-

- BEFORE

- AFTER
-

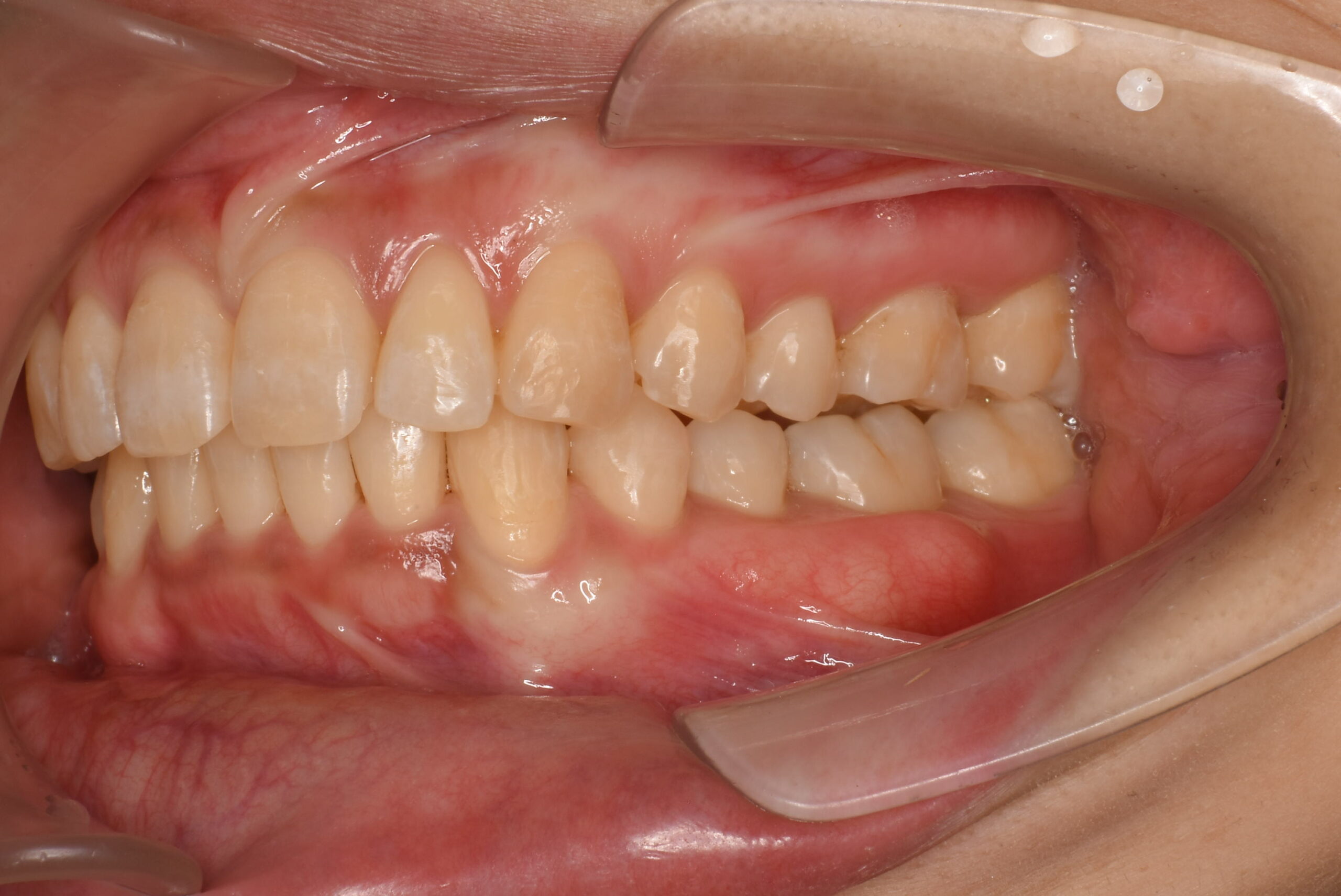
治療前_左側方
-

治療後_左側方
| 年齢 | 30代女性 |
|---|---|
| 治療内容 | 患者様は、上下顎前歯部の叢生(歯のガタつき)や歯間空隙(すきっ歯)、前歯の唇側傾斜(前突/出っ歯)を主訴に来院されました。 診査の結果、抜歯を行わずに歯列全体の配列改善が可能と判断し、マウスピース型矯正装置(インビザライン)による非抜歯矯正を計画しました。 初診時には歯周病の初期症状である、歯肉の炎症および出血傾向が認められたため、矯正治療と並行して歯周治療(プラークコントロール・スケーリング)を実施し、口腔衛生環境の改善にも取り組みました。 |
| 治療期間/通院回数 | 19ヶ月 |
| 費用 | 税抜698,000円 税込767,800円 別途検査料11,000円 再診料税込み5,500円×5=27,500円 税込み3,300円×4=13,200円
総額819,500円 |
- リスク・副作用
-
- ・矯正治療中はプラークコントロール(PC)が不良になりやすく、歯肉炎や歯周病の悪化リスクが高まります。 ・歯周組織の状態によっては、歯の移動速度や治療計画に影響が生じる場合があります。 ・アライナーの装着時間が不足すると、歯の移動精度や治療期間に遅れが生じる可能性があります。 ・IPR処置部位では一時的な知覚過敏を生じることがあります。

