-

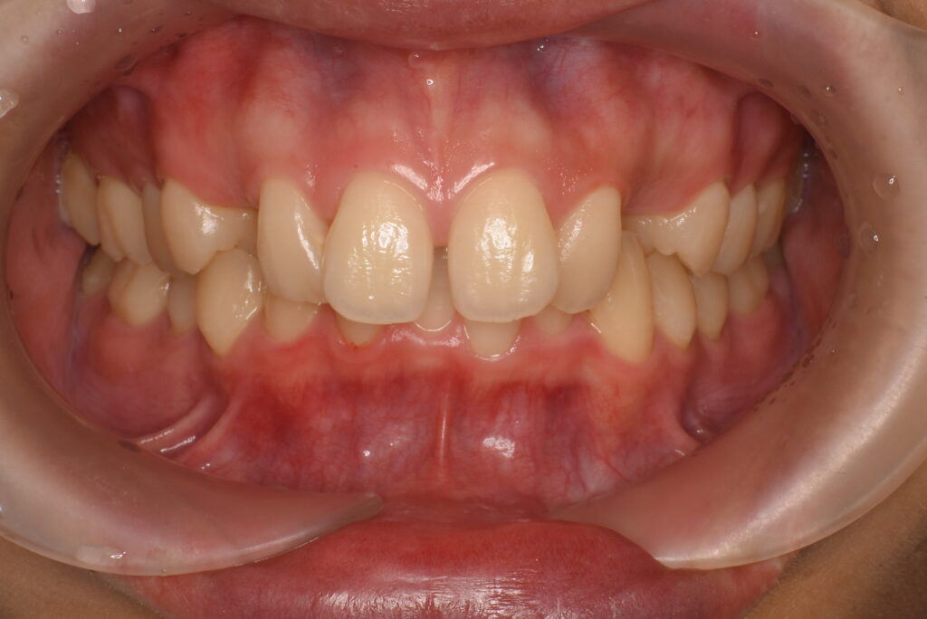
- BEFORE

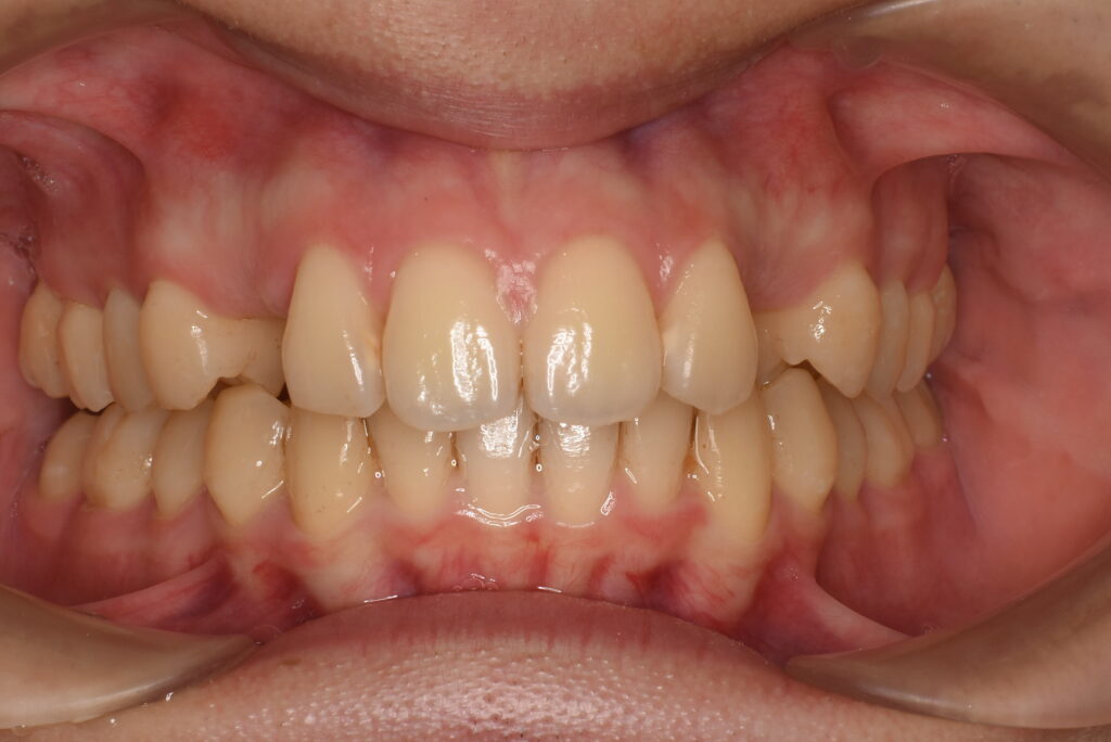
- AFTER
-

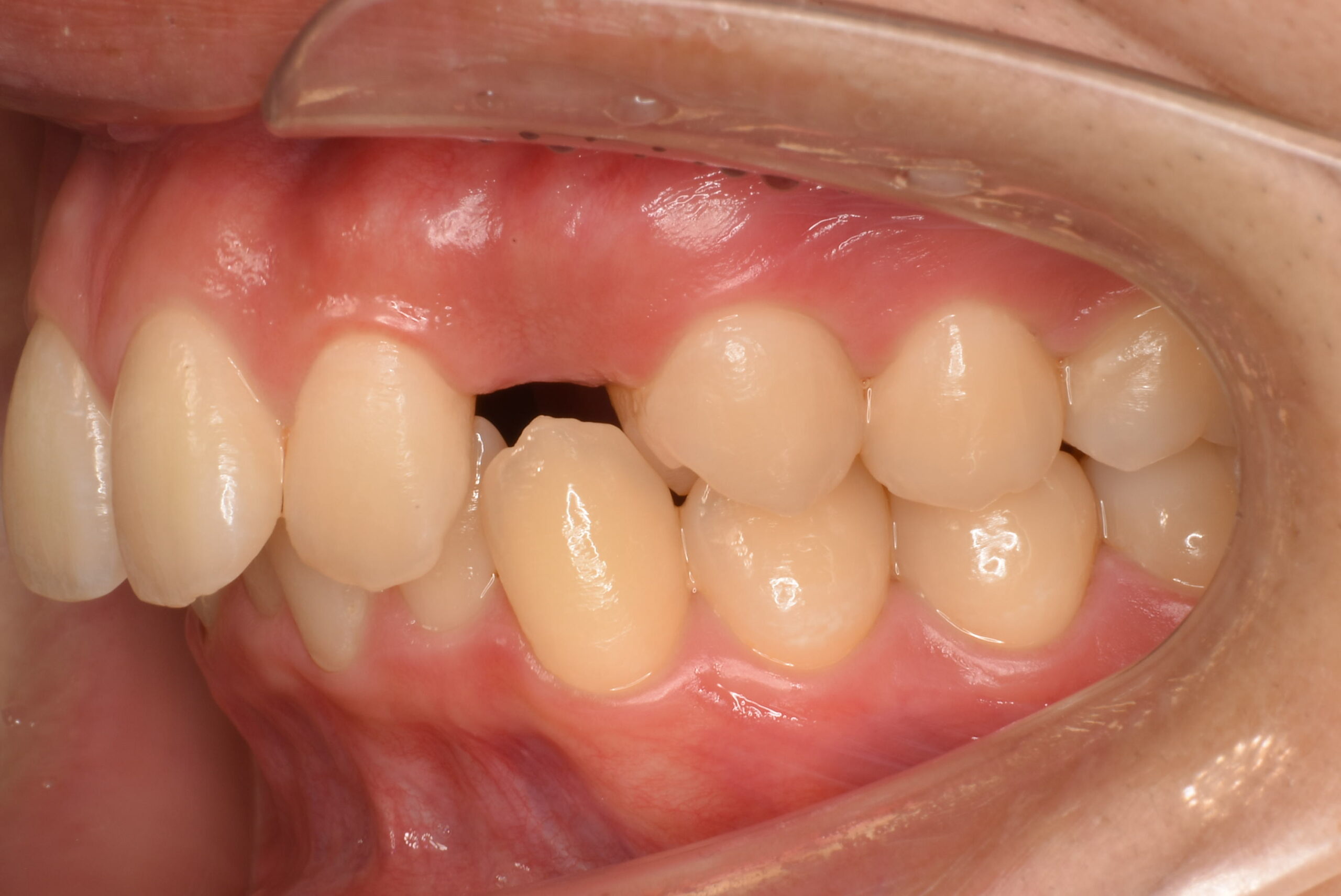
治療前_左側方
-

治療後_左側方
| 年齢 | 20代男性 |
|---|---|
| 治療内容 | 患者様は、歯のガタつきやすきっ歯、デコボコした不揃いな歯並び、そして歯と歯の間に隙間があることを主訴に来院されました。診査の結果、上の犬歯にあたる歯が左右とも先天的に欠損しており、その部分は部分入れ歯を使用しながら歯列を整えていく必要がありました。見た目を整えたいというご希望と、目立ちにくい装置で治療したいという理由から、マウスピース型矯正(インビザライン)を選択されました。 抜歯は行わず、非抜歯矯正で歯列を整える方針とし、歯の移動に必要なスペースを確保するために IPR(歯と歯の間をわずかに削ってスペースを作る処置)を行いながら治療を進めました。治療の途中では奥歯に虫歯が見つかり、矯正治療と並行して虫歯治療も行いました。リテーナーセット後にも別の部位の虫歯治療を行い、口腔内の健康維持に努めています。 |
| 治療期間/通院回数 | 19ヶ月 |
| 費用 | インビザライン:716,000円(税抜)/787,600円(税込) 検査料:11,000円(税込) 再診料:5,500円 × 5回 = 27,500円 再診料:3,300円 × 6回 = 19,800円 総額:845,900円(税込) |
- リスク・副作用
-
- アライナー装着によりプラークが停滞しやすく、虫歯や歯肉炎のリスクが高まることがあります。 今回は治療途中で虫歯が見つかっているため、口腔衛生管理が特に重要な症例でした。 先天性欠損がある場合はスペースの管理が難しく、歯の移動計画に影響が出ることがあります。 IPRを行った部位では一時的に知覚過敏が生じることがあります。 アライナー装着初期には圧迫感や軽度の痛みを感じることがありますが、多くは数日で軽減します。

