-

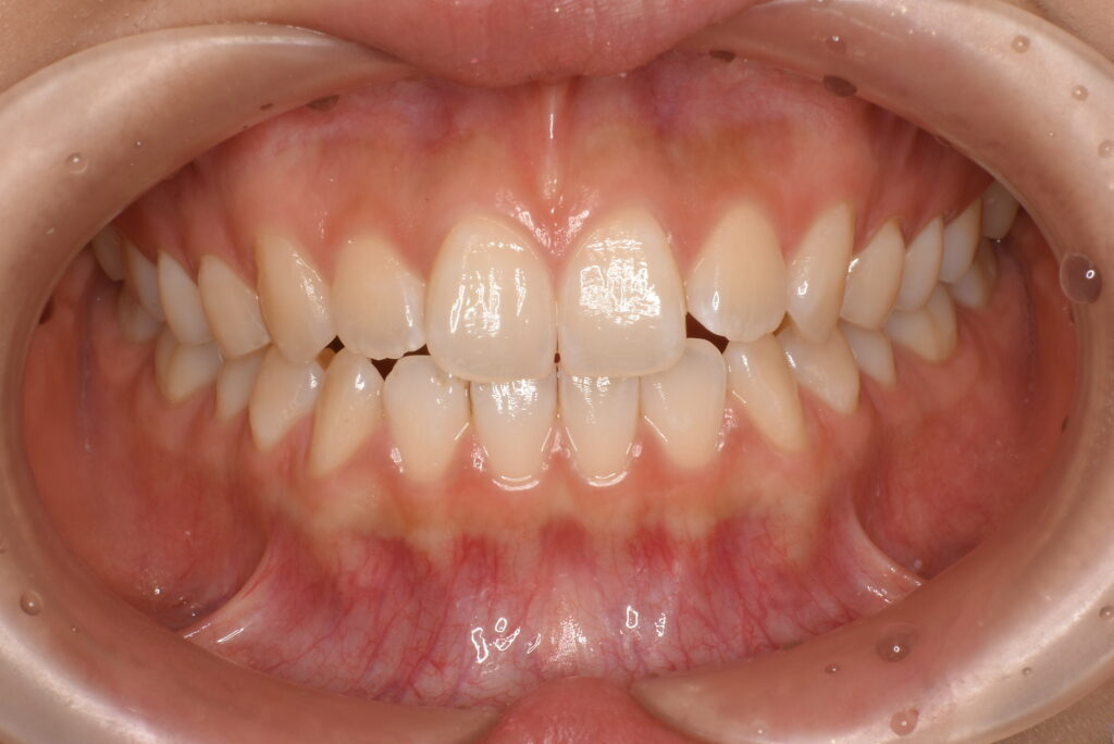
- BEFORE

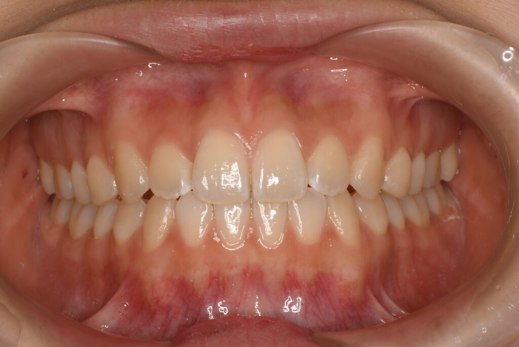
- AFTER
-

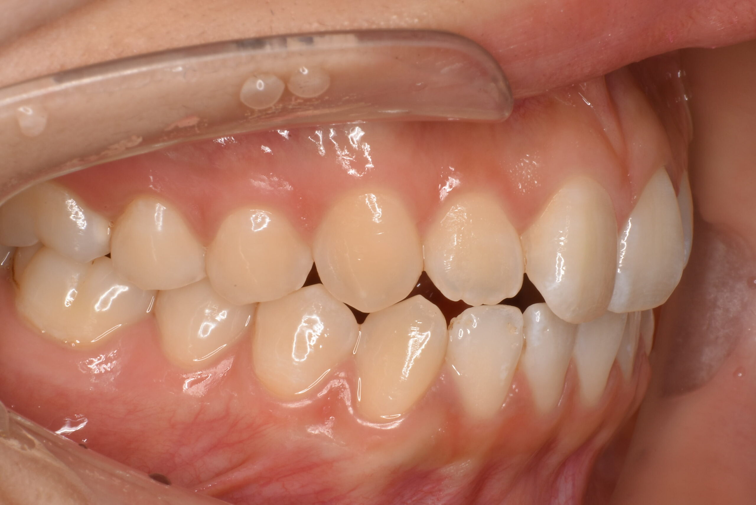
治療前_右側方
-

治療後_右側方
| 年齢 | 20代女性 |
|---|---|
| 治療内容 | 患者様は、歯のガタつきや歯に汚れがつきやすいこと、顎のずれやお顔のゆがみ、歯と歯の間に隙間があること、そして食べ物が詰まりやすいことを主訴に来院されました。見た目と機能の両方に悩みがあり、目立ちにくい装置で治療したいというご希望から、マウスピース型矯正(インビザライン)を選択されました。 治療開始前に、歯列の安定を考慮して右上の親知らずを抜歯し、その後インビザライン治療をスタートしました。抜歯はそれ以外行わず、非抜歯矯正で歯列を整える方針とし、歯の移動に必要なスペースを確保するために IPR(歯と歯の間をわずかに削ってスペースを作る処置)を行いながら治療を進めました。アライナー交換を段階的に行い、叢生の改善と隙間の閉鎖を図りました。 |
| 治療期間/通院回数 | 12ヶ月 |
| 費用 | インビザライン:716,000円(税抜)/787,600円(税込) 検査料:11,000円(税込) 再診料:5,500円 × 7回 = 38,500円 再診料:3,300円 × 1回 = 3,300円 総額:839,400円(税込) |
- リスク・副作用
-
- アライナー装着によりプラークが停滞しやすく、虫歯や歯肉炎のリスクが高まることがあります。 IPRを行った部位では一時的に知覚過敏が生じることがあります。 顎のずれや噛み合わせの変化がある場合、治療中に一時的な違和感が出ることがあります。 アライナー装着初期には圧迫感や軽度の痛みを感じることがありますが、多くは数日で軽減します。 装着時間が不足すると歯の移動が計画通りに進まず、治療期間が延びる可能性があります。

