-

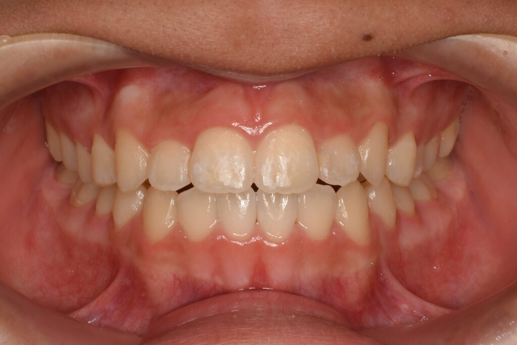
- BEFORE

- AFTER
-

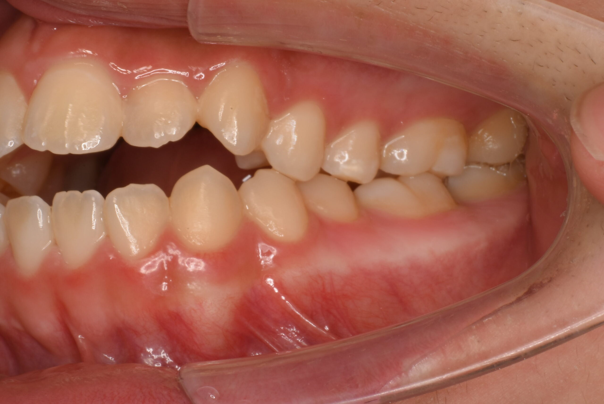
治療前_左側方
-

治療後_左側方
| 年齢 | 10代男性 |
|---|---|
| 治療内容 | 患者様は、前歯でうまく噛めない、上下の歯が十分に接触しないことを主訴に来院されました。診査の結果、オープンバイト(開咬)を認め、咀嚼機能への影響がみられました。 目立ちにくい装置での治療を希望されたため、マウスピース型矯正(インビザライン)による治療を選択しました。 成長期である10代であることを考慮し、前歯部の被蓋関係の改善と咬合の安定を重視した治療計画としました。 |
| 治療期間/通院回数 | 15ヶ月 |
| 費用 | 税抜698,000円 税込み767,800円 別途検査料11,000円 再診料税込み5,500円×10回=55,000円 3,300円×3回=9,900円
総額843,700円 |
- リスク・副作用
-
- 矯正治療中はプラークコントロールが不十分になると、虫歯や歯肉炎、歯周病のリスクが高まります。 成長期の治療では、顎の成長変化により咬合状態が変動する可能性があります。 オープンバイト症例では、治療後の後戻りリスクがあるため、保定管理が重要となります。 IPR処置部位では、一時的に知覚過敏を生じる場合があります。 アライナーの装着時間が不足した場合、咬合改善の精度や治療期間に影響が出る可能性があります。

