-

- BEFORE

- AFTER
-

治療前_右側方
-

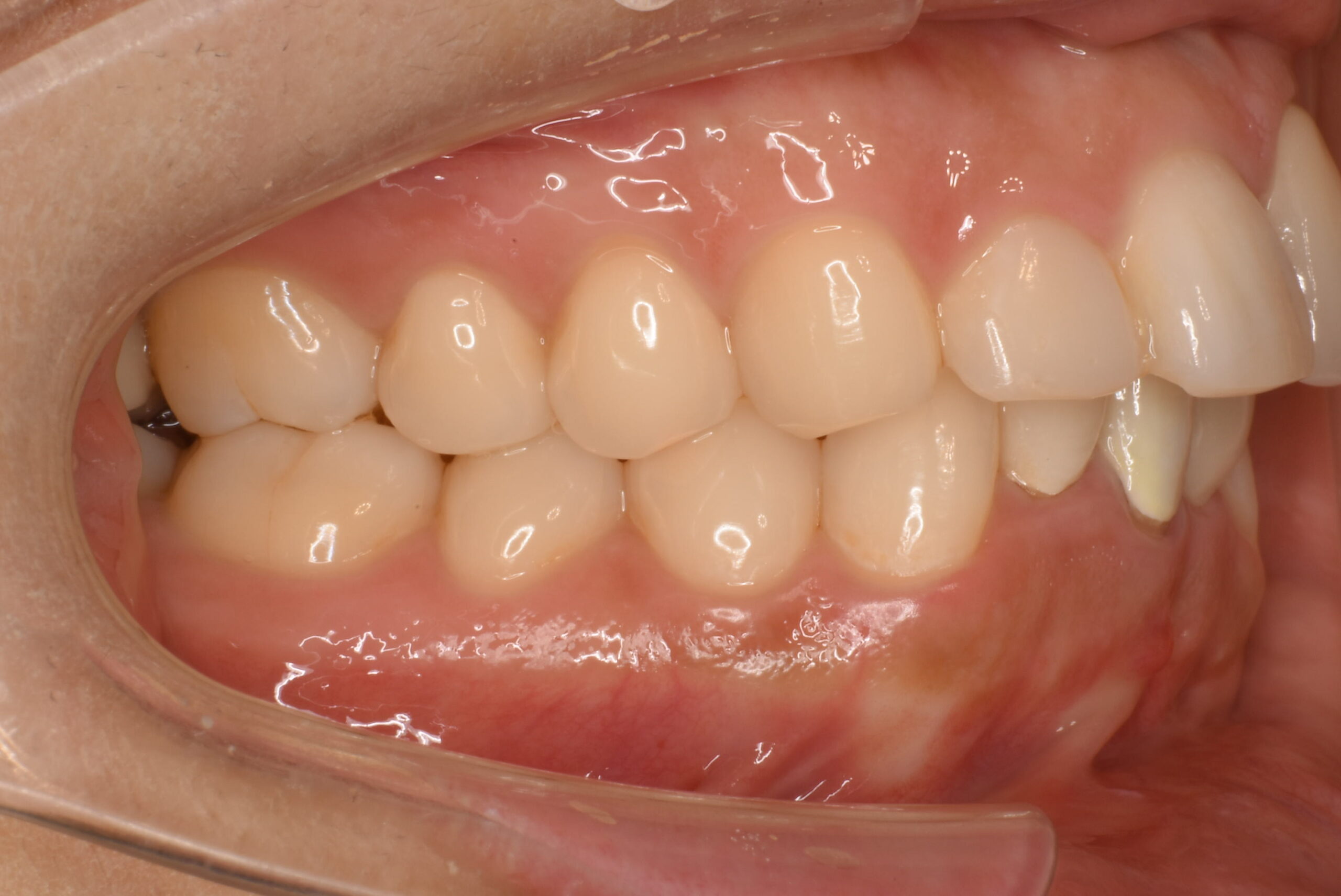
治療後_右側方
| 年齢 | 30代女性 |
|---|---|
| 治療内容 | 上の前歯が出ていることによる口元の突出感(いわゆる「バイマキ/口ゴボ」:上下の前歯が前方に出て、口元がもっこりと見える状態)を改善したい、横顔のE-ラインをきれいにしたいという審美的なお悩みを主訴に来院されました。 10年ほど前に矯正治療を検討されたものの、当時は補綴治療を選択され、前歯部を中心にオールセラミッククラウンによる補綴治療が行われていました。 診査の結果、目立ちにくい装置での治療を希望されたため、マウスピース型矯正(インビザライン)による治療を選択しました。 治療途中では「物が詰まりやすい」といった自覚症状がみられ、カリエス(虫歯)も認められたため、矯正治療と並行してCR修復(コンポジットレジンによる虫歯治療)を実施しました。 |
| 治療期間/通院回数 | 7ヶ月 |
| 費用 | 税抜698,000円 税込み767,800円 別途検査料11,000円 再診料税込み5,500円×3回=16,500円 3,300円×3回=9,900円
総額805,200円 |
- リスク・副作用
-
- 矯正治療中はプラークコントロールが不良になりやすく、虫歯・歯肉炎・歯周病のリスクが高まります。 補綴物(オールセラミッククラウン)やCR修復歯が多い場合、二次虫歯や補綴物周囲の清掃不良に注意が必要です。 唾液が粘稠な場合、プラークが停滞しやすく、虫歯リスクが高くなる傾向があります。 IPR(歯間削合)を行った部位では、一時的な知覚過敏を生じることがあります。 アライナーの装着時間が不足すると、歯の移動精度や治療期間、仕上がりに影響が出る可能性があります。 矯正治療後は、後戻り防止のための保定管理(リテーナーの使用)が重要です。

