-

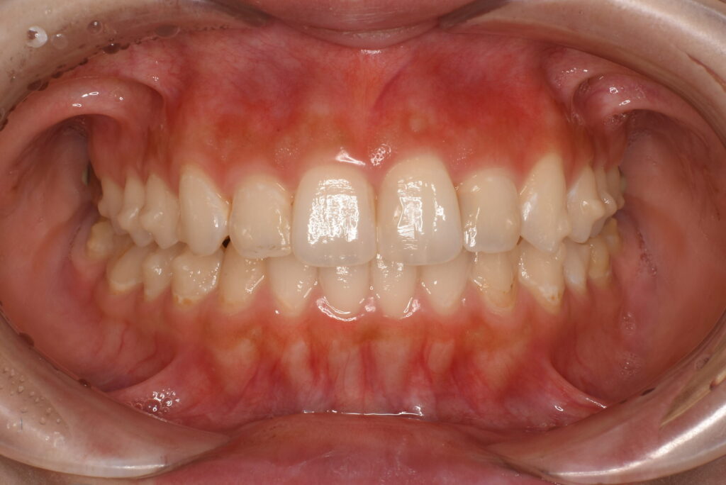
- BEFORE

- AFTER
-

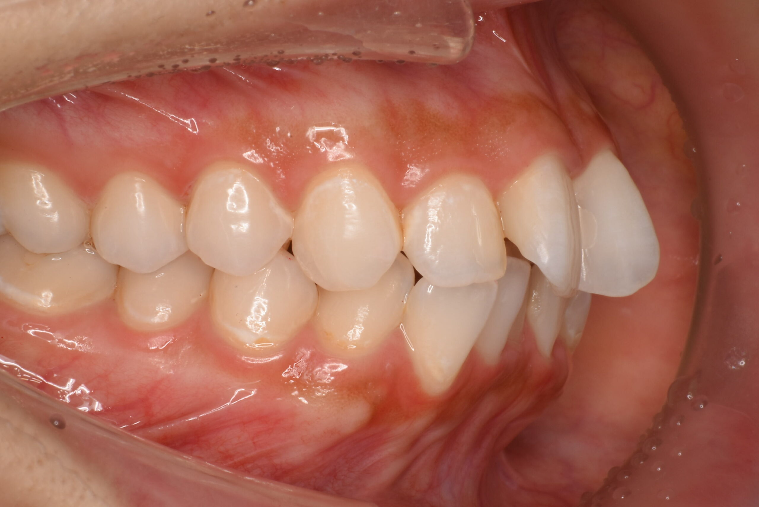
治療前_右側方
-

治療後_右側方
| 年齢 | 20代女性 |
|---|---|
| 治療内容 | 患者様は、上の前歯の突出(上顎前突)と不揃いな歯並び(叢生)を気にされて来院されました。 また、歯に汚れがつきやすいこと、開口時に顎関節がカクっとなる症状、肩こりの辛さ、顎や顔のゆがみについても不安を抱えていらっしゃいました。診査の結果、**マウスピース型矯正装置「インビザライン」**による治療を計画しました。 インビザライン矯正後、左上2番と1番の間にわずかな段差(STEP)が残ったため、上顎のみ部分的にブラケット矯正を併用しました。 |
| 治療期間/通院回数 | 約53か月 |
| 費用 | 税抜698,000円税込み767,800円 検査料11,000円 再診料税込み5,500円×26=143,000円 3,300円×6=19,800円 リテーナー代税込み22,000円
総額963,600円 |
- リスク・副作用
-
- 顎関節障の症状(カクッという音や違和感)が矯正中に一時的に変化する可能性があります。 歯列の移動に伴い、一時的に歯の揺れや知覚過敏が出ることがあります。 インビザラインやブラケット矯正中に、詰め物(CR)が外れることがあるため、必要に応じて再接着が必要です。 マウスピースやブラケットの装着時間が不足すると、治療計画通りに進まず治療期間が延長する可能性があります。 清掃不良による虫歯や歯肉炎のリスクがあるため、日常のブラッシングや定期的なチェックが重要です。

