-

- BEFORE

- AFTER
-

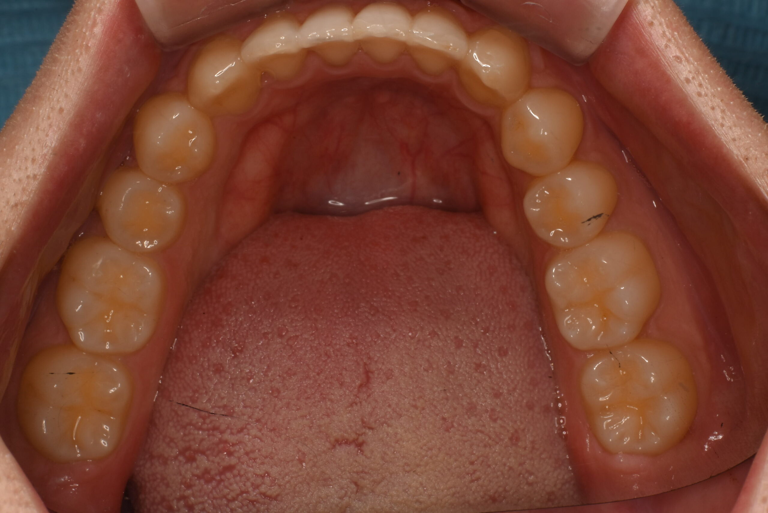
治療前_下顎咬合面
-

治療後_下顎咬合面
| 年齢 | 20代男性 |
|---|---|
| 治療内容 | 患者様は、歯並びのガタつき(叢生)と、以前に顎関節症の治療経験があり、開口時に顎が「カクッ」と鳴る違和感を訴えて来院された。見た目の改善を希望され、目立ちにくいマウスピース型矯正装置による治療を希望された。 診査の結果、不揃いな歯列を認め、顎関節症の症状は安定していることを確認。インビザラインを用いて治療を開始し、必要最小限の歯間をわずかに削る処置を併用しながら歯列を整えた。 治療は40枚のアライナー終了後、患者様よりさらなる仕上がりを希望されたため、追加のアライナーを作成し治療を継続。結果として、患者様の希望通りの歯並びを獲得した。 |
| 治療期間/通院回数 | 39ヶ月 |
| 費用 | 税抜698,000円 税込767,800円 別途検査料11,000円 再診料税込み5,500円×9=49,500円 税込み3,300円×4=13,200円
総額841,500円 |
- リスク・副作用
-
- 矯正装置の装着時間を守らないと治療効果が得られにくく、治療期間が延長する可能性がある。 歯間削合(IPR)後は虫歯や知覚過敏のリスクが増加する可能性があり、丁寧なセルフケアが必要。 顎関節症の既往があるため、治療中に顎関節に負担がかかることがあるため経過観察が重要。 口腔衛生管理不足により虫歯や歯周炎リスクが高まるため、定期的なチェックと指導が必要。

