-

- BEFORE

- AFTER
-

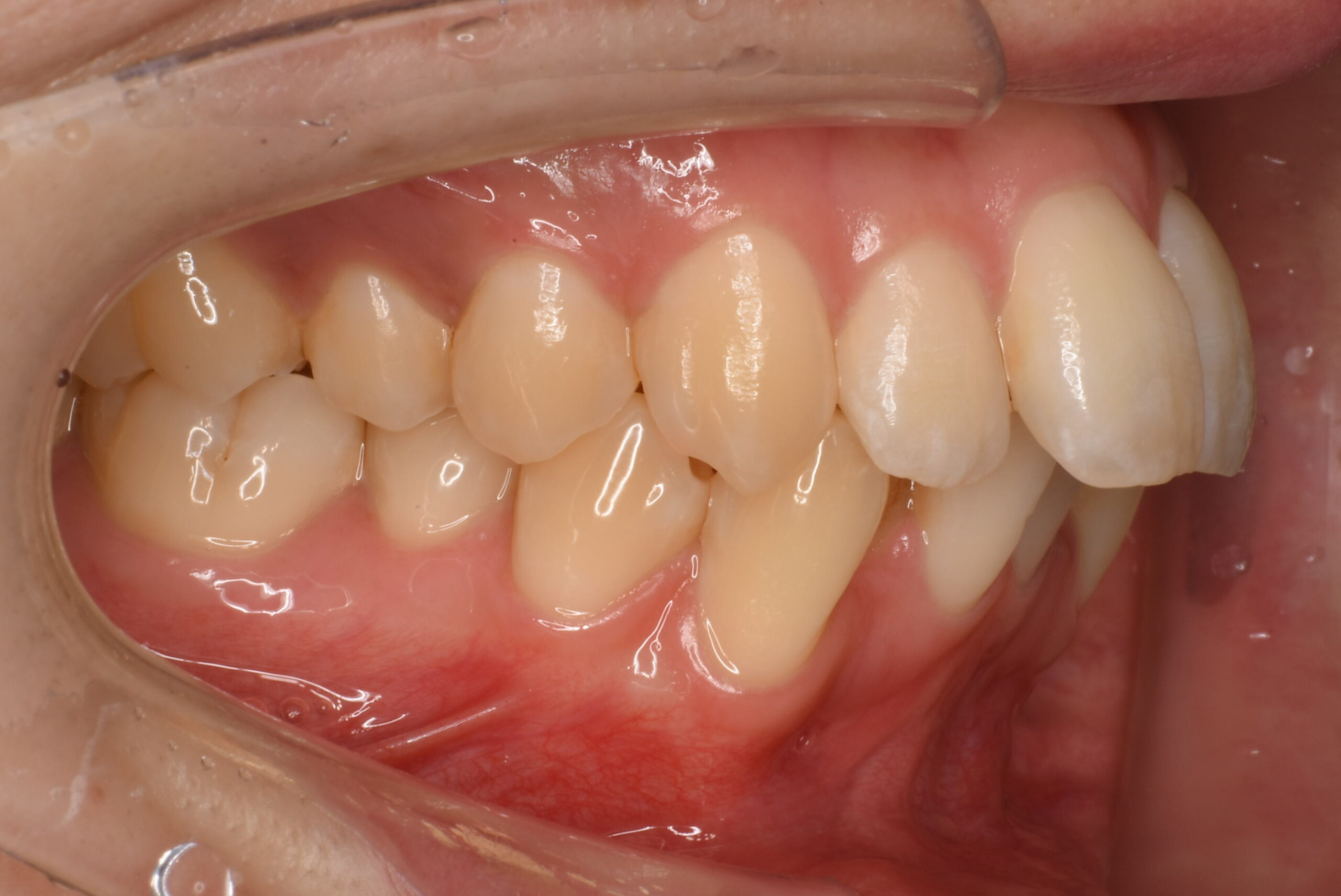
治療前_右側方
-

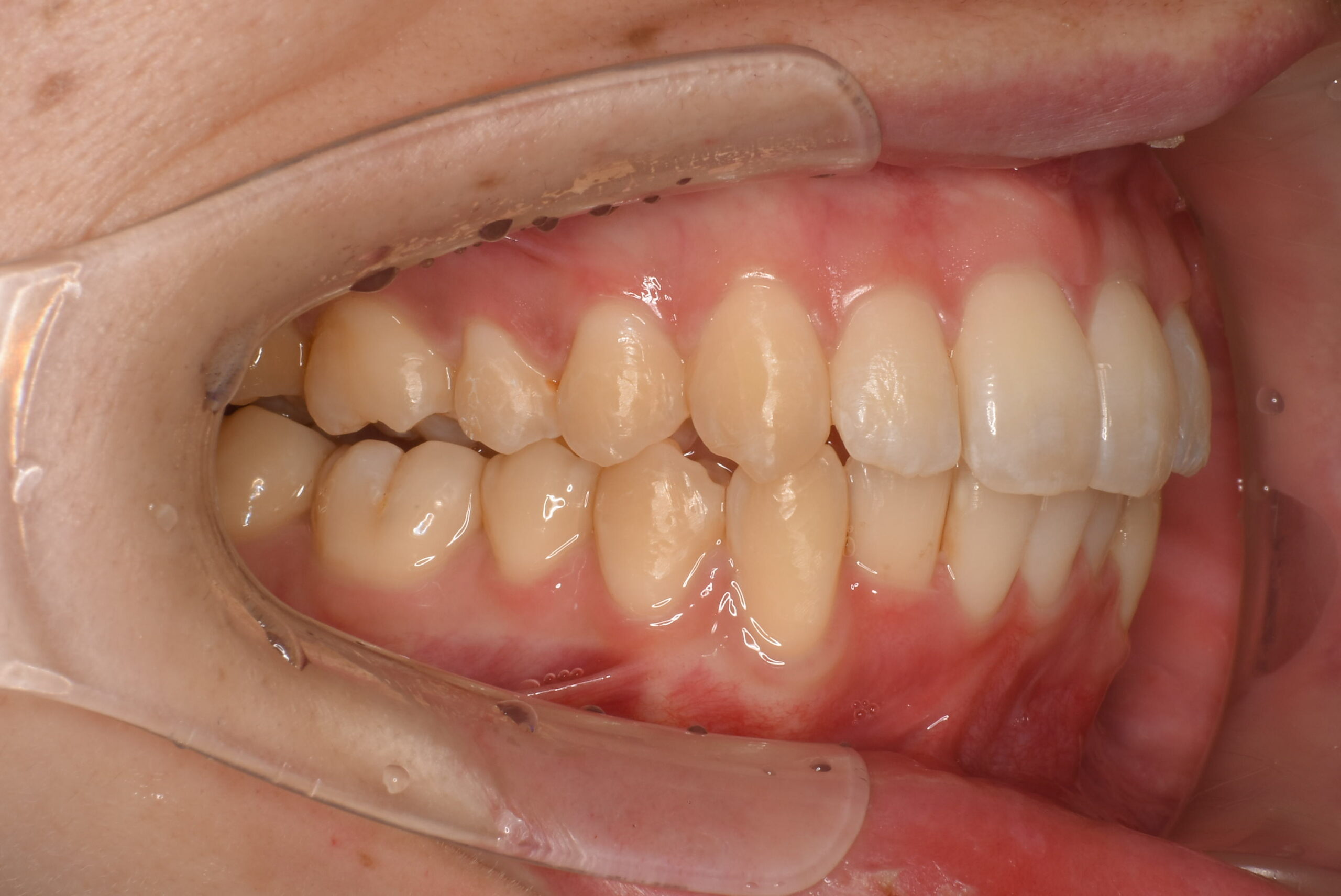
治療後_右側方
| 年齢 | 20代女性 |
|---|---|
| 治療内容 | 患者様は、上下前歯の叢生(歯のガタつき)やデコボコの不揃いな歯並びに加え、「食べ物が詰まりやすい」「下の前歯が磨きにくい」といった清掃性の低下を主訴に来院されました。また、開口時に「カクッ」と音がする顎関節の違和感も認められました。 初診時にはカリエス(虫歯)が複数認められ、プラークコントロール(PC)も不良であったため、矯正治療に入る前に TBI(ブラッシング指導) を実施し、必要な虫歯治療も並行して行いました。 その後、非抜歯でのインビザライン治療を計画し、歯列の配列改善を目的に、必要に応じて |
| 治療期間/通院回数 | 8ヶ月 |
| 費用 | 税抜698,000円 税込767,800円 別途検査料11,000円 再診料税込み5,500円×4=22,000円 税込み3,300円×1=3,300円
総額804,100円 |
- リスク・副作用
-
- ・矯正治療中はプラークコントロールが不良になりやすく、虫歯や歯肉炎(歯周病)のリスクが高まります。 ・アライナーの装着時間が不足すると、歯の移動精度や治療期間に影響が出る可能性があります。 ・IPR(歯と歯の間をわずかに削る処置)の部位では、一時的に知覚過敏を生じる場合があります。 ・顎関節に症状がある場合、治療経過中に違和感が増減することがあります。

