-

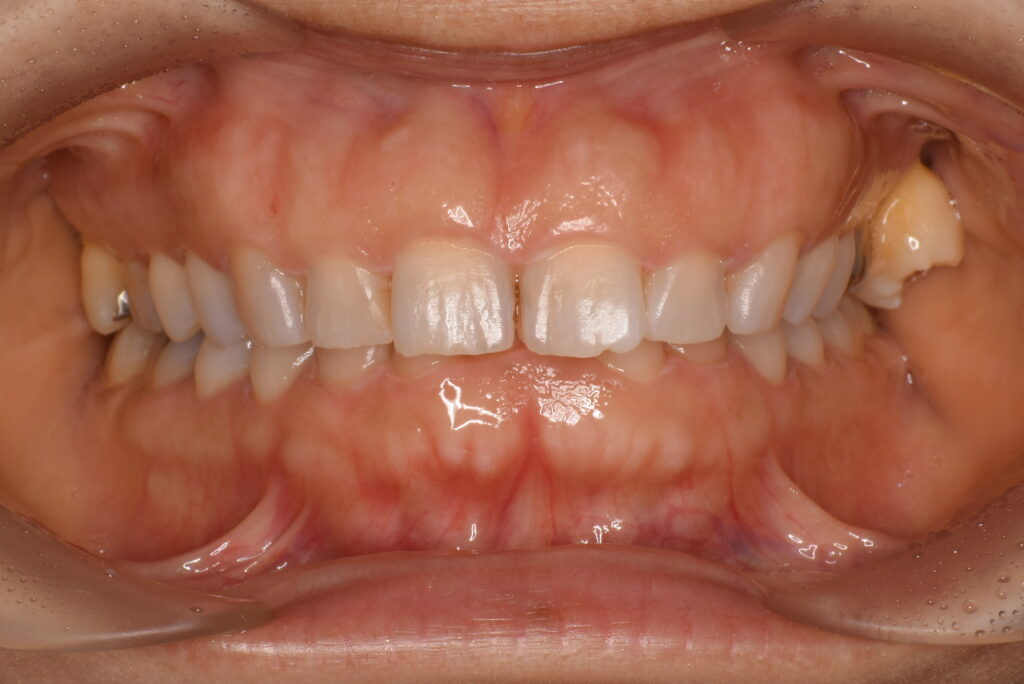
- BEFORE

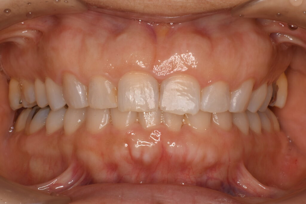
- AFTER
-

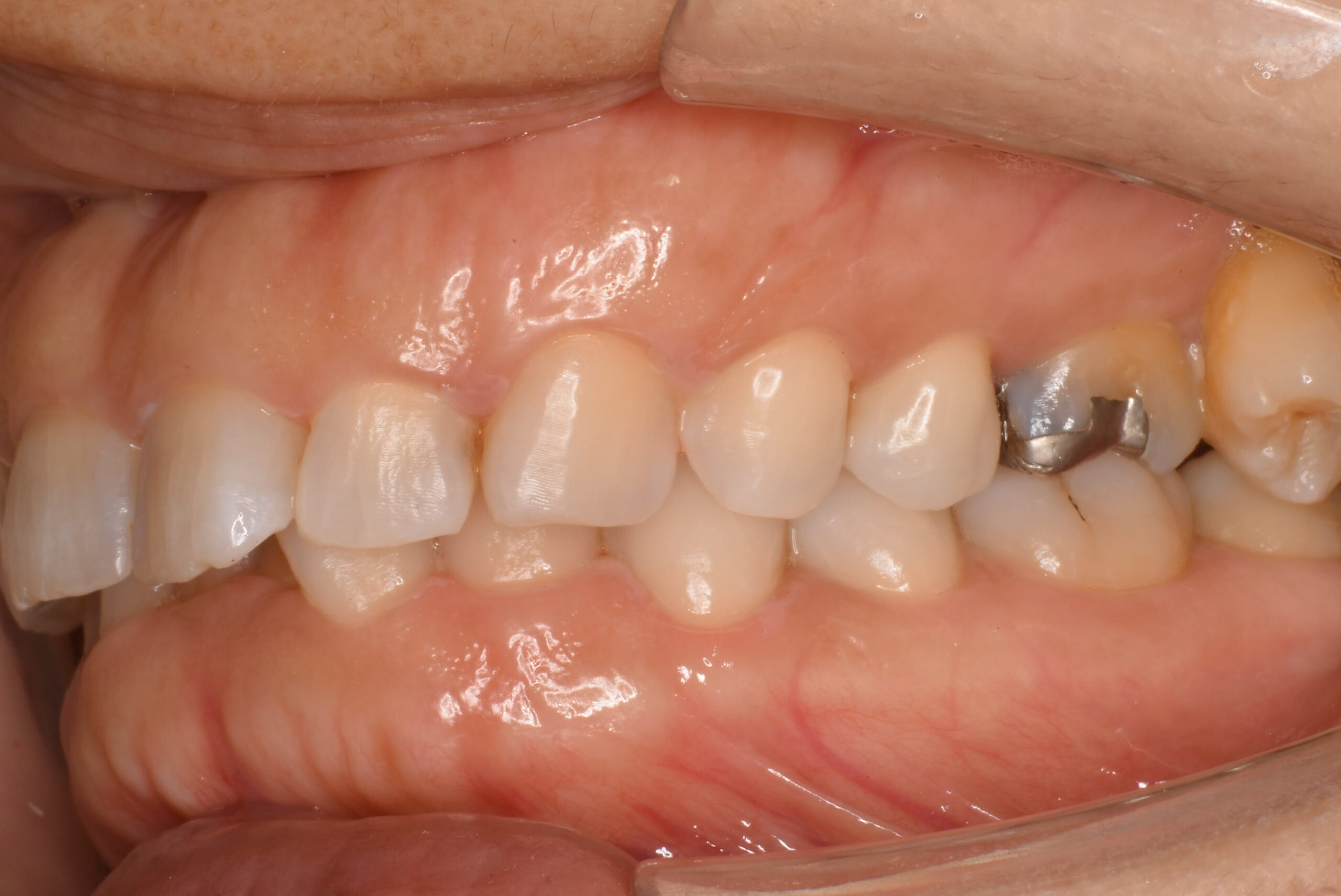
治療前_左側方
-

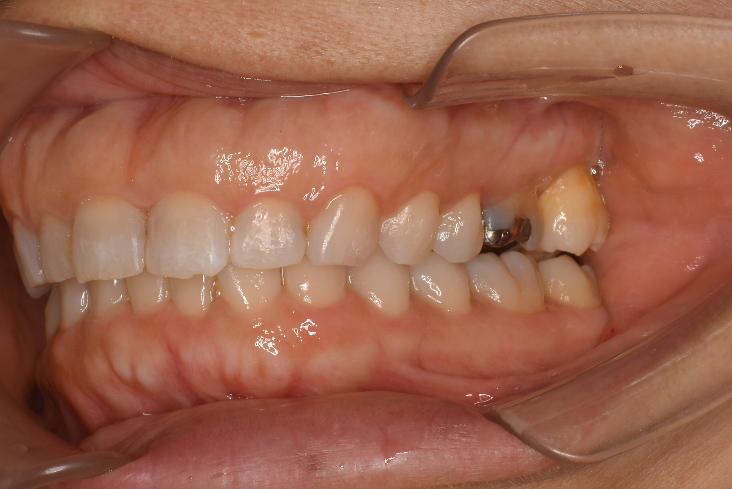
治療後_左側方
| 年齢 | 50代女性 |
|---|---|
| 治療内容 | 患者様は、上下前歯の叢生(歯のガタつき)や歯間空隙(歯と歯のすき間)を主訴に来院されました。 治療開始前に左上の親知らず(8番)を抜歯し、後方への移動スペースが確保されたため、その他の部位は非抜歯で治療を行いました。 |
| 治療期間/通院回数 | 21ヶ月 |
| 費用 | 税抜698,000円 税込767,800円 別途検査料11,000円 再診料税込み5,500円×8=44,000円 税込み3,300円×4=13,200円
総額836,000円 |
- リスク・副作用
-
- ・矯正中はプラークコントロール(PC)が不良になりやすく、う蝕(虫歯)や歯肉炎のリスクが高まります。 ・既存のCR(レジン充填部)やCO(初期むし歯)があるため、経過中に虫歯の進行や脱離の可能性があります。 ・アライナーの装着時間が不足すると、治療結果や期間に影響を及ぼすことがあります。 ・歯の移動に伴い、一時的に歯の痛みや動揺が生じることがあります

