-

- BEFORE

- AFTER
-

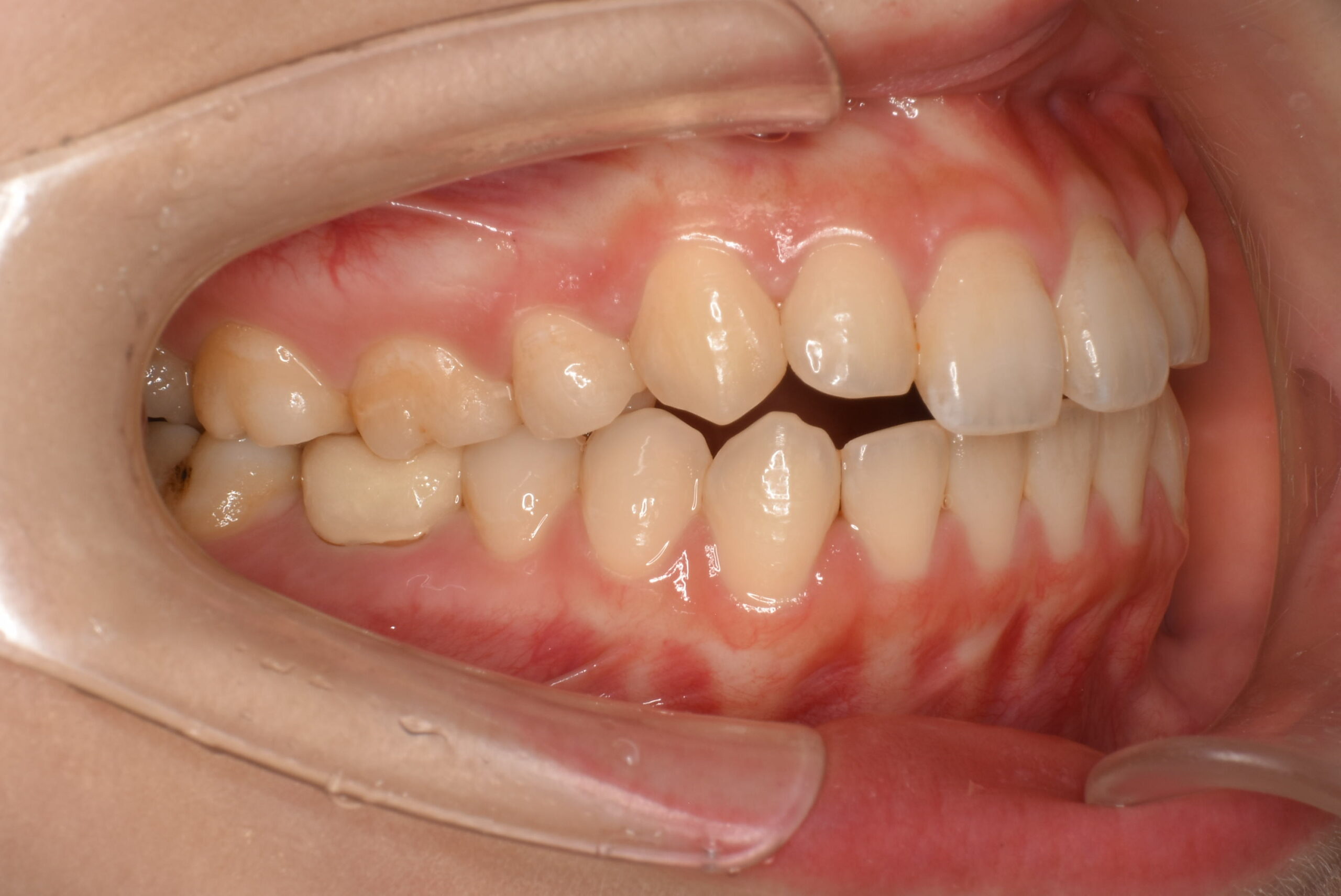
右側面_治療前
-

右側面_治療後
| 年齢 | 20代女性 |
|
|---|---|---|
| 治療内容 | 患者様は前歯か噛めない・上の歯の高さ・前歯の大きさを気にされておりました。インビザライン矯正により、歯と歯の間に隙間を24箇所入れ、前歯を後ろに下げ、スペースを確保しきれいに並ぶようにしました。マウスピースの浮きがあった為、歯としっかりフィットさせる補助具を使用しました。 |
|
| 治療期間/通院回数 | 8ヶ月 |
|
| 費用 |
|
- リスク・副作用
-
- 矯正治療には、不快感や痛みを伴うことがあります。 患者さんの協力が大切であり、それによって歯の動き方も変わってきます。虫歯のリスクは日頃の患者さん自身の、歯磨きや定期的な歯医者でのおそうじが重要です。歯と歯の間に隙間を入れた直後は、食べ物が挟まりやすくなりますが、最終的には隙間はなくなっていきます。矯正によって歯を動かすことによって、歯茎がやせて下がることがあります。

