-

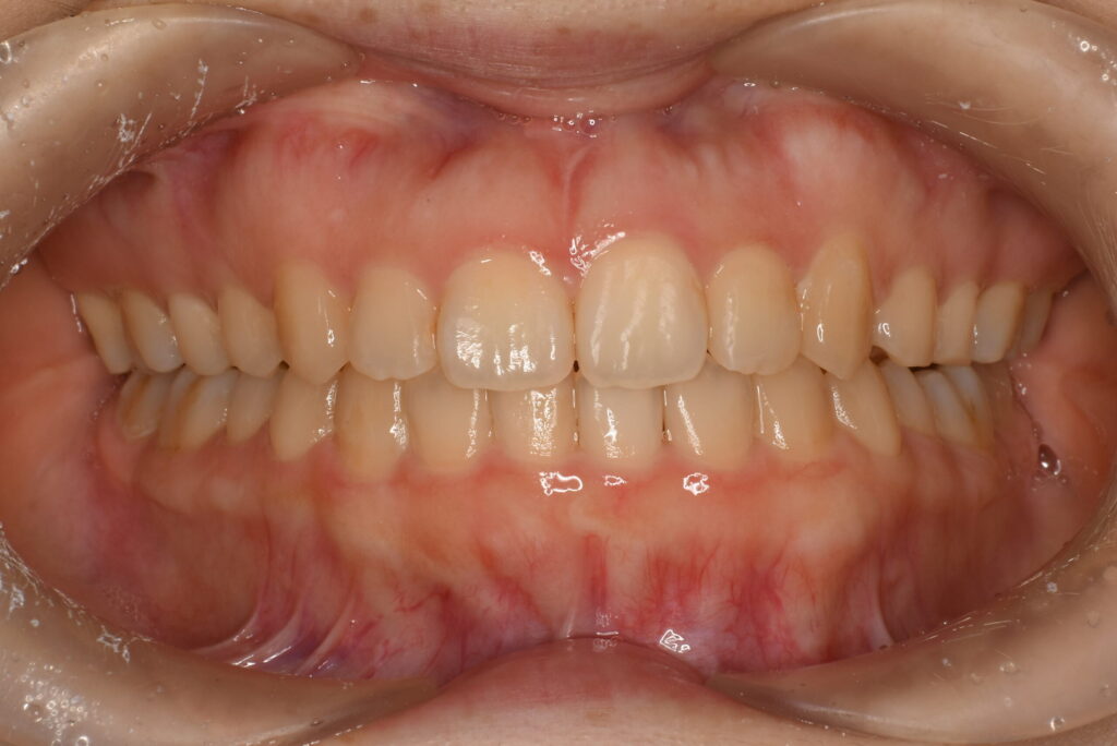
- BEFORE

- AFTER
-

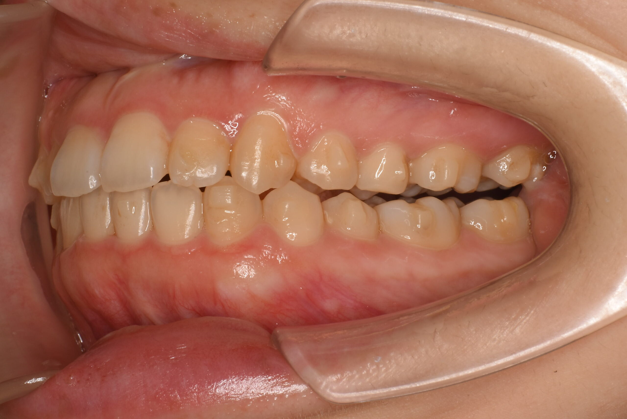
治療前_左側側方
-

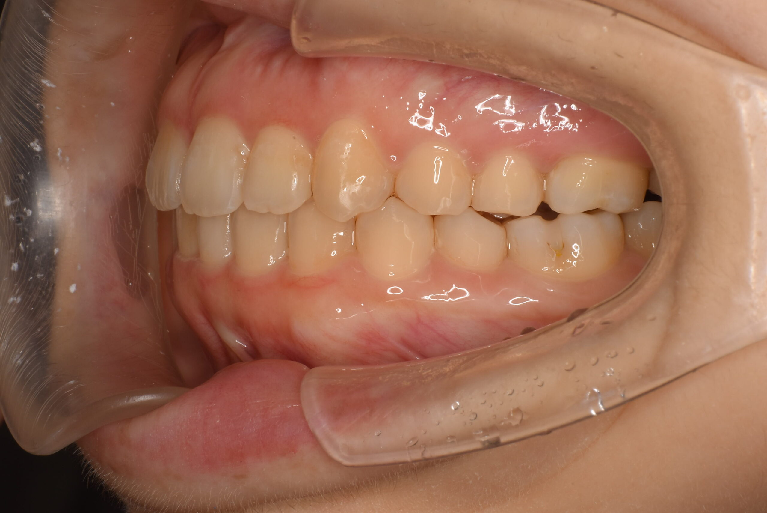
治療後_左側側方
| 年齢 | 30代女性 |
|---|---|
| 治療内容 | 患者様は、全体的な歯並びとかみ合わせが気になるとのことで来院されました。特に、顎関節症状(開口時にカクッと音がする)や横顔の印象の改善を希望されていました。 |
| 治療期間/通院回数 | 30ヵ月 |
| 費用 | 税抜780,000円 税込858,000円 |
- リスク・副作用
-
- 矯正中は一時的に顎関節の症状が変化する場合があります。顎に違和感が出ることもありますが、多くは経過観察で軽快します。 マウスピースを1日20時間以上装着できないと、治療計画通りに進まず治療期間が延びる可能性があります。 歯の移動に伴って一時的に歯が揺れる感覚(動揺)が出る場合がありますが、多くは一過性です。 清掃不良によって虫歯や歯肉炎のリスクがあるため、矯正中は特に日々のセルフケアと定期的な歯科管理が重要です。

