-

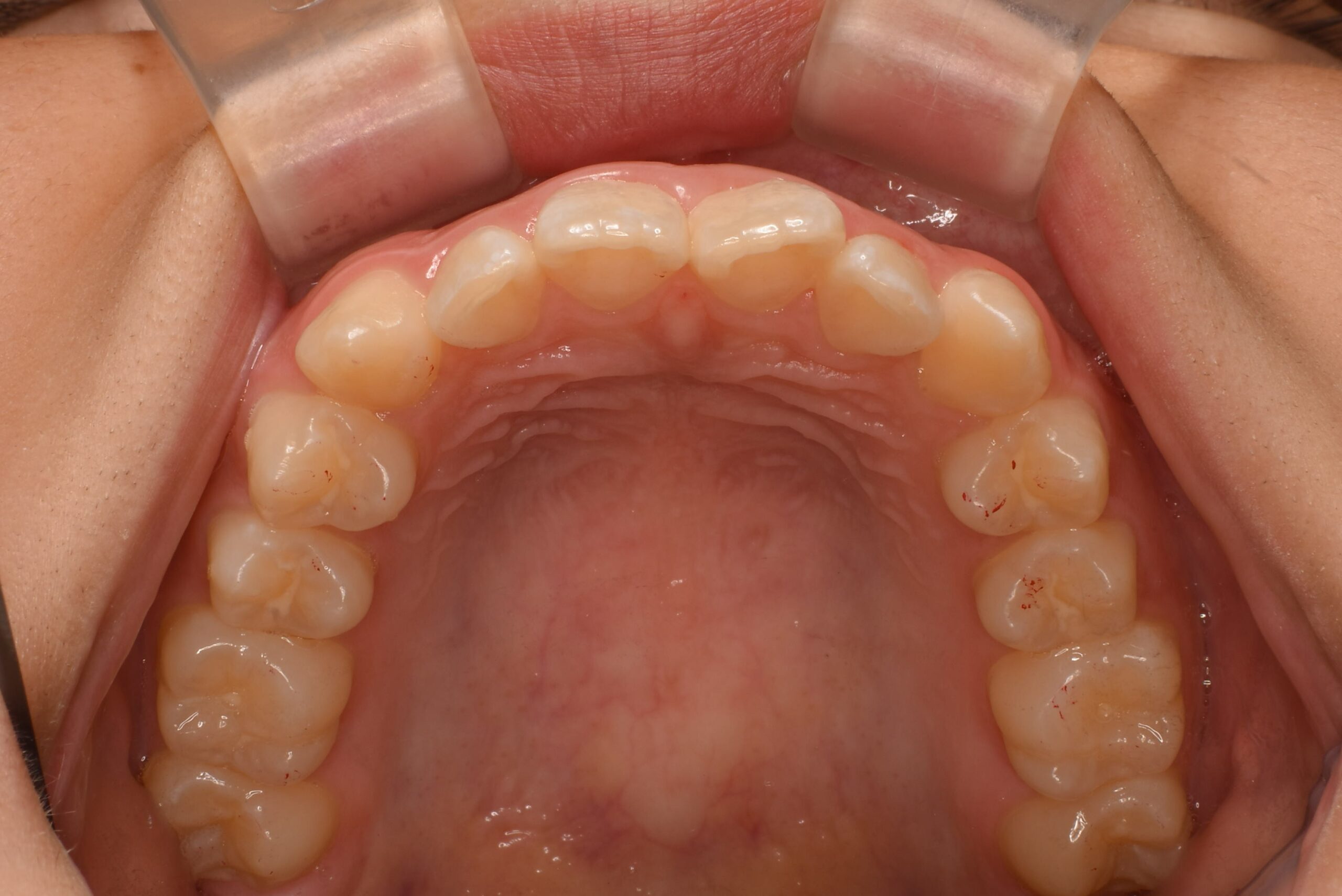
- BEFORE

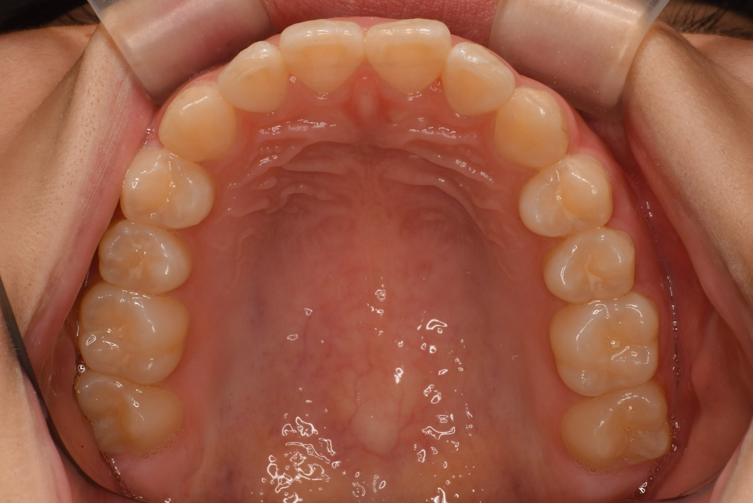
- AFTER
-

治療前_上顎咬合面
-

治療後_上顎咬合面
| 年齢 | 10代女性 |
|---|---|
| 治療内容 | 患者様は、歯のガタつき(叢生)や不揃いな歯並びを気にされて来院されました。 |
| 治療期間/通院回数 | 約11ヶ月間 |
| 費用 | 税抜698,000円税込み767,800円 検査料11,000円 再診料税込み5,500円×1=5,500円 3,300円×3=9,900円
総額794,200円 |
- リスク・副作用
-
- 矯正中に歯の間に食べ物が詰まりやすくなる場合があります。 歯の移動に伴い、一時的に歯が揺れる感覚や知覚過敏が出ることがあります。 装置の装着時間が不足すると、治療計画通りに進まず治療期間が延長する可能性があります。 歯列矯正中は清掃が不十分になりやすいため、虫歯(う蝕)や歯肉炎のリスクがあり、日常のブラッシングと定期的なチェックが重要です。

