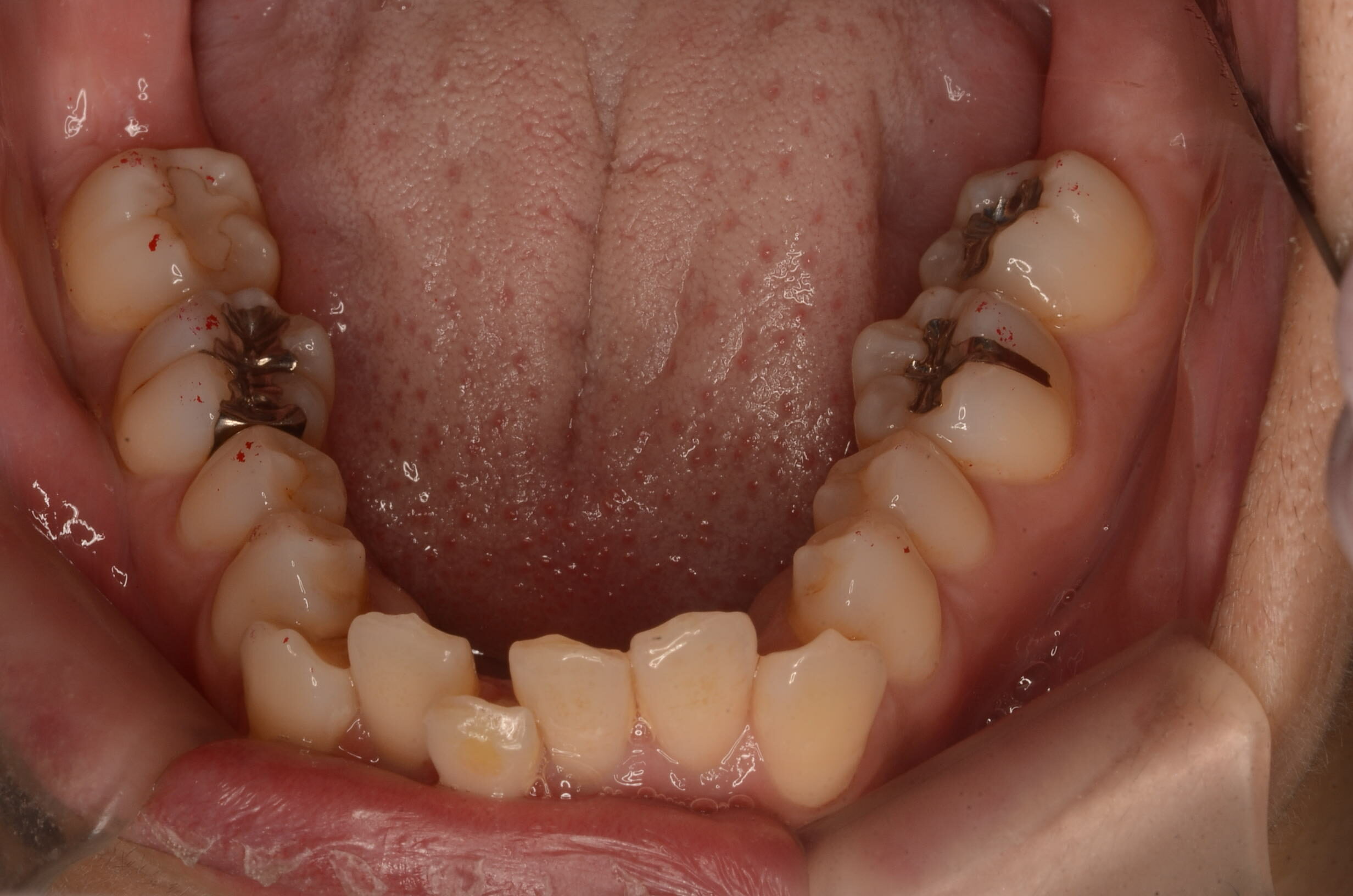
治療前_下顎咬合面
-

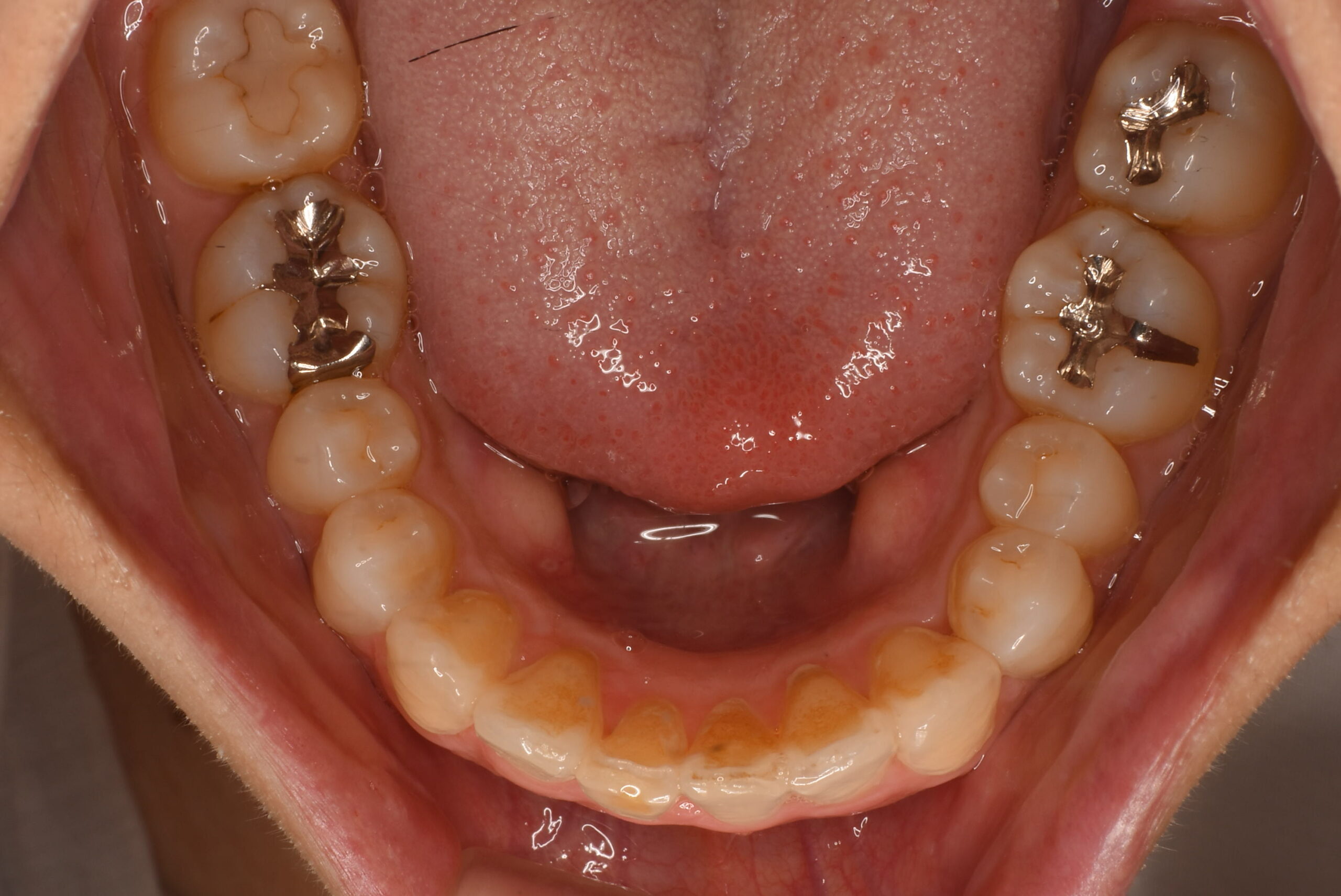
治療後_下顎咬合面
| 年齢 | 40代女性 |
|---|---|
| 治療内容 | 患者様は、上顎前歯の突出や歯列の叢生(ガタつき)、笑った際に歯ぐきが見えすぎること(ガミースマイル)を主訴に来院されました。 診査の結果、抜歯を行うと歯軸の傾斜や歯列の陥没が懸念されたため、非抜歯でのインビザライン治療を計画しました。 |
| 治療期間/通院回数 | 21ヶ月 |
| 費用 | 税抜698,000円税込み767,800円 検査料11,000円 再診料税込み5,500円×9=49,500円 3,300円×3=9,900円
総額839,200円 |
- リスク・副作用
-
- ・矯正治療中はプラークコントロール(PC)が不良になりやすく、う蝕(虫歯)や歯肉炎のリスクが高まります。 ・治療期間中はTBI(歯磨き指導)を適宜実施し、口腔衛生状態の改善を図りました。 ・アライナーの装着時間が不足すると、歯の移動精度や治療期間に影響を及ぼす可能性があります。 ・IPR処置部位では一時的に知覚過敏を生じることがあります。

