-

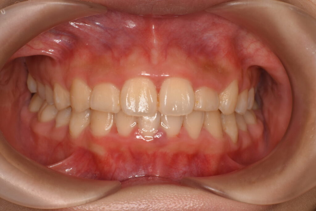
- BEFORE

- AFTER
-

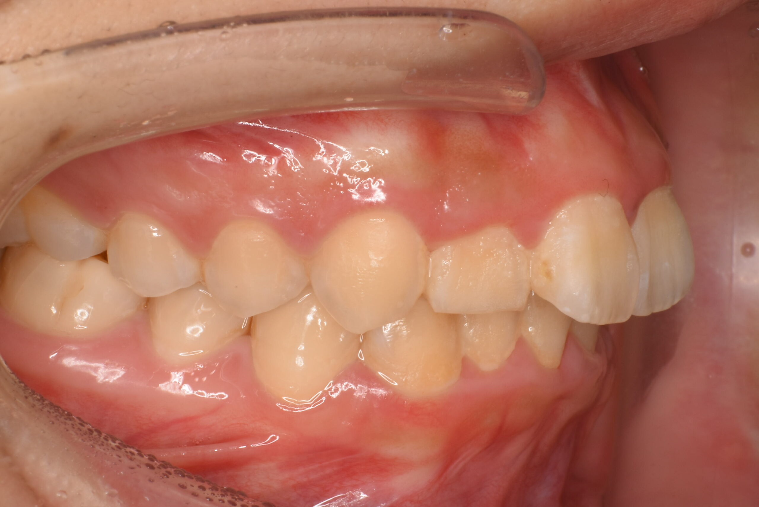
治療前_右側方
-

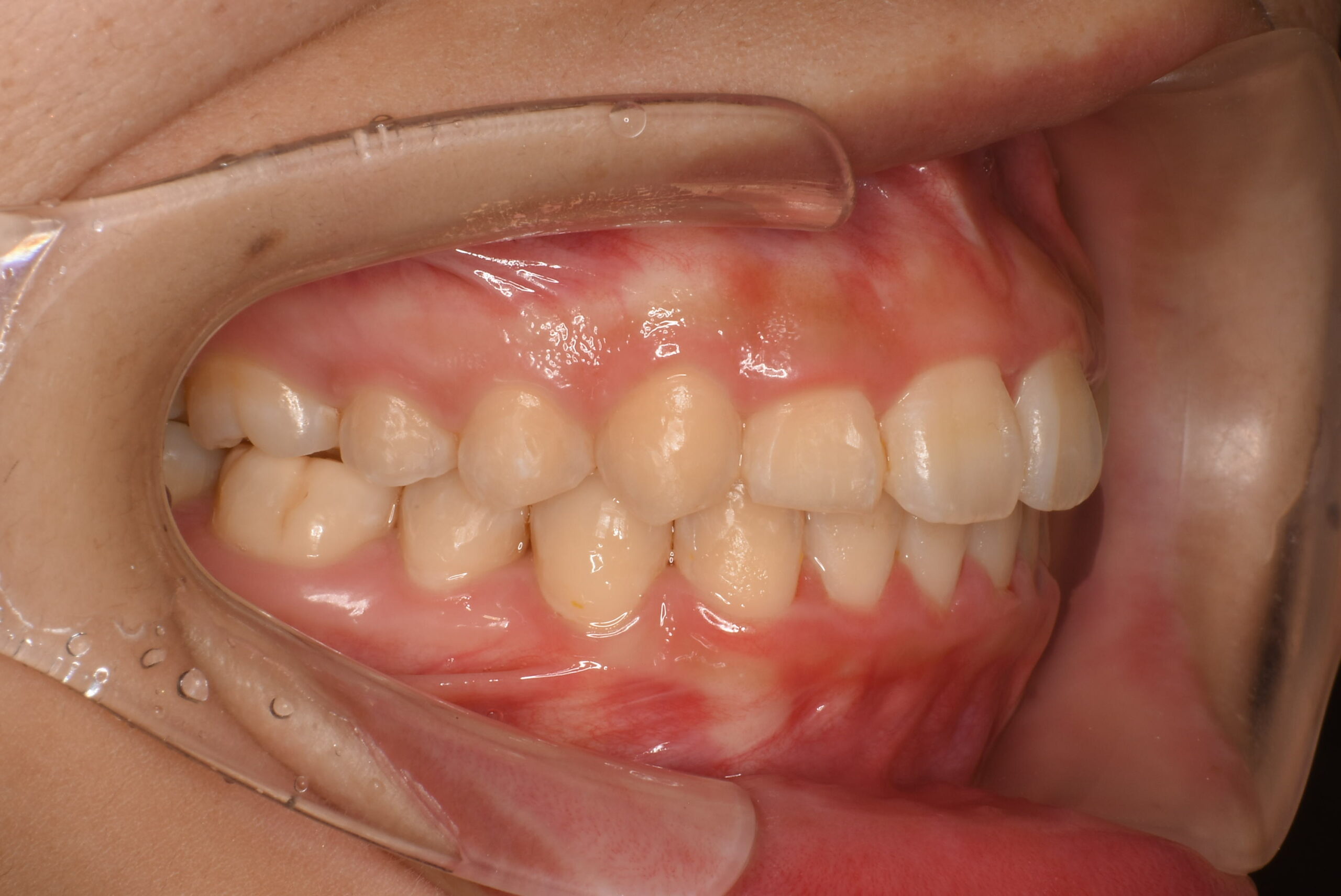
治療後_右側方
| 年齢 | 20代女性 |
|---|---|
| 治療内容 | 患者様は、上下前歯の叢生(歯のガタつき)やデコボコした不揃いな歯並びに加え、「歯が大きい」「食べ物が挟まりやすい」といった清掃性の低下を主訴に来院されました。また、開口時に顎の痛みがあり、顎関節の違和感も認められました。 非抜歯でのインビザライン治療を計画し、歯列の配列改善を目的に、 |
| 治療期間/通院回数 | 11ヶ月 |
| 費用 | 税抜698,000円 税込767,800円 別途検査料11,000円 再診料税込み5,500円×3=16,500円 税込み3,300円×2=3,300円
総額798,600円 |
- リスク・副作用
-
- ・矯正治療中はプラークコントロールが不良になりやすく、虫歯や歯肉炎(歯周病)のリスクが高まります。 ・アライナーの装着時間が不足すると、歯の移動精度や治療期間に影響が出る可能性があります。 ・IPR(歯間のわずかな削合)を行った部位では、一時的な知覚過敏を生じる場合があります。 ・顎関節に症状がある場合、治療途中に違和感や疼痛の増減が生じることがあります。

