-

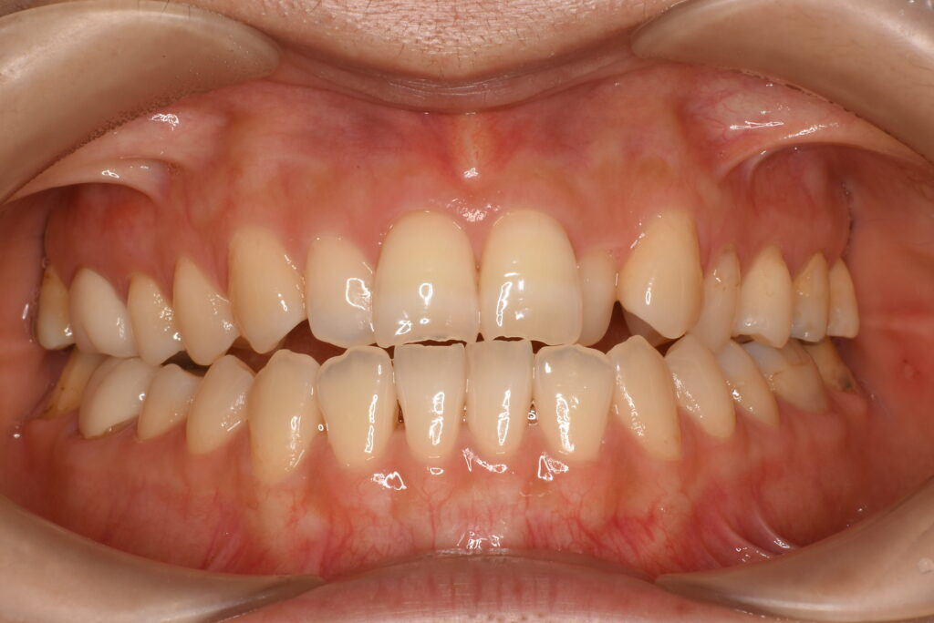
- BEFORE

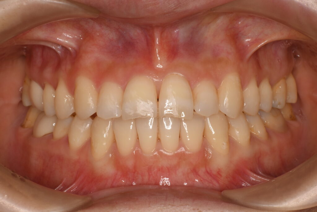
- AFTER
-

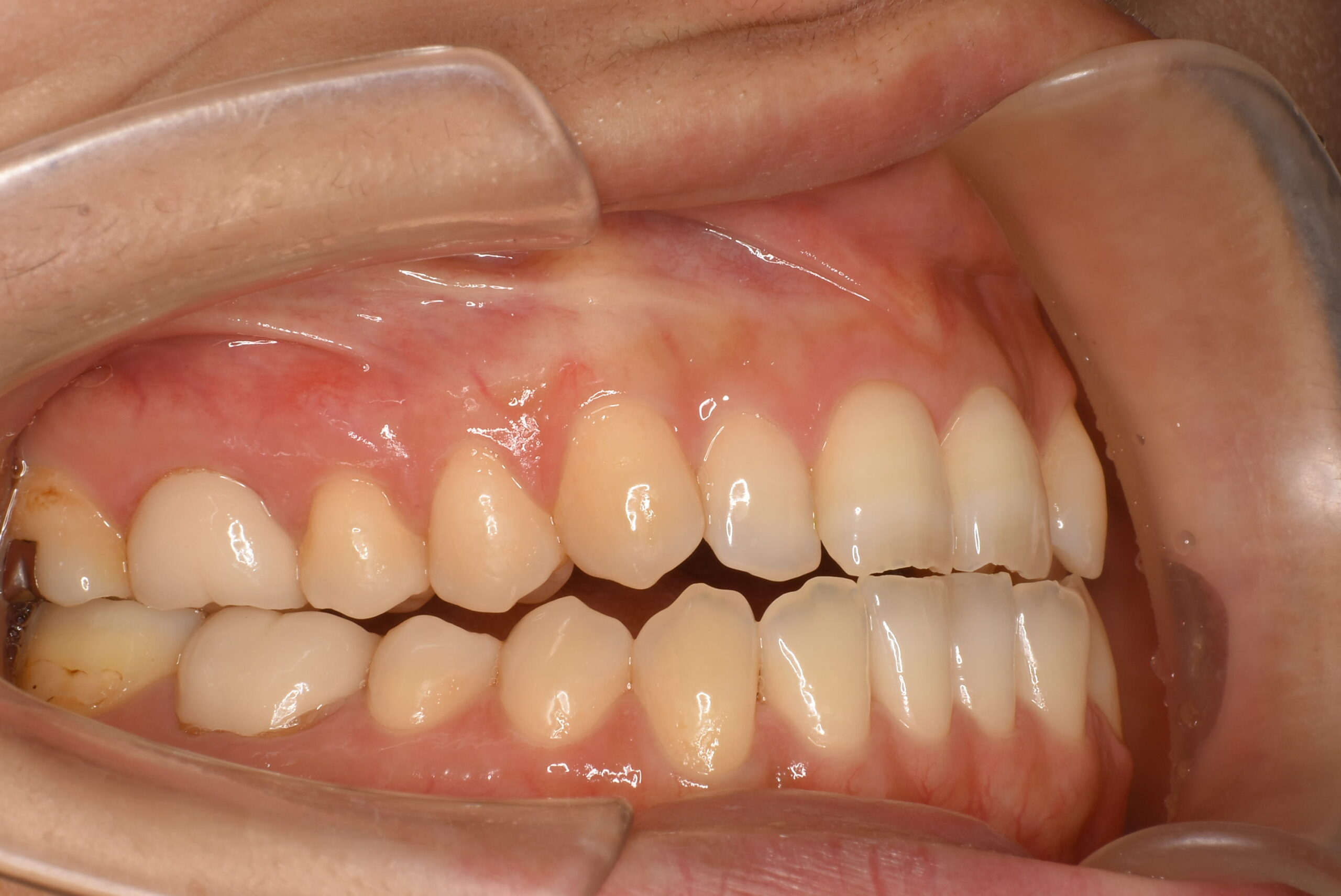
治療前_右側方
-

治療後_右側方
| 年齢 | 30代女性 |
|---|---|
| 治療内容 | 歯のガタガタやデコボコした不揃いな歯並び(叢生)に加え、下顎前歯が前に出て見える(切端咬合)ことを主訴に来院されました。 また、開口時に「カクッ」と音が鳴る、顎が痛むといった顎関節症状も認められたため、咬合状態には特に配慮が必要なケースでした。 目立ちにくい装置での治療をご希望されたため、マウスピース型矯正(インビザライン)を選択しました。 治療中は顎関節への負担にも配慮し、咬み合わせの変化を慎重に確認しながら、段階的に歯の移動を行いました。 |
| 治療期間/通院回数 | 17ヶ月 |
| 費用 | 税抜698,000円 税込み767,800円 別途検査料11,000円 再診料税込み5,500円×5回=27,500円 3,300円×4回=13,200円
総額819,500円 |
- リスク・副作用
-
- 矯正治療中はプラークコントロールが不良になりやすく、虫歯や歯肉炎、歯周病のリスクが高まります。 顎関節に症状がある場合、治療経過中に顎の違和感や疼痛、関節音が増減する可能性があります。 IPR(歯間削合)を行った部位では、一時的に知覚過敏を生じることがあります。 アライナーの装着時間が不足すると、歯の移動精度や治療期間に影響が出る可能性があります。 矯正治療後は、後戻りを防ぐための保定管理が重要となります。

