-

- BEFORE

- AFTER
-

治療前_上顎咬合面
-

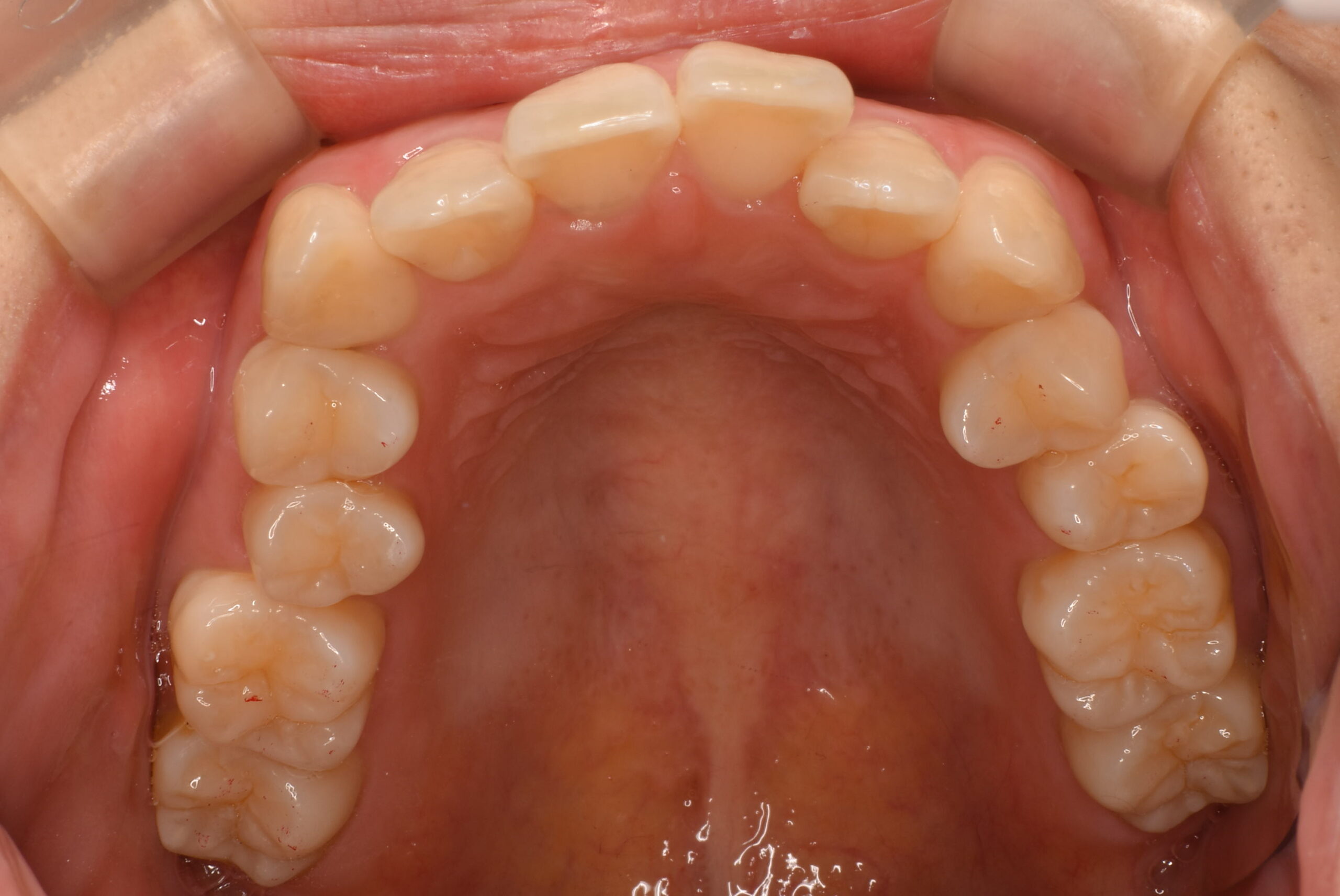
治療後_上顎咬合面
| 年齢 | 20代女性 |
|---|---|
| 治療内容 | 患者様は、上下前歯の叢生(歯のガタつき)や上顎前歯の前突(出っ歯)、不揃いな歯並びに加えて、歯に汚れが付着しやすく磨きにくい点を主訴に来院されました。 治療中、下顎前歯部の移動に伴い、歯肉の退縮を心配される時期がありましたが、経過とともに症状は落ち着き、最終的には気にならなくなりました。 |
| 治療期間/通院回数 | 23ヶ月 |
| 費用 | 税抜698,000円 税込767,800円 別途検査料11,000円 再診料税込み5,500円×10=55,000円 税込み3,300円×6=19,800円
総額853,600円 |
- リスク・副作用
-
- ・矯正治療中はプラークコントロール(PC)が不良になりやすく、う蝕(虫歯)や歯肉炎のリスクが高まります。 ・アライナー装着時間が不足すると、治療精度や期間に影響する可能性があります。 ・歯の移動過程で、一時的に歯肉退縮(歯ぐきが下がったように見える)が生じることがあります。 ・IPR実施部位では、一時的に知覚過敏が出ることがあります。 ・矯正治療後は後戻りの可能性があるため、リテーナーによる保定が重要です。

