-

- BEFORE

- AFTER
-

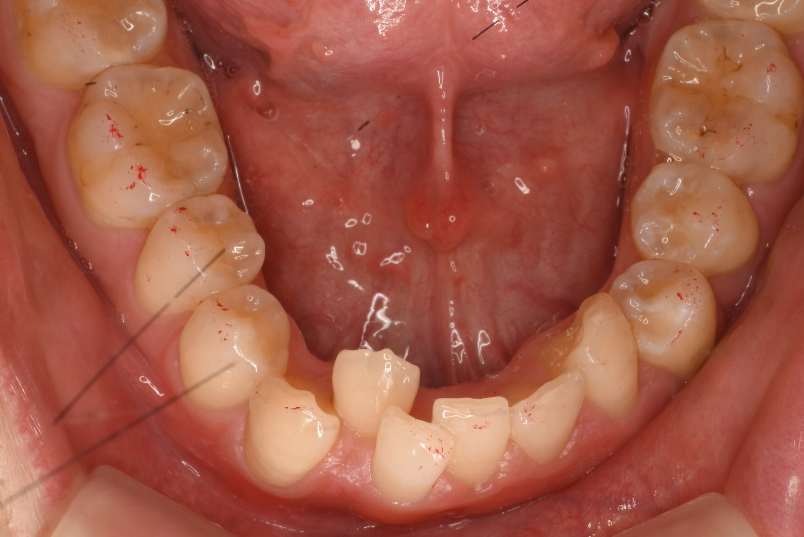
治療前_下顎咬合面
-

治療後_下顎咬合面
| 年齢 | 20代男性 |
|---|---|
| 治療内容 | 患者様は、歯列の叢生(ガタつき)を主訴に来院され、「人前で大きく笑えない」と審美面の改善も希望されていました。 診査の結果、非抜歯での歯列矯正を計画し、歯の移動をスムーズに行うためにIPR(歯と歯の間をわずかに削る処置)を実施しました。 |
| 治療期間/通院回数 | 19ヶ月 |
| 費用 | 税抜698,000円 税込767,800円 別途検査料11,000円 再診料税込み5,500円×6=33,000円 税込み3,300円×2=6,600円
総額818,400円 |
- リスク・副作用
-
- ・矯正中はプラークコントロール(PC)が不良になりやすく、虫歯・歯肉炎のリスクが高まります。 ・もともとCリスク(虫歯リスク)が高く、経過中も定期的な口腔衛生管理が必要でした。 ・アライナーの装着時間が不足すると、治療結果や期間に影響を及ぼす可能性があります。 ・歯の移動に伴い、一時的な知覚過敏や歯の動揺を生じる場合があります。

