インビザライン_10代女性
Warning: foreach() argument must be of type array|object, false given in /home/dentalweb/takenoko-shika.com/public_html/case/wp-content/themes/takenoko_temp/single-case.php on line 135
-

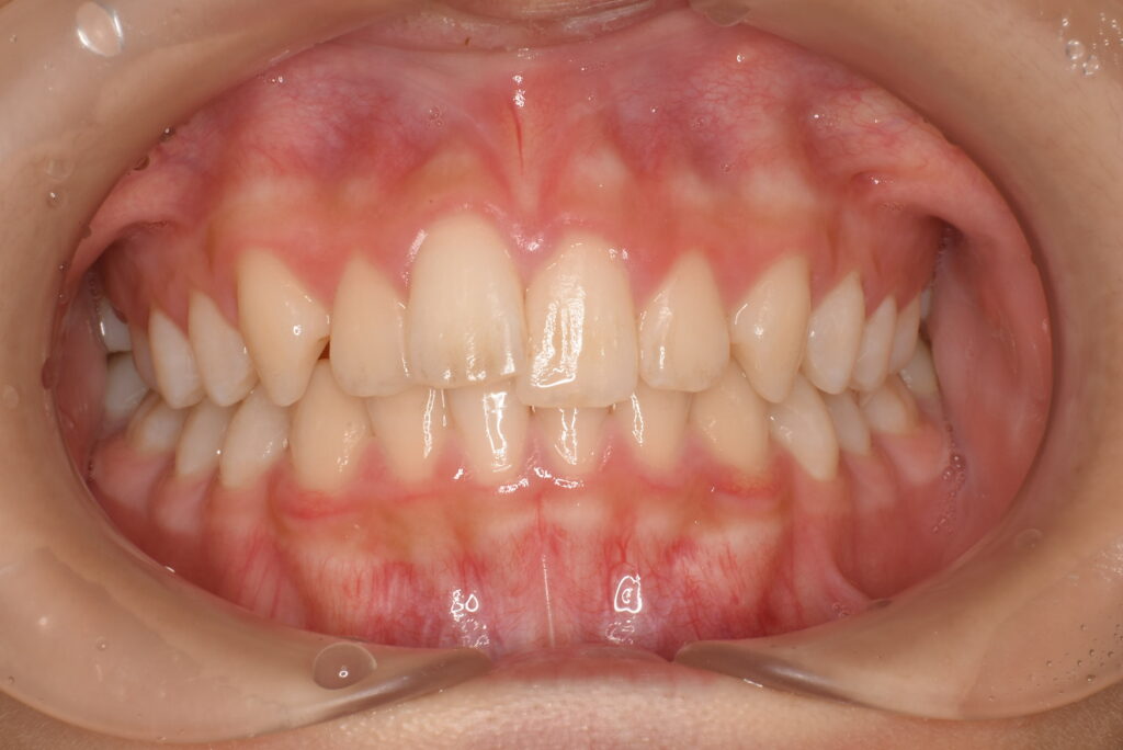
- BEFORE

- AFTER
-

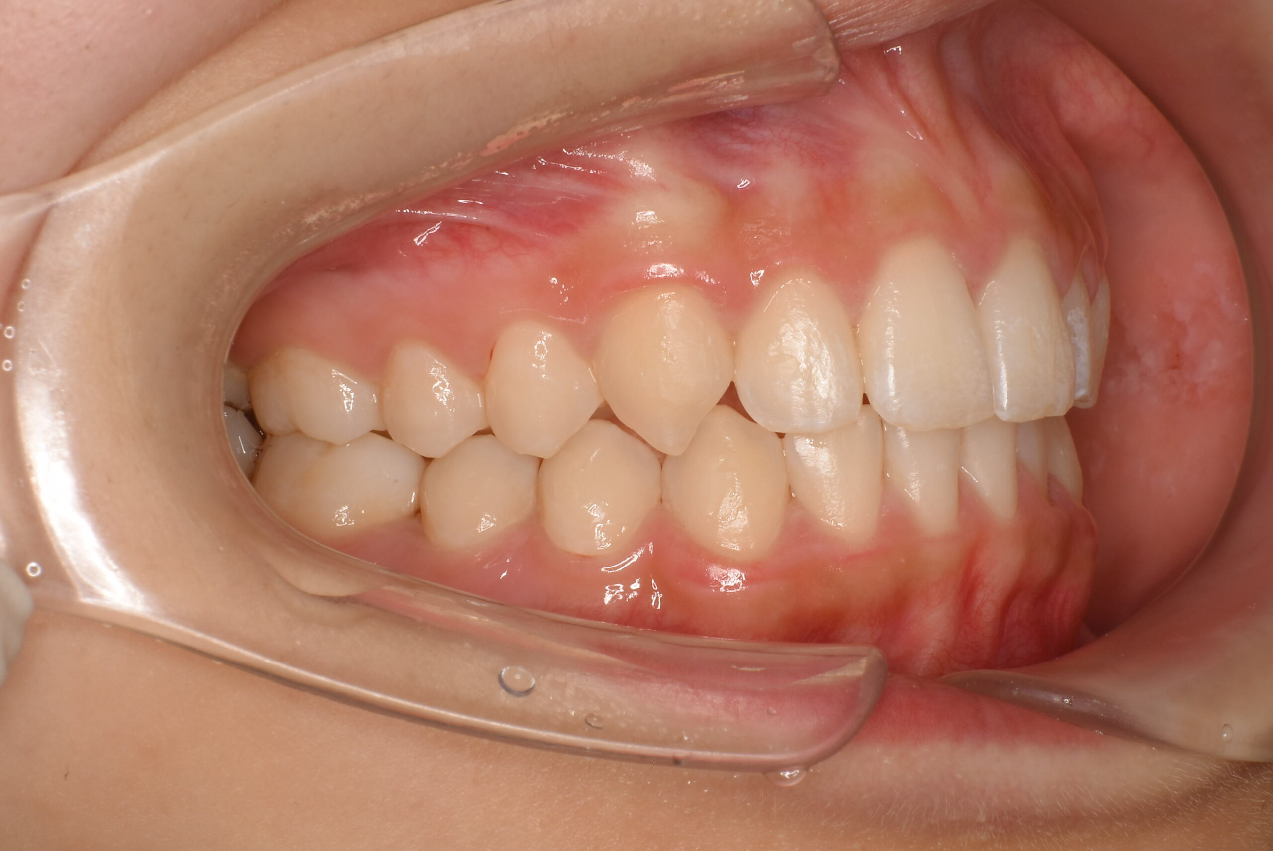
治療前_右側方
-

治療後_右側方
| 年齢 | 10代女性 |
|---|---|
| 治療内容 | 歯のガタガタやデコボコした不揃いな歯並び(叢生)、上の前歯1本が前方に出ていること、歯が大きく感じることを主訴に来院されました。 目立ちにくい装置での治療をご希望されたため、マウスピース型矯正(インビザライン)による矯正治療を行いました。 非抜歯での矯正治療を計画し、歯列の配列改善および前歯の突出感の改善を目的に、IPR(歯と歯の間をわずかに削りスペースを確保する処置)を併用しながら治療を進めました。 治療経過は良好で、歯並びの改善を本人および保護者の方と確認したうえでリテーナーを作製し、保定へ移行しました。 |
| 治療期間/通院回数 | 7ヶ月 |
| 費用 | マウスピース型矯正(インビザライン):767,800円(税込) 検査料:11,000円(税込) 再診料:5,500円(税込)×2回=11,000円 再診料(軽度処置):3,300円(税込)×3回=9,900円
総額:799,700円(税込) |
- リスク・副作用
-
- 矯正治療中はプラークコントロールが不十分になると、カリエス(虫歯)や歯肉炎、歯周病のリスクが高まります。 IPR処置部位では一時的に知覚過敏が生じることがあります。 歯の移動に伴い、違和感や軽度の痛み、頭痛の増減を感じる場合があります。 成長期では顎顔面の成長変化により、咬合状態が変化する可能性があります。 矯正治療後は後戻り防止のための保定(リテーナー使用)が重要です

