-

- BEFORE

- AFTER
-

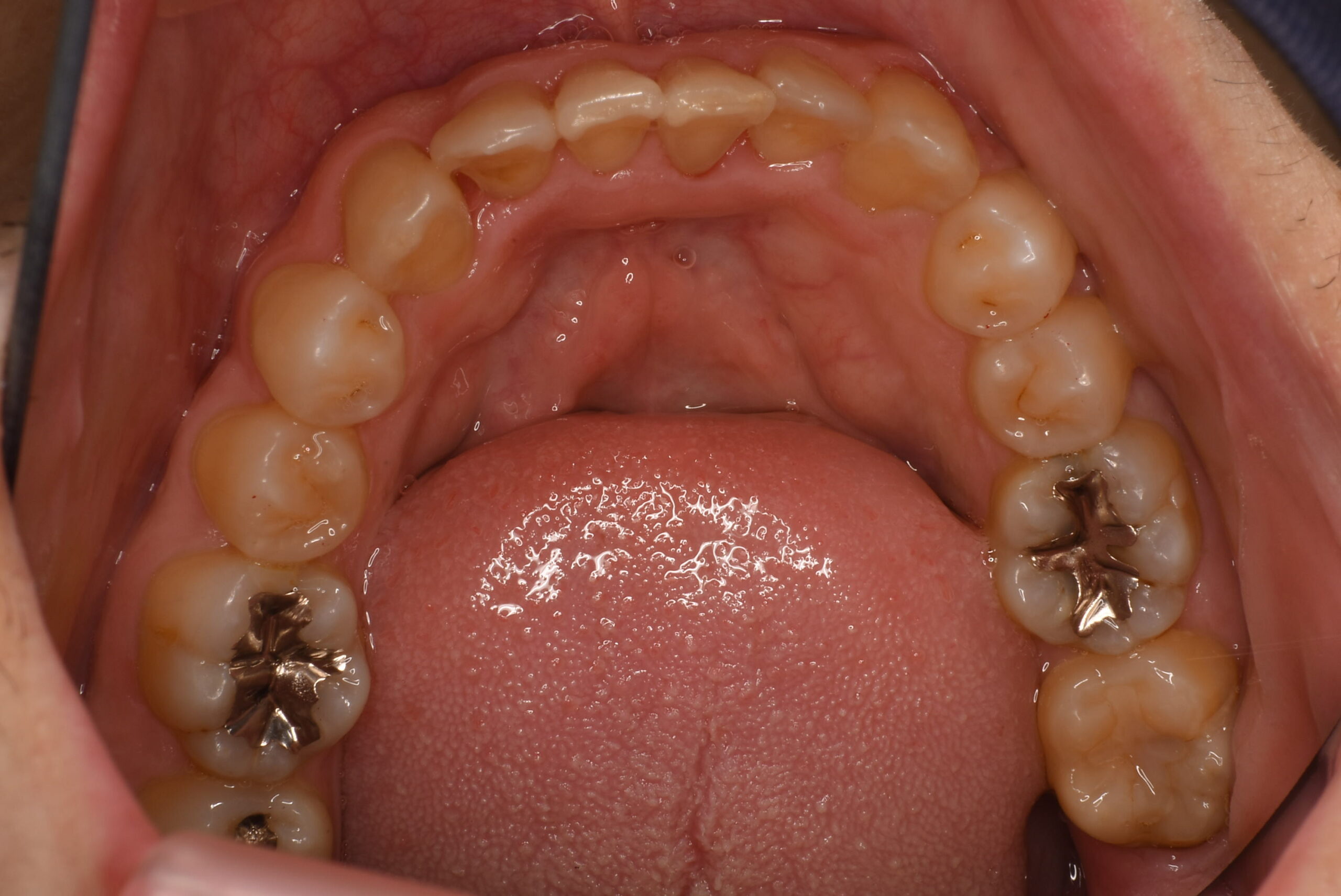
治療前_下顎咬合面
-

治療後_下顎咬合面
| 年齢 | 30代男性 |
|
|---|---|---|
| 治療内容 | 患者様は、10代の頃から歯並びが気になっていたとのことで来院されました。 特に、下顎前歯のガタつき(叢生)と、左上2番の舌側への傾きを自覚されており、マウスピース矯正(インビザライン)に興味があるとのことでした。 診査の結果、目立ちにくいマウスピース型矯正装置「インビザライン」による治療を選択しました。 下顎前歯の叢生を整えるとともに、左上2番の傾きを調整し、歯列全体の咬合バランスと口元の印象も考慮して歯を移動しました。 必要に応じて、歯と歯の間をわずかに削合してスペースを確保しました。 |
|
| 治療期間/通院回数 |
|
|
| 費用 | 税抜698,000円税込み767,800円 検査料11,000円 再診料税込み5,500円×6=33,000円 3,300円×1=3,300円
総額815,100円 |
- リスク・副作用
-
- 歯の移動に伴い、一時的に歯が揺れる感覚や知覚過敏が出る場合があります。 マウスピースの装着時間が不足すると治療計画通りに進まず、治療期間が延びる可能性があります。 清掃不良による虫歯や歯肉炎のリスクがあります。

